宫腔镜分粘术后妊娠病例21

张林医生 发布于2026-02-10 09:06 阅读量20

本文由眉山蕴缨妇产医院 张林原创

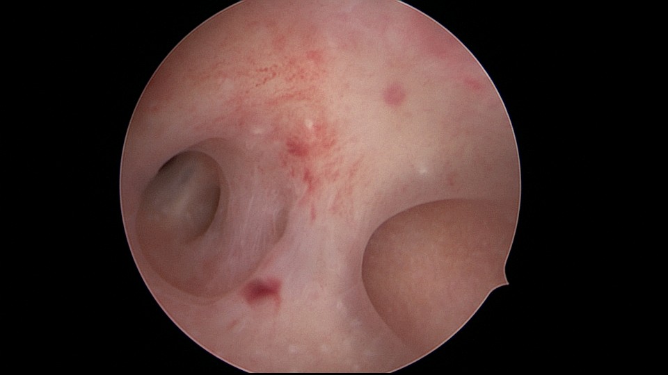
患者35岁,G5P0,继发不孕10年,10年前外院开腹宫外孕手术1次,试管失败1次。外院B超提示宫腔粘连,2021年4月在成都西囡妇科医院做宫腔镜检查,发现宫腔粘连。2021年11月到我院做宫腔镜分粘手术,术中见宫腔两侧及右侧宫角致密粘连,内膜片状充血,单极电切分粘,恢复宫腔形态,显露双侧输卵管开口。2021年12月宫腔镜二探取球囊,宫腔形态正常,双侧输卵管开口可见。分粘后再次试管成功,足月分娩。现40岁,G6P1。


图片发自160App


图片发自160App


图片发自160App


图片发自160App


图片发自160App


图片发自160App


图片发自160App
相关疾病: