宫腔镜分粘术后妊娠病例18

张林医生 发布于2026-02-09 09:44 阅读量51

本文由眉山蕴缨妇产医院 张林原创

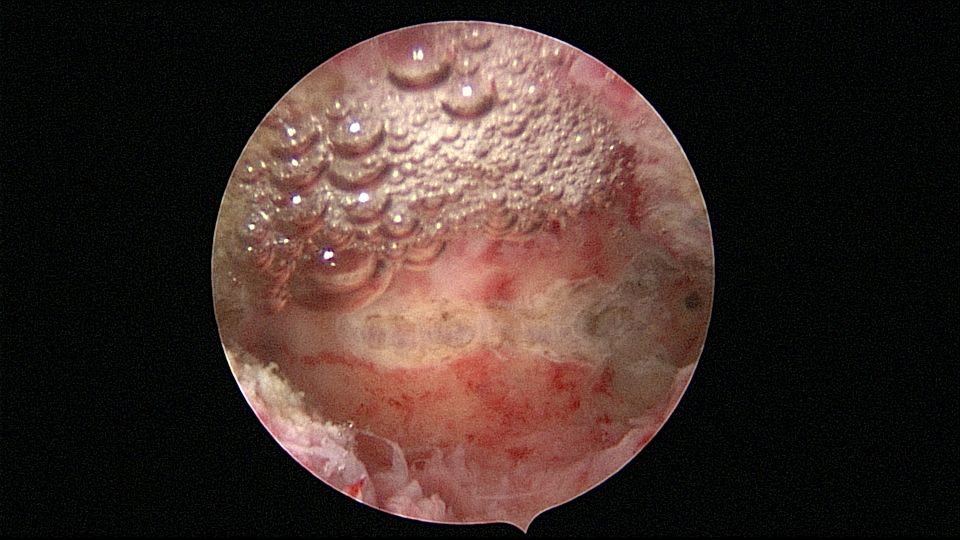
患者33岁,G5P2,顺产2次,胎停清宫后月经量减少,外院B超提示宫腔粘连。2021年5月宫腔镜探查,宫腔重度粘连,宫腔狭小,右侧输卵管开口可见,左侧输卵管开口未见,单极电针分粘,恢复宫腔形态,显露左侧输卵管开口(僵硬)。2021年6月宫腔镜二探取球囊,宫腔形态正常,双侧输卵管开口可见,宫内膜薄。2022年7月自然妊娠,2023年3月孕39+周顺产分娩。现38岁,G6P3,顺产3次。


图片发自160App


图片发自160App


图片发自160App


图片发自160App


图片发自160App


图片发自160App


图片发自160App


图片发自160App


图片发自160App
相关疾病: