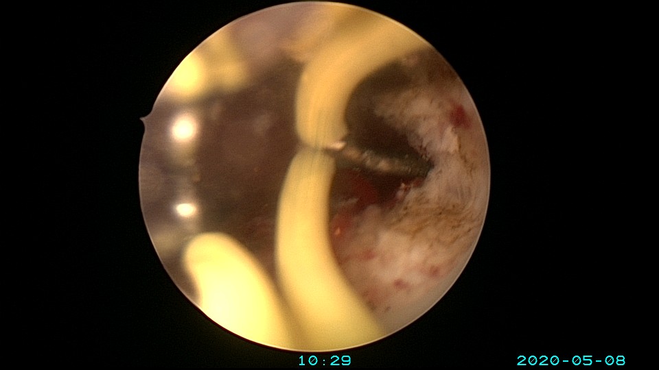
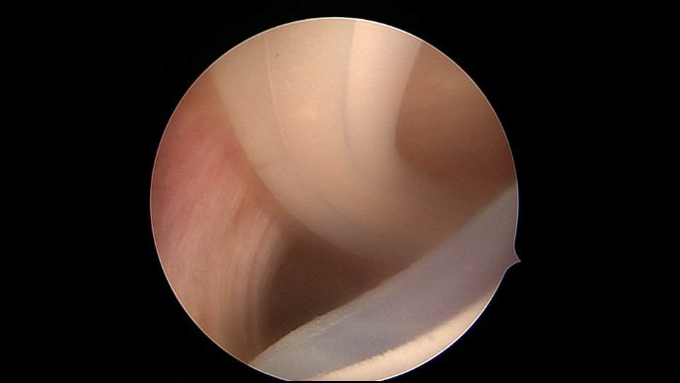
患者32岁,G10P1,剖宫产1次。2020年2月人流术后闭经2+月,2020年5月宫腔镜探查见剖宫产切口憩室,宫颈内口以上广泛封闭粘连,AFS评10分,双极电针分粘效果差,扩张宫颈管,改用双极电切分粘,恢复宫腔形态,显露双侧输卵管开口。2020年6月宫腔镜二探取球囊,宫腔形态正常,双侧输卵管开口可见。2020年10月自然妊娠,2021年2月初的某一天,在电梯里,病人的老公认出我是给他老婆做手术的医生,表达感谢之余,讲病人因先兆流产在产科保胎,情绪不稳定,甚至想终止妊娠,医生及家属努力安抚病人。2021年5月,36+3周剖宫产分娩。现37岁,G11P2。








