宫腔镜分粘术后妊娠病例11

张林医生 发布于2026-02-05 09:26 阅读量51

本文由眉山蕴缨妇产医院 张林原创

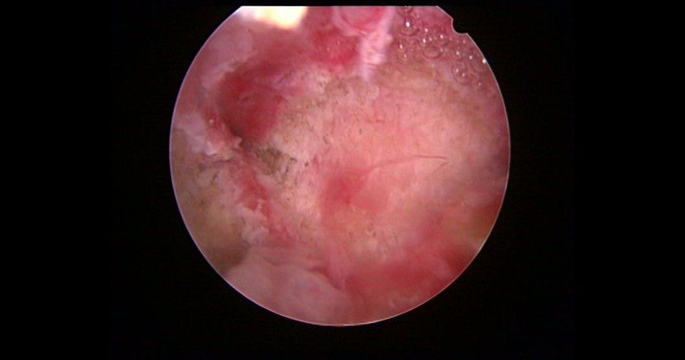
患者32岁,G6P0,继发不孕,2017年8月行宫腔镜探查,发现宫腔两侧及宫底致密粘连,尤其是宫腔右侧多重粘连,宫腔狭小。单极电切分粘,恢复宫腔形态,显露双侧输卵管开口。2018年8月自然妊娠40多天,我在兰州大学附一院生殖中心进修,病人微信发B超给我,大孕囊,胎心微弱,外院疑诊胚胎停育,拟行清宫,嘱病人不要轻易清宫,继续保胎1周,复查B超,胚胎发育正常。病人的信心和坚持成就了她自己和孩子的奇迹,孕期顺利,足月分娩。后病人再次妊娠1次,人流终止妊娠,现41岁,G8P1。


图片发自160App


图片发自160App


图片发自160App


图片发自160App


图片发自160App


图片发自160App


图片发自160App
相关疾病: