宫腔镜分粘术后妊娠病例16

张林医生 发布于2026-02-07 10:49 阅读量30

本文由眉山蕴缨妇产医院 张林原创

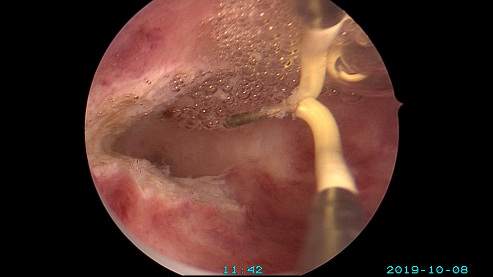
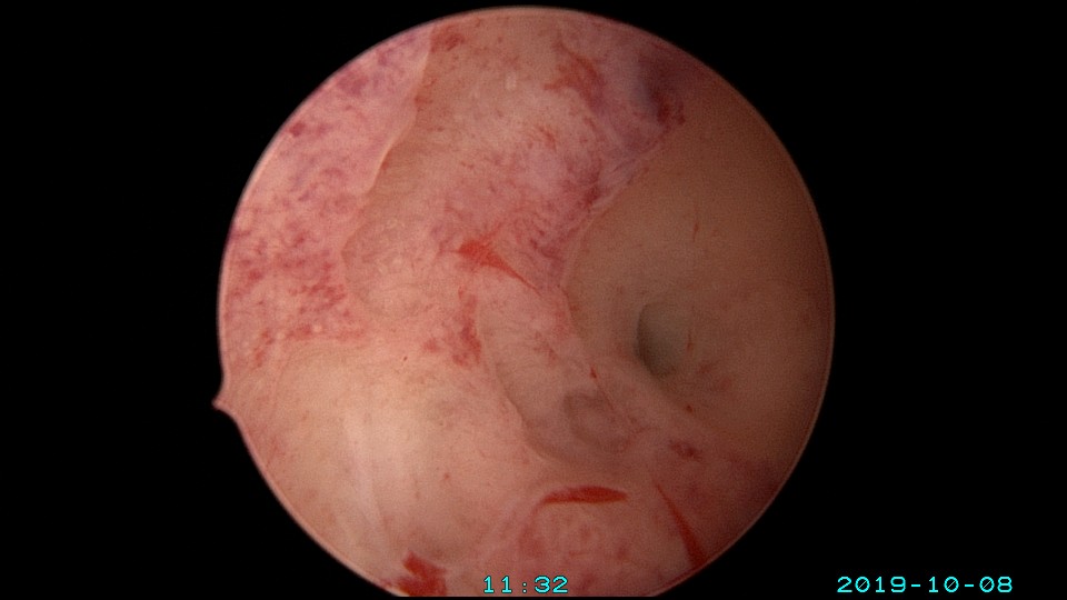
患者27岁,G2P0,人流1次,孕8周胎停清宫1次,绵阳市某医院造影发现宫腔粘连1+月,2019年10月初我院宫腔镜探查,发现宫腔右侧粘连,左侧输卵管开口可见,单极电切分粘,恢复宫腔形态,显露右侧输卵管开口。2019年10月底宫腔镜二探取球囊,宫腔形态正常,双侧输卵管开口可见。2021年10月自然妊娠,稽留流产,我院宫腔镜取胚,2022年再次自然妊娠,足月分泌。现33岁,G4P1。


图片发自160App


图片发自160App


图片发自160App


图片发自160App


图片发自160App


图片发自160App


图片发自160App


图片发自160App
相关疾病: