生殖中心宫腔镜主要是不孕症病人,是育龄期青壮年女性群体,希望通过宫腔镜检查及手术为备孕或试管助孕做准备,她们身体素质好,合并症少,对麻醉及手术耐受性高,绝大部分病人为宫腔镜检查、内膜活检、内膜息肉切除等一、二级手术,少数为宫腔镜分粘、子宫纵膈切除等三、四级手术。在2018年前,我和团队在成都某医院生殖中心每年开展宫腔镜手术6000多台,我处理了几乎所有的三、四级手术,积累了一些宫腔镜手术经验和技巧。2019年我进入一家妇产专科医院,开展普通妇科宫腔镜手术,普通妇科宫腔镜手术种类繁多,大多为三、四级手术,比如粘膜下肌瘤、节育环坎顿、绝经后息肉、胎盘粘连、子宫动静脉瘘等,病人年龄跨度大,高龄、高危病人较多,合并症多,对麻醉及手术的耐受性差,风险更高,应引起宫腔镜手术医生警惕。我们从宫腔镜经典手术开始,不断延伸宫腔镜临床应用范围,充分发挥宫腔镜的微创优势,为宫腔疾病患者解除疾苦。
宫腔镜200多年的发展历史,目标是更安全(膨宫介质、膨宫机、等离子器械等)、更清晰(光源、透镜、数字化等)、更微创(镜体直径、电针等)、更高效(能量器械改进、冷刀等)、更便捷(一次性宫腔镜、诊室宫腔镜、日间手术等)。
1、宫腔镜经典手术:(宫腔及宫颈管)分粘、粘膜下肌瘤、纵膈、息肉手术等。

2、不孕症、试管助孕前、复发性流产、异常子宫出血等宫腔镜检查、内膜活检,选择性输卵管插管通液,输卵管近端COOK导管复通,输卵管插管注药(臭氧等)。

3、取环,环移位、环残留、环嵌顿、辅助安环、调整节育环位置。
宫内双环、三环、环残留、环卷曲在左侧宫角

宫腔粘连,节育环嵌顿

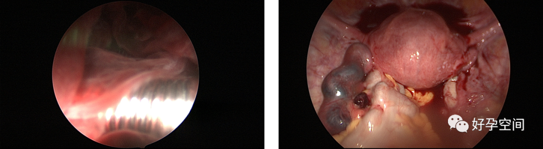
带环受孕

带环受孕左侧输卵管间质部妊娠

带环受孕左侧输卵管壶腹部妊娠

4、取胚、人流及药流不全、带环受孕、切口妊娠、宫角妊娠、切口憩室、宫颈妊娠,胎盘残留、胎盘粘连、胎盘植入、子宫动静脉瘘手术。
宫腔镜下的胚胎

胚物残留、左侧宫角妊娠、切口妊娠、切口憩室

胎盘残留、胎盘粘连、胎盘植入、动静脉瘘

输卵管积水返流入宫腔

5、阴道异物、阴道纵膈、宫腔异物、宫颈管纳氏囊肿穿刺或开窗、女性尿道检查,宫腔镜膀胱灌注、膀胱异物取出、膀胱血块清除、膀胱出血点电凝止血。
幼女检查阴道,排除阴道异物

切除阴道纵膈

宫腔缝线异物

宫颈纳氏囊肿单极电针穿刺

宫颈纳氏囊肿开窗

尿道口肉阜切除,检查尿道及膀胱

气囊尿管爆裂,橡皮片遗留膀胱

取卵损伤膀胱,清除膀胱内血块,电凝止血

输尿管插管

6、宫腔镜输卵管开口电凝封堵绝育、输卵管开口置入弹簧圈封堵绝育、胚胎移植前阻断输卵管积水返流入宫腔。
试管助孕前双侧输卵管积水,腹腔镜及开腹手术失败,宫腔镜电针电凝封堵输卵管开口

既往试管助孕前输卵管开口植入弹簧圈,再次移植前宫腔镜检查,弹簧圈包埋组织内,不见痕迹

7、最近有专家在研究宫腔镜下的缝合技术。
宫腔镜下缝合固定曼月乐环

附:宫腔镜发展历史摘录整理
1807年德国Bozzini第1例宫腔镜(日光源),内镜之父
1853年法国Antonin J.Desormeaux真正可操作的膀胱镜
1869年爱尔兰Pantaleoni第1例在人体做宫腔镜检查
1879年柏林Nitze远处照明的膀胱镜
1889年英国Pantaleoni借助膀胱镜观察宫腔息肉,巴黎Clado第1位设计宫腔镜器械
1907年David第1位接触型宫腔镜
1914年Hemeberg增设喷洗镜头装置,宫腔灌流系统
1925年Rubin用二氧化碳膨宫及宫腔内凝固术
1926年Seymour出、入水分置的宫腔镜
1927年Freund增设操作孔,Mikulicz-Radecki活检功能,宫角(输卵管间质部)电凝避孕
1928年Gauss借助于液面差膨宫,低粘度灌流液
1934年Schroeder测定膨宫压力值并对输卵管电凝
1934年~1943年Segond灌流系统和活检
1936年Shack宫腔镜临床验证
1942年~1970年Norment橡胶气囊,实用灌流系统,切割环,纤维视管
1952年法国Fourestier应用冷石英光源到宫腔镜
1953年~1978年Mohti和Mohri纤维宫腔镜,输卵管镜
1957年Englund等子宫造影、诊刮和宫腔镜对异常子宫出血的治疗评估。Norment低粘度液体灌流,设计了用电切环的电切镜,18年后他最终定型了宫腔镜
1962年Silander宫腔镜内膜癌的研究
1965年德国Marlescki发展了接触性宫腔镜,Hopskin发展了光导纤维系统,将球面透镜替换为柱面透镜
1968年Menken使用高粘度膨宫液聚乙烯吡咯烷酮
1970年Edstrom和Fernstrom用相对分子质量为70000的葡聚糖膨宫
1971年德国Hans-Joachim Lindemann教授使用二氧化碳作为膨宫介质,1974年Lindemann与Peter P.Wiest博士合作研发了气体膨宫机
上世纪70年代纤维光学、冷光源技术、膨宫方法、照像摄像系统以及电凝电切装置不断改进,进一步完善了宫腔镜设备设施四大系统
1978年日本Sugimoto生理盐水膨宫,日本Takaaki Mohri清楚看到输卵管开口,拍摄早期胚胎
1981年Goldrath使用Nd-YAG激光去除内膜,治疗异常子宫出血,1986年FDA认可,但很快激光就被电外科手术所代替,1989年FDA正式批准使用宫腔电切镜
1983年Hamou改进了接触型宫腔镜,称之为阴道-宫腔镜,既可以用做接触型,也可以用做全景式
上世纪80年代末,两大重要突破:手术宫腔镜和诊断宫腔镜均采用持续灌流系统;器械微型化,可用作门诊检查和手术
上世纪90年代初中国夏恩兰推广宫腔镜技术
2000年Kremer随机对照研究门诊宫腔镜
2005年日本奥林巴斯等离子双极电切镜,宫腔镜技术的革新
2021年近几年辅助生殖推动了一次性宫腔镜的推广