幼年型特发性关节炎(Jurenile Idiopathic Arthritis,JIA)是小儿常见的风湿病之一。。以全身表现及反复发作的关节炎症为特征。,2001 年国际风湿病学联盟儿科常委专家组,将16 岁以下儿童不明原因的关节肿胀,持续6 周以上统一命名为J IA。从而取代了原有的美国和我国应用的幼年类风湿关节炎以及欧州应用的幼年慢性关节炎等繁多的命名 。
【分类】
(1) 全身型 又称Still’s病。以全身急性起病为特征,全身症状为主,且全身症状常先于关节表现出现。主要表现为发热、血象增高,肝、脾、淋巴结肿大,浆膜炎(胸膜炎、腹膜炎、心包炎)心脏炎及关节炎。
(2) 多关节型 以多关节起病,涉及5个或更多关节,没有明显的关节外症状,受累关节可随病程逐渐增加,多为对称性,手、足小关节突出,肠累及颞颌关节。
(3) 少关节型 受累关节小于等于4个,以大关节为主,很少有全身症状。最常见为膝关节受累,其次为踝、手、肘等关节。
【影像表现】
(1) X表现
早期表现为关节周围软组织肿胀或积液,骨质疏松及骨膜反应。病变最初发生在一个关节而后发展至多个关节。关节周围骨质疏松的严重程度远超过实际的废用情况,这种不成比例
骨质疏松严重程度,一般都认为是由于局部强烈的充血和邻近髓腔内的结缔组织局部生长过度所造成的。充血还可使骨骺或小骨的原发骨化中心加速生长,骨骺过早出现和骨骺线早期愈合,从而导致骨骼生长紊乱,生长加速可出现骨骺及骨端肥大,其对应的骨干侧相对变细,骨骺早闭可使管状骨长度变小。骨膜反应以掌骨和跖骨处多见,实为风湿性骨膜炎的结果。(图2-1~3)
晚期,当增生的滑膜波及关节软骨并形成血管翳,软骨可被吸收,软骨下骨被侵蚀、破坏,随之关节狭窄、关节强直、畸形或半脱位,亦可形成骨质增生硬化(图2-4~9)。同时,骨骺也可因为骨质疏松及关节挛缩使骨骺变扁,持重面畸形等骨骺压缩骨折表现,如发生在股骨头其表现类似于股骨头缺血坏死,也的确可能是由于使用激素治疗后所致的骨缺血坏死,需注意鉴别。(图2-10)
图2-1幼年型特发性关节炎(早期)
左踝关节诸骨质疏松,踝关节前后关节囊肿胀(白箭)
但无明显的关节软骨消失或软骨下骨质破坏表现

图2-2幼年型特发性关节炎
第三掌指关节周围肿胀,关节间隙狭窄
邻近骺线早闭,掌骨见骨膜反应
图2-3双手幼年型特发性关节炎
双手诸掌指及指间关节骨质疏松
左手腕骨及掌骨骨质疏松

图2-4幼年特发性关节炎活动期
4岁,双手多个指间关节周围软组织肿胀
关节间隙模糊、变窄,右腕骨化中心提
前出现及桡骨过长(骨生长加速所致)

图2-5幼年型特发特发性关节炎
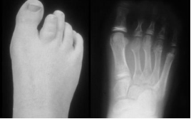
10岁,右足第二趾骨及跖骨较短,提示发育迟缓,是骨骼生长紊乱的表现

图2-6幼年型特发性关节炎
8岁,左手第三掌骨远端骨骺破坏,相应掌指关节发育迟缓,右腕骨骨质疏松

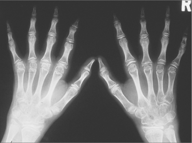
图2-7幼年型特发性关节炎(晚期)
11岁,双手数个掌指关节骨质侵蚀破坏,关节间隙狭窄,部分指间关节亦明显狭窄,右手第二指远侧指间关节半脱位(形成偏移畸形),腕骨融合

图2-8幼年型特发型关节炎(晚期)
12岁,双多个关节间隙狭窄,融合,其中多个关节偏移畸形。右腕骨明显骨质疏松,多个腕掌关节融合。右尺骨远端畸形,桡骨远端亦发育不好,系骨骺早闭所致
多关节型:病变多发生在手、腕、膝、踝、足等部位,常对称性受累。颈椎可作为脊柱唯
一受累的部位,特别是女孩好发于颈部,主要集中在上颈段,可见颈椎椎体骨质侵蚀,晚期可形成椎体和椎小关节骨性强直,颈椎骨突关节融合是本病的特征性改变,其X线表现象先天性脊柱分节不全,融合部位的椎体常不能正常发育,较邻近椎体小,受累处椎间隙变窄,亦可引起寰枢椎脱位。病变累及颞颌关节时,往往导致下颌骨严重发育不全和萎缩,使患儿下颌面部较小(图2-11~12)。
全身型:发病部位与多关节型相似,以四肢大关节受累较多部分患儿可在发病后数周、数月或数年后才出现关节炎,所以临床易误诊为败血症、恶性肿瘤等。
少关节型:病变可为单关节受累,但主要限于大关节,如膝、躁、肘和腕等关节,其 X线所见与多关节受累的表现相同。
各种类型的JIA关节炎虽然可有各自的影像学表现,但总的来说特异性不强。其基本征象有骨质疏松、骨骼生长紊乱、骨膜反应及骨骺压缩骨折等。