下颌骨四个埋伏多生牙的拔除及相关问题解答
深圳市儿童医院口腔科 彭兆伟 主任医师
一.下颌骨埋伏多生牙常见吗?
多生牙可以发生在牙弓的任何部位,其中上颌中切牙区是多生牙最好发的区域,大约占多生牙总数的90%~98%。发生于下颌骨的埋伏多生牙相对少见一些,但临床偶尔也可遇到,笔者本人从医三十年以来已经处理过下颌骨埋伏多生牙50例左右。大多数下颌埋伏多生牙是因患者矫正牙齿在正畸医生处拍片发现的,为了矫正牙齿一般正畸医生会要求先行拔除下颌埋伏多生牙。
二.下颌埋伏多生牙的位置以及数目
下颌骨埋伏多生牙多发生于下颌尖牙至第一磨牙区域的舌侧,数目多为一个或两个,也偶见三个或四个的病例,多于左右下颌骨的对称位置出现;下颌骨多生牙数目多于四个以上的病例较为罕见。
三.下颌骨埋伏多生牙拔除的难度如何?
下颌骨埋伏多生牙因为埋伏位置比较深,手术暴露较为困难,而且手术涉及的口底区域容易因出血而导致口底肿胀影响呼吸进而导致窒息,因此下颌骨埋伏多生牙的拔除难度较大,手术风险较高,需要有经验的口腔颌面外科医生来操作。
四.下颌骨埋伏多生牙的术前准备
充足的照明,良好的吸引,合适的微创手术器械是必要的。下颌骨埋伏多生牙拔除前需要拍摄口腔科专用的CT(CBCT),良好的影像资料可以精确定位多生牙的位置,并可避免术中损伤正常恒牙的牙根,仅凭普通的二维的X线片(如牙片,曲面断层片)来定位下颌骨埋伏多生牙是不够的。
五.手术示例
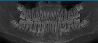
接下来以图片形式展示一例笔者最近处理的下颌骨埋伏多生牙病例,该患者下颌骨有四个埋伏多生牙,左右侧各有两个,因矫正牙齿需要要求拔除。

图1 全景片发现下颌骨有四个埋伏多生牙,左右各有两个

图2 CBCT可清晰显示左侧下颌骨的两个埋伏多生牙

图3 CBCT可清晰显示右侧下颌骨的两个埋伏多生牙

图4 三维断层截图,标线交叉处为左侧下颌骨埋伏多生牙1

图5 三维断层截图,标线交叉处为左侧下颌骨埋伏多生牙2

图6 三维断层截图,标线交叉处为右侧下颌骨埋伏多生牙1

图7 三维断层截图,标线交叉处为右侧下颌骨埋伏多生牙2

图8 左侧下颌埋伏多生牙手术切口及拔除后骨腔

图9 拔除的左下颌埋伏多生牙2个,其中1个为分块取出

图10 左下颌埋伏多生牙术后缝合情况,伤口置橡皮引流条

图11 右侧下颌埋伏多生牙手术切口及拔除后的骨腔

图12 拔除的右下颌埋伏多生牙2个

图13 右下颌埋伏多生牙术后缝合情况,伤口置橡皮引流条

图14 全景片显示四个多生牙拔除术后下颌骨的情况
六.下颌多生牙拔除术后有什么特殊注意事项?
下颌骨多生牙因其多埋伏于下颌骨舌侧,手术多为下颌舌侧入路,术后出血不易自然引流,因此为了术后积血引流并防止出现术后口底肿胀以及窒息,医生会在伤口处置一橡皮引流条,此橡皮引流条可于24小时后去除。依笔者自己的经验,一般术后反应比较轻微,对进食以及说话基本没有影响,术后恢复很快。术中缝线一周后拆除就可以了。