患者26岁,G7P1,剖宫产1次。2019年10月门诊药流不全,行清宫术,术后闭经半年,后月经紊乱,周期28天~60天,月经量减少。
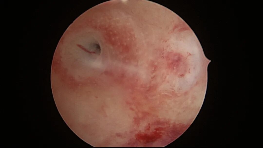
第一次宫腔镜:2021年4月,闭经50+天,B超提示宫腔粘连,宫腔镜探查见宫颈管上段封闭粘连,宫腔广泛粘连,AFS评12分(最高分)。宫腔镜单极电切分粘,恢复宫腔形态,显露双侧输卵管开口,右侧宫角附近内膜柔软、红润,宫腔防粘连复发处理。








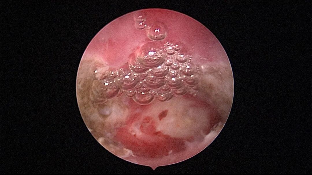
第二次宫腔镜:2021年5月宫腔镜二探取球囊,宫腔形态正常,双侧输卵管开口可见,两侧宫壁见瘢痕,前后壁内膜充血。




2021年7月自然妊娠(2021年5月取球囊后未来月经即怀孕),因打了新冠疫苗,坚决要求终止妊娠,门诊人流并安环。
第三次宫腔镜:2021年9月,停经1+月,排除带环受孕,门诊B超提示宫腔粘连,节育环嵌顿。宫腔镜探查见γ型环嵌顿,宫腔广泛粘连,异物钳取环,环变形。单极电针分粘,恢复宫腔形态,显露双侧输卵管开口,右侧输卵管开口周围及宫底部分内膜正常,左侧宫角周围内膜薄,宫腔中部前后壁粘连创面集中,宫腔灌注生长激素。








第四次宫腔镜:2021年10月宫腔镜二探取球囊,宫腔形态正常,右侧输卵管开口可见,左侧宫角见瘢痕,左侧输卵管开口隐约可见。




2021年12月左上臂放置皮埋避孕棒,2022年3月要求取出皮埋棒,门诊医生未记录提前取出皮埋棒原因。
第五次宫腔镜:2023年8月初自然妊娠,药流不全,2023年8月底行宫腔镜清除残留胚物。宫腔下段前壁及左侧壁胚物残留,胚物与宫壁粘连,双侧输卵管开口可见,内膜稍苍白。单极电切环切除残留胚物组织,恢复宫腔形态,宫腔注入防粘剂,未放置球囊,患者拒绝送病检。








第六次宫腔镜:2024年2月自然妊娠10周,2024年4月初妊娠3+月(BPD2.6cm),坚决要求终止妊娠,行宫腔镜辅助终止妊娠。门诊医生给与米非司酮片及米索前列醇口服3天,胚胎掉出后行宫腔镜辅助下清宫,确保无胚物残留,术前宫深11.5cm,术后宫深10cm。



第七次宫腔镜:2025年6月因异常子宫出血、月经淋漓不净10+天,行宫腔镜探查,宫颈管见陈旧血丝,宫腔形态欠规则,宫腔两侧纤维性粘连,宫腔狭小,内膜薄,内膜充血。单极电针分粘,宫腔形态基本恢复正常,左侧输卵管开口显露,右侧输卵管开口不可见。内膜病检为增殖期样子宫内膜伴出血。








第八次宫腔镜:2025年7月宫腔镜二探取球囊,宫腔形态正常,双侧输卵管开口可见,内膜薄,片状充血。球囊在宫腔具有持续塑形作用,分粘术中没有显露的右侧输卵管开口已自我修复。




现患者31岁,G10P1,前后共做了8次宫腔镜,术后多次自然妊娠,患者妊娠中途均选择了终止妊娠。
心得体会:
1、宫腔镜是把双刃剑,分粘次数越多,内膜创伤的可能性越大,内膜逐渐变薄,腺体减少,血供减少,颜色苍白,瘢痕纤维化,宫腔形态变得不规则,宫壁及内膜僵硬等。
2、第一次分粘手术一定要做好,恢复宫腔形态,显露双侧输卵管开口,分粘不足和分粘过度都不利于内膜及宫腔恢复。
3、线性切开粘连带,保护切口附近内膜,在内膜下切除瘢痕及纤维性粘连,恢复宫腔形态。
4、输卵管开口周围内膜及输卵管开口处粘膜需重点保护,尽量不要扰动。
5、节育环防粘连易出现节育环嵌顿,预防粘连复发效果差,防粘剂配合球囊或雌激素支架预防粘连复发效果较好。