宫腔镜分粘术后妊娠病例23

张林医生 发布于2026-02-11 09:16 阅读量7

本文由眉山蕴缨妇产医院 张林原创

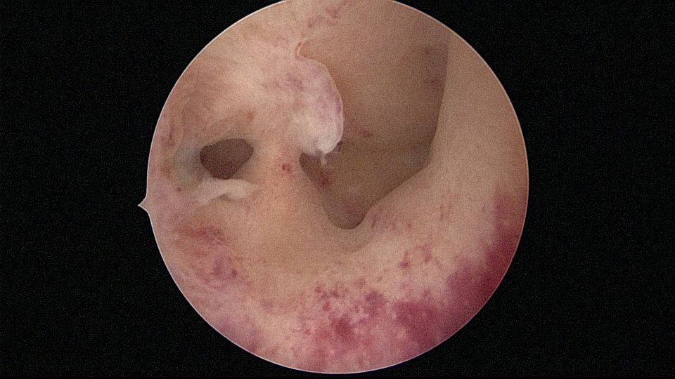
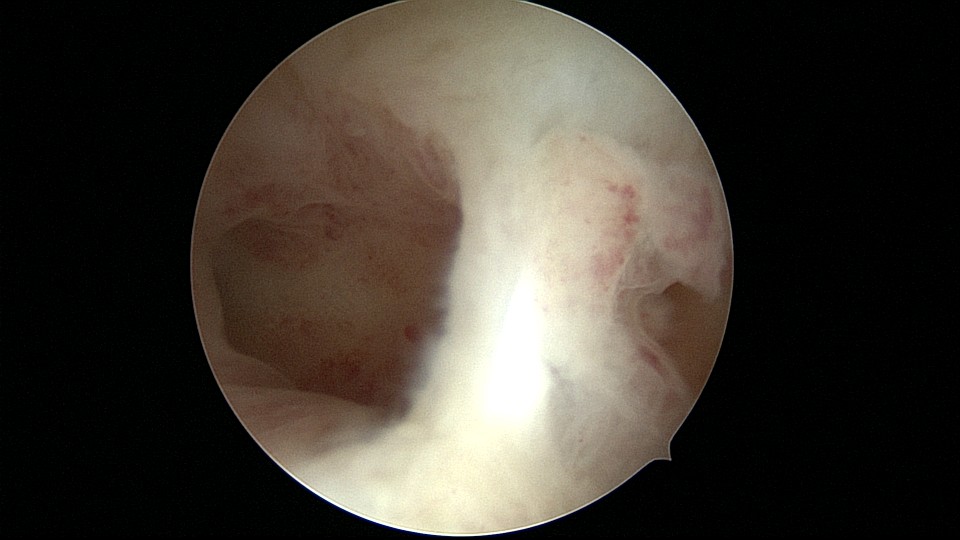
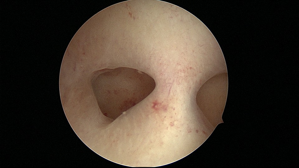
患者28岁,G1P0,2019年11月孕9周胎停1次,药流清宫,术后月经量逐渐减少,淋漓不净。外院B超发现宫腔粘连,2021年6月初宫腔镜探查,宫腔两侧及右侧宫角粘连,单级电针分粘,恢复宫腔形态,显露双侧输卵管开口(术中图像采集系统突发故障,分粘及分粘后图片未采集到)。2021年6月底宫腔镜二探取球囊,宫腔形态正常,双侧输卵管开口可见。2022年12月自然妊娠,足月顺产。现33岁,G2P1。


图片发自160App


图片发自160App


图片发自160App


图片发自160App


图片发自160App


图片发自160App


图片发自160App


图片发自160App
相关疾病: