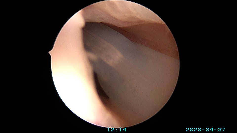
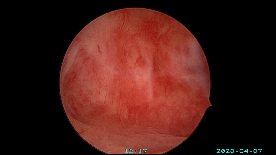
患者39岁,G3P1 ,2018年8月外院人流术后月经逐渐减少,2018年12月开始闭经。因再婚要求生育,2020年2月因闭经1+年,行宫腔镜探查,术中见宫颈管及宫腔封闭粘连,单极电切分粘,恢复宫腔形态,见少许残留内膜,未取到内膜送病检,双侧输卵管开口不可见。2020年4月宫腔镜二探取球囊,宫腔形态正常,右侧输卵管开口仍不可见,左侧输卵管开口可见,开口周围见少许正常内膜。2020年6月,患者打电话给我说,停经47天,感胸部胀痛。我第一个想法是粘连复发,月经出不来了,叫病人来院复查(误听为腹部胀痛)。没想到B超检查怀孕了,很惊讶,太意外了。生命就是这么神奇,这个小生命从贫瘠的土壤里获得了新生,茁壮成长,35+周孕剖宫产分娩。现45岁,G4P2。另,球囊对宫腔的持续塑型,对后期输卵管开口显露有好处。








