病例1:患者24岁,原发不孕,造影示双侧输卵管堵塞,否认结核病史,无结核病家族史。2022年4月以不孕症收入院手术,术前化验检查无明显异常,胸片示左肺下叶内带稍高密度结节影。行宫腹腔镜探查,宫腔被覆一层棉絮状质脆增生组织,宫腔狭小,宫壁僵硬。腹膜及大网膜广泛分布粟粒样结节,左侧输卵管充满干酪样组织及灰色脓液。












病例2:患者31岁,原发不孕,2019年11月在重庆某妇幼保健院做宫腹腔镜手术疏通输卵管,术中未取内膜活检,术后未孕。2021年7月在成都某大型生殖中心试管怀孕双胎(移植前未做宫腔镜检查及内膜活检),2021年11月孕4月双胎破水,在达州当地医院引产清宫,清宫术后40天复诊B超提示宫腔胚物残留。2022年1月到我院(眉山蕴缨妇产医院)行宫腔镜手术切除残留组织,2022年4月宫腔镜术后3个月复诊B超提示宫腔粘连,再次来我院行宫腔镜分粘。宫腔被覆一层沙丘状质脆增生组织,宫腔下段两侧壁内聚,行分粘术,取内膜送病检。










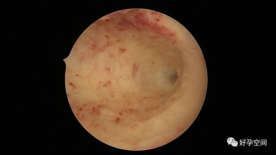
子宫内膜结核是由结核分枝杆菌在子宫内膜部位种植引起的炎症,是仅次于输卵管结核的常见女性生殖器结核。子宫内膜结核常由输卵管结核蔓延而来,多继发于盆腔腹膜结核或肺结核。子宫内膜结核的超声表现主要为:子宫内膜回声不均匀、宫腔内结节样病灶、宫腔内强回声灶、单纯的子宫内膜薄等。盆腹腔超声显示输卵管炎性表现:输卵管增粗、肥厚、扭曲、僵硬、输卵管积液积脓、卵巢旁混合性包块、输卵管系膜囊肿、盆腔包裹性积液等。术中所见:盆腹腔组织粘连、盆腹腔粟粒样结节、结核球、脓肿等,输卵管伞端烟斗样外翻,输卵管内充满淡黄色干酪样或豆渣样组织。宫腔镜显示宫腔狭窄、宫壁僵硬、宫内膜肉芽肿样增生、内膜质脆易刮除、干酪样组织、脓液等。
温宝宁等将子宫内膜结核宫腔镜检查的镜下表现分为:①宫腔形态、大小正常,双侧输卵管开口可见,子宫内膜发红、增厚,局部突起,表面可见少量质脆的小颗粒状赘生物,可刮出质脆的子宫内膜组织;②宫腔形态正常,但是宫腔内无正常子宫内膜,均被覆一层苍白的绒毛状或棉絮状质脆组织,血管少,无异形血管,宫腔内病灶与正常组织分界明显;③宫腔形态异常,呈窄桶状,子宫内膜瘢痕化,输卵管开口细小,甚至宫角消失。
宫腔镜检查识别检出的子宫内膜结核必须经组织病理学证实方可诊断,治疗原则为早期、联合、规律、适量、全程用药,治疗疗程为6~9个月。目前两个病人均已开始抗结核治疗。
更多内膜结核图片参考:结核对子宫内膜的破坏是毁灭性的