宫腔镜分粘术后妊娠病例22

张林医生 发布于2026-02-11 08:49 阅读量1

本文由眉山蕴缨妇产医院 张林原创

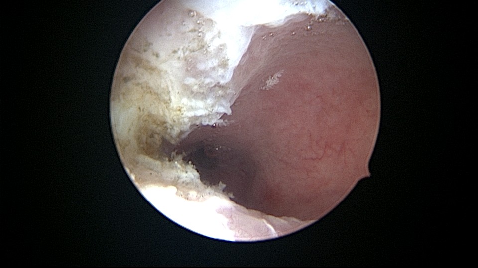
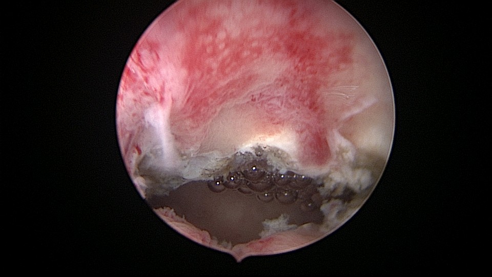
患者32岁,G2P0,自然流产2次,外院行清宫术,术后月经量减少一半。2019年6月市妇幼分粘,术后月经无改善,宫腔粘连复发,2020年11月宫腔镜探查,宫腔中上段幕状粘连,形成两个假的输卵管开口,双极电针分粘,恢复宫腔形态,显露正常的输卵管开口。2020年12月宫腔镜二探取球囊,宫腔形态正常,双侧输卵管开口可见,内膜充血。2022年5月自然妊娠,2023年1月剖宫产分娩一女婴(37+2)。现37岁,G3P1。


图片发自160App


图片发自160App


图片发自160App


图片发自160App


图片发自160App


图片发自160App


图片发自160App


图片发自160App


图片发自160App
相关疾病: