宫腔镜分粘术后妊娠病例2

张林医生 发布于2026-01-31 09:15 阅读量101

本文由眉山蕴缨妇产医院 张林原创

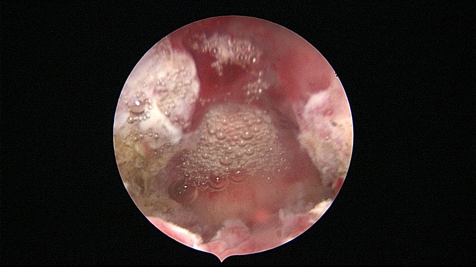
患者23岁,G1P0,外院稽留流产清宫术后发现宫腔粘连。2021年8月宫腔镜探查见宫腔两侧多重曲折粘连,AFS评10分,单极电针分粘,恢复宫腔形态,显露双侧输卵管开口,2021年9月宫腔镜二探取球囊。2021年12月自然妊娠,39+周剖宫产分娩。现28岁,G2P1,有再生育要求。


图片发自160App


图片发自160App


图片发自160App


图片发自160App


图片发自160App


图片发自160App


图片发自160App
相关疾病: