宫腔镜分粘术后妊娠病例7

张林医生 发布于2026-02-03 08:50 阅读量69

本文由眉山蕴缨妇产医院 张林原创

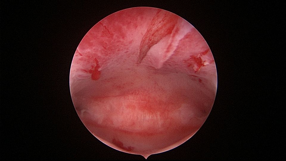
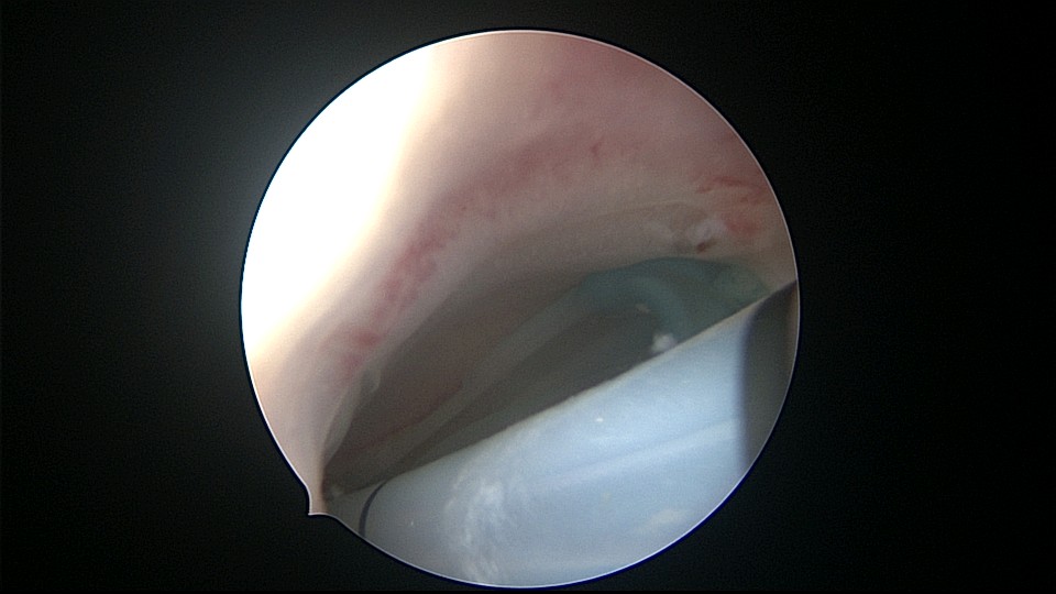
患者29岁,G1P0,继发不孕,2020年8月宫腹腔镜探查,大网膜与腹前壁多处粘连,子宫后壁与直肠前壁广泛粘连,宫腔中央型宽大柱状粘连,宫腔两侧少许粘连。电钩分离盆腔粘连,冷刀分离宫腔粘连,恢复宫腔形态,显露双侧输卵管开口,术中美兰通夜,双侧输卵管通畅。2020年10月宫腔镜二探取球囊,宫腔形态正常,双侧输卵管开口可见。2021年3月自然妊娠,外院足月分娩。现34岁,G2P1。


图片发自160App


图片发自160App


图片发自160App


图片发自160App


图片发自160App


图片发自160App


图片发自160App


图片发自160App


图片发自160App
相关疾病: