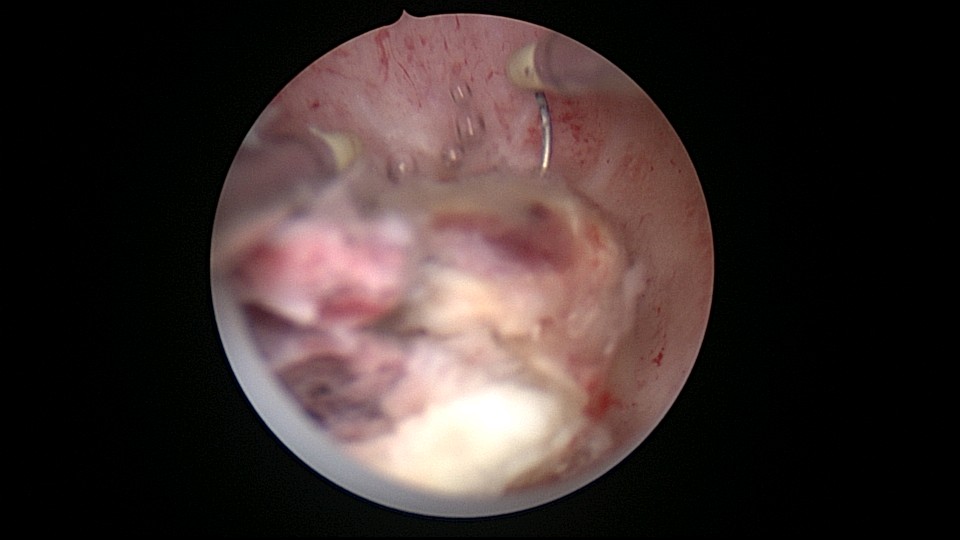
患者25岁,G1P0,停经52天,稽留流产,B超宫内偏右查见大小约2.4cmx1.0cmx1.7cm孕囊回声,形态规则,内可见直径约0.4cm的卵黄囊回声,未见胎芽,孕囊旁肌层最薄处厚约0.5cm,子宫中下段回声连续性欠佳,似可见一分隔回声。2021年7月宫腔镜探查,胚胎着床于宫腔前壁偏右,宫颈内口及宫腔左侧壁粘连。清除妊娠组织,单极电针分粘,恢复宫腔形态,双侧输卵管开口显露(第一次怀孕,宫腔粘连原因?)。2022年7月自然妊娠,2023年3月足月剖宫产分娩。2024年12月,外院人流术后1+月,宫内残留,与后壁肌层分界欠清,局部血流信号增多,到我院宫腔镜切除残留组织(后3张图片)。现患者30岁,G3P1。宫腔粘连常常不能阻止妊娠,但胚胎停育发生率增加。








