大年初三(2020-01-27)上午深圳市第二人民医院神经外科收治一个小患者,他刚从东北来深圳,一下飞机,就出现反复恶心呕吐得现象。来到医院,医生详细询问后得知,患者小辰辰今年才7岁,大约半年前出现反复恶心呕吐,家里人一直以为是胃肠功能不好,吃了很多保胃的药,时好时坏,一直没诊断明白。来到医院之后,经专家们会诊,发现小辰有走路不稳症状,因此怀疑是脑部出现问题,紧急做了头部CT后发现,在小辰辰小脑的腹侧中心部位,就是四脑室的位置竟然有个巨大的肿瘤,同时脑室系统明显扩张,出现明显的梗阻性脑积水。
然而,医生继续和病人家属沟通才得知,原来小辰辰从上幼儿园开始,头就比同龄孩子大,家长认为孩子很聪明,头部大些也正常,所以也没在意。但是后来小辰辰出现了反复呕吐的现象,尤其早晨多见,到医院后做了胃镜检查发现有胃黏膜损伤,所以当地医生一直按照胃炎给他治疗。这次多亏来了深圳,在医院做了脑部的CT检查,发现脑部的肿瘤已经很大了,因此引起了脑积水,造成了脑内压力逐渐增高,把脑袋挤压的越来越大,同时产生恶心呕吐,走路不稳等神经压迫症状,一切真相大白,终于找到了元凶,明确了诊断。

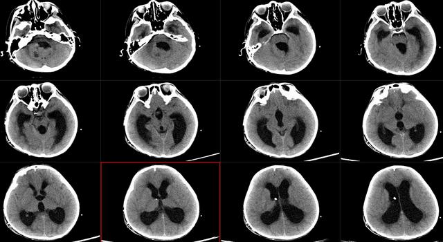
(图1 分流术后头颅CT,四脑室内占位,脑室系统扩张。)
当时,正值春节期间,新冠病毒肺炎席卷全国,医院正在严格清洗消杀,严阵以待当中,病人做飞机期间会不会感染新冠病毒,这个特殊的时候来到医院会不会接触到病毒携带者?谁都无法肯定,经过详细的疫情排查工作后,深圳二院神经外科黄国栋主任组织专家讨论决定给小辰辰手术分两步走,先做一个相对小的手术,把脑积水问题先解决,第一可以缓解颅内高压的危急情况,并且为肿瘤切除手术做前期准备,第二可以在观察期间减少冠状肺炎的感染几率。
小辰辰入院当天晚上,王海东主任医师、刘玉飞博士急诊全麻下行"右侧脑室腹腔分流术",为了不给后枕部手术增加难度,把分流管放在了额角,分流阀门也放在了头顶,而不是常规的耳后。术后病人呕吐和走路不稳症状解决了。也没有出现发热,腹泻等分流并发症。在病房观察了6天,没有发热,没有胸部CT毛玻璃改变,咽拭子试验也是阴性,排除了新冠病毒感染。

(图2 颅脑MR平扫+增强提示四脑室内巨大占位,脑干延髓、小脑严重受压。)

(图3 手术后复查颅脑MR平扫+增强提示肿瘤完全切除,脑干、小脑受压解除。)
疫情就是命令,病情就是集结号!虽然严峻的新型冠状病毒疫情给平时的工作增添了不少困难,但对于小辰辰的病情来说,肿瘤已经严重压迫脑干延髓,症状进行性加重,需尽快切除肿瘤、解除压迫,才能让他得到更好的救治。
经过5天术前准备,小辰辰各项检查均达到标准的情况下,于2月1日上午在神经外科主任黄国栋教授带领下、王海东主任医师,张协军主治医师及麻醉、手术医护人员等的精心完成手术,手术非常顺利,肿瘤彻底切除。术后,小辰辰恢复的非常快,吃东西也不吐,平安度过了围手术期,没有发生感染、出血、癫痫和神经功能障碍等并发症。

(图4 术后15天出院,手术医生团队和小辰辰合影照片)
在疫情防控严峻时期,我们更要发挥战斗精神,要比平时更加勇敢细致,才能让患者得到安心、专业的治疗!