我曾有幸在超大型生殖中心(锦欣生殖)主持生殖外科工作近10年,前5年时间里从13000多人次宫腔镜手术中发现内膜结核24例(所有病例均经过病理确诊),后来就很少遇到内膜结核病例了。内膜结核实际发病数应该多于这个数据,因为并不是每个宫腔镜手术都取了内膜活检。
全球每年新发结核病例约320万,生殖器官结核常继发于肺、肠、腹膜等其他部位结核,子宫内膜结核主要由输卵管结核蔓延而来。内膜结核占肺外结核的11.9%,占生殖器结核的50%~80%。结核对子宫内膜的破坏是毁灭性的,怀孕几率极低,不足0.1%。试管婴儿开展初期,大量多年不孕的育龄女性希望通过这一里程碑式的技术怀孕,一些潜在的内膜结核病例在试管流程中被筛选出来,她们大多没有结核病史,甚至没有接触史,月经可能也没有明显改变,但就是怀不上。
现从每个病例中精选1张图片呈现给大家,简略介绍每张图片宫腔镜下典型改变,希望这些图片能给宫腔镜医生诊断内膜结核提供帮助,并提醒多年不孕的病人,不孕原因要排除内膜结核可能。宫腔镜检查,直视下取内膜活检是诊断内膜结核的最佳方法。如果确诊内膜结核,应尽快到传染病医院接受正规治疗(早期、联合、足量、全程),内膜结核治愈才有怀孕机会。
病例01:密布结节性肉芽肿

病例02:密布结节性肉芽肿

病例03:密布结节性肉芽肿

病例04:密布结节性肉芽肿内膜苍白

病例05:密布结节性肉芽肿内膜苍白

病例06:密布结节性肉芽肿内膜发红

病例07:散在结节性肉芽肿宫腔狭窄内膜粗糙苍白

病例08:散在结节性肉芽肿内膜出血

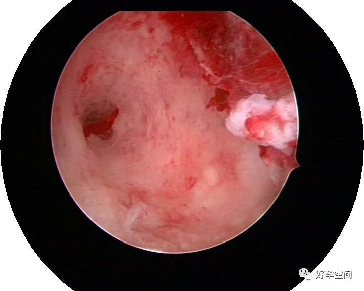
病例09:散在结节性肉芽肿内膜薄及出血

病例10:散在结节性肉芽肿内膜薄及出血

病例11:散在结节性肉芽肿及钙化内膜薄及出血

病例12:散在结节性肉芽肿

病例13:豆渣样干酪样坏死组织

病例14:干酪样坏死溃疡并有灰黄色脓液流出

病例15:宫腔变形黄色团块状干酪样坏死组织

病例16:棉絮状干酪样坏死组织

病例17:片状干酪样坏死组织

病例18:宫腔粘连变形狭窄

病例19:宫腔粘连变形狭窄

病例20:宫腔粘连变形狭窄内膜瘢痕及出血

病例21:宫腔粘连变形狭窄瘢痕内膜消失及出血

病例22:绒毛状及膜状沉积物内膜充血

病例23:散在结节性肉芽肿膜状沉积物内膜充血

病例24:内膜增厚充血
