一、节育环移位脱落带来的困扰
子宫畸形(形态异常)、子宫位置特殊(位置异常)、人流或产后子宫较大(容积异常)常常导致节育环放置不到位,节育环类型及型号选择不当、安环术后过度活动等容易造成节育环移位、脱落、或带环受孕;左炔诺孕酮宫内缓释系统(曼月乐)对子宫内膜异常增生(癌前病变)、异常子宫出血(经量过多)及子宫腺肌症(严重痛经)等的治疗效果较好,但移位或脱落造成治疗效果不佳,可能走向子宫内膜恶变、子宫切除等不良结局,同时曼月乐价格较贵,患者也担心移位或脱落。这些都会给病人带来较大的经济压力和心理压力,增加就医成本和时间成本。
带环受孕图片

带环受孕节育环下移并嵌顿于切口憩室(详见“宫腔镜探秘带环受孕”,好孕空间2023年06月02日发布)

终止妊娠后宫腔很大,固定的节育环就像一叶扁舟


防止节育环移位或脱落,从节育环设计的时候就在考虑这个问题。支架型设计、无支架固定式节育环、形状记忆合金、宫腔形态自适应设计、孕激素或吲哚美辛药物缓释技术等等都有利于节育环固定。通过临床症状、妇科检查及影像学检查可明确诊断节育环移位或脱落,对移位或脱落的节育环应分析原因、积极处理、制定再避孕策略。术前精细化评估、与患者充分有效沟通、选择合适的节育环、规范放置操作、术后行为指导、及时随访等有利于增强节育环稳定性,最大限度降低节育环移位或脱落风险。
工作中取出的支架型节育环

二、宫腔镜下节育环固定策略
宫腔镜下节育环固定是一个新课题,是迫不得已发展起来的手术技术,文献报道极少,方法仍在不断探索中,总有新方法涌现出来。患者选择宫内节育器避孕、不宜用其他避孕方法、需用宫内节育器治疗疾病时,但因子宫畸形、子宫位置特殊、宫腔过大、腺肌症等可能导致环移位脱落,或既往有节育环移位脱落病史,可选择宫腔镜下节育环固定。
1、宫腔镜下节育环缝合固定
宋小磊等2019年国内外首创宫腔镜下曼月乐缝合固定术。
宋小磊等文献图片及说明

宫腔上段各壁都可以缝合固定,必须缝合到子宫肌层,缝合前最好去除较厚的内膜,显露基底层,避免仅缝合到内膜,节育环随月经脱落。使用冷刀系统操作镜,宫颈扩张到9号扩宫棒以上,宫颈管足够宽松,避免镜鞘与环纵臂紧贴卡压,摩擦阻力大会将环带出,撕裂缝合处组织,导致固定失败。冷刀系统抓钳夹持4-0不可吸收带针线进入宫腔(可以用中弯钳将带针线盲视下送入宫腔),将针尖扎进宫壁少许,再夹持针尾缝合,边进针边调整夹针位置,同时旋转持针钳柄及镜鞘,顺势完成弧形进针缝合。完成缝合后拉出带针线,线尾端缝线中段套扎固定节育环顶端,将环装回推杆送入宫腔,稍拉紧缝线,使节育环贴近宫壁缝合处。会阴部缝针端及线尾端两根线打韦斯顿结或田纳西结,还有路德结、Chula结、邓肯结、SMC结等多种滑结可供选择,将结推送至节育环附近,宫腔内靠近线结剪断缝线,宫颈外口剪断环尾丝(可在环送入宫腔前剪断)。
韦斯顿结示意图

田纳西结示意图

笔者在临床工作中力图对缝合固定做一些简化。
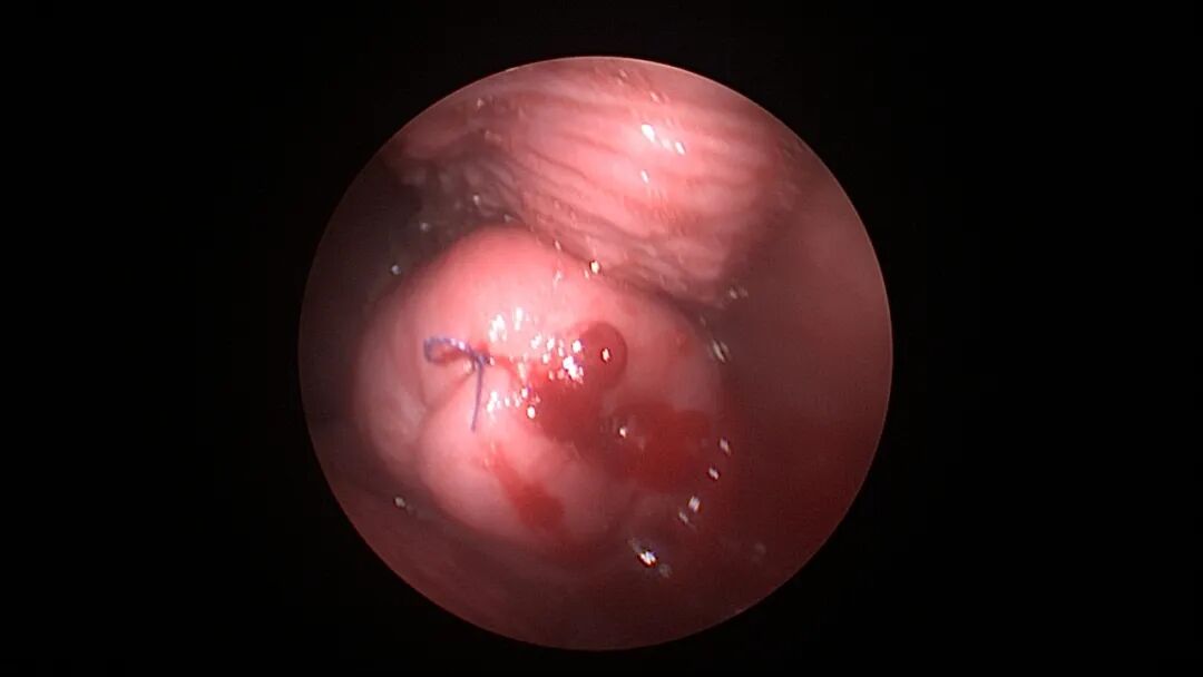
宫壁缝合1针线结固定法:体外在缝线中段打3个结(缝针端1个限位结,线尾端2个固定结),3个结相距0.5cm~1cm,带针线在宫腔内缝合宫壁1针。距线尾端固定结0.5cm~1cm固定节育环,将环送入宫腔,宫腔镜直视下牵拉缝线,将限位结拉过子宫肌层后停止牵拉,后面1~2个固定结被拉入子宫肌层,对节育环形成有效固定,线结突破肌层手感明显。
线结固定示意图说明

