首页
|
咨询
|
疾病
|
资讯
|
药房
|
登录
注册
快速取消订单
您好,
用户中心
私人医生
消息
退出
下载APP
3D腹腔镜右肝巨大血管瘤切除1
张光涛医生
发布于2025-10-06 10:00
阅读量15
北京大学深圳医院
本文由张光涛原创
该图片可能引起不适
继续查看
切除血管瘤及部分肝脏
该图片可能引起不适
继续查看
剖开见海绵状血管瘤
该图片可能引起不适
继续查看
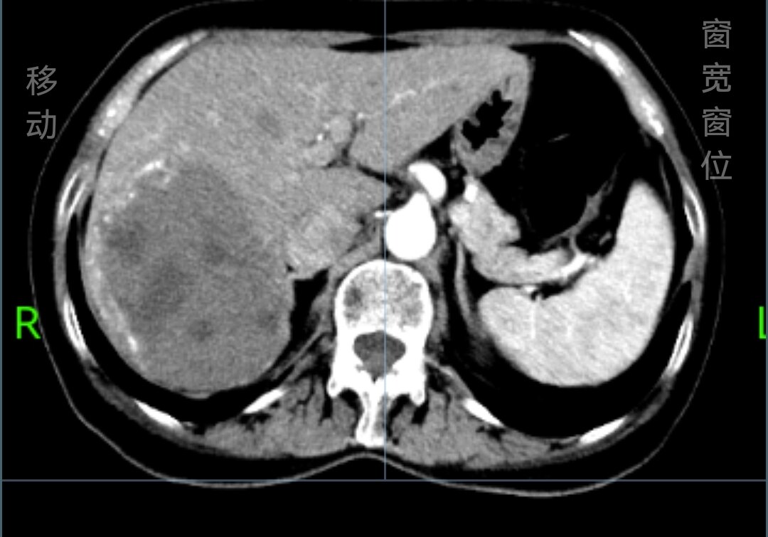
术前CT见右肝后叶9.5cm血管瘤
肝脏血管瘤超过5cm,如果近期有持续明显增大,无手术禁忌,可以选择
腹腔镜血管瘤切除术。