痛经宫壁缝合1针线结固定曼月乐图片及视频




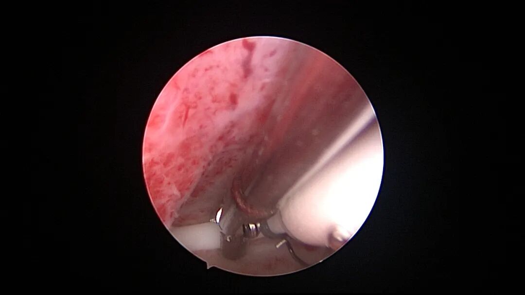
宫壁缝合1针宫颈外口缝扎固定法:在宫壁缝合1针作支点或固定点,线尾端固定节育环,距节育环0.5cm~1cm剪断线尾,将环送入宫腔,宫腔镜直视下稍拉紧缝线,节育环被固定在缝合处,带针线拉至宫颈外口,在宫颈外口缝合1~2针打结固定。
取胚术后宫壁缝合1针宫颈缝扎固定节育环图片及视频





宫壁缝合2针线圈固定法:在宫壁缝合2针,线尾端固定节育环,距节育环0.5cm~1cm剪断线尾,将环送入宫腔,宫腔镜直视下整理并稍拉紧缝线,节育环被固定在缝合处。子宫肌层对静止的缝合线圈无法主动释放,形成节育环有效固定,宫颈外口剪断线尾,形成较长的线尾端。
取胚术后宫壁缝合2针线圈固定节育环图片及视频



宫腔镜下节育环缝合固定注意事项:腺肌症子宫、终止妊娠后子宫,子宫长径大于7cm者,或盆腔粘连、膀胱充盈牵拉子宫者,宫深可能超过12cm,宫腔很大,尤其是肥胖病人,宫腔镜器械长度无法到达宫底,缝合很困难,可能无法看到宫腔后壁,甚至找不到附着在宫腔后壁的缝针,偶有放弃缝合固定病例,待药物治疗、子宫复旧及器械充分准备后择期再做固定。终止妊娠后子宫敏感,收缩放松频率快,在放松时间段无法完成缝合操作时,手术时间可能延长,因此清除胚胎后不要急着用缩宫素,否则影响缝合操作。取胚或内膜吸刮后宫腔有出血,视野不清,缝合比较困难,调高膨宫压会有改善。4-0线很细,很难在同一个部位打方结,打单结即可,肌层对单结的卡压足够固定节育环,甚至不需要肌层卡压固定结,仅仅一个限位结就足够固定节育环(体外打结很容易,多打几个结也无妨)。三种简化方案核心都是避免推结,费时费力,可能推结不到位,或过度牵拉撕裂组织,导致固定失败。可以根据病人具体情况及医生擅长选择一种简化方案固定,也可以几种简化方案联合使用。
2、宫腔镜下节育环锚定
文献报道无支架固定式IUD(吉妮环)通过线结将环锚定在宫底肌层,脱落率<1%(传统环约5%~10%)。北京朝阳医院将曼月乐与吉妮环结合放置,双重增强稳定性,用于子宫腺肌病等复杂病例。
费迎春认为放置吉妮环也有弊端,它放置器是直的,不能任意弯曲定型,即使用手掰弯,松手它还会弹回变直,而且顶端是管状截面,遇阻力不易通过。所以对于前后过度弯曲的子宫可能放置不到宫底,术后复查会出现节育环下移的现象(其实是放置不到位)。吉妮环取出也很困难,保留吉妮环尾丝没有意义,有术者在工作中牵拉尾丝取出吉妮环,90%以上取环失败,大多需要宫腔镜下异物钳取出。
宫腔镜取吉妮环图片




自制线结扣宫腔镜下锚定节育环,可以用不可吸收线做结,也可以用节育环尾丝做结,线结做成小球形或短棒形,拉紧拉实,直径约1mm。线圈绕数次拉紧线结呈逗点状,线圈绕10次以上拉紧线结呈小棒状,三重外科结拉紧线结近似球形,选择三重外科结为好,每个手术医生可能会有不同的打结方法。微型剪刀插入宫底肌层约0.5cm向不同方向撑开,形成口小底大的线结扣固定隧道,用异物钳将线结扣推入隧道内,隧道周围组织可用电针电凝收缩加强固定。弊端是做一个完美的线结扣比较困难,将线结扣推入隧道也比较困难,力度大小难以精准掌握和控制,是否固定牢固不好评估,可作为备用方案掌握。
自制线结扣示意图说明

3、宫腔镜下节育环挂钩固定
自制不锈钢挂钩,材料选择:麻醉包硬膜外导管内钢丝,较细较软,插入宫底肌层没问题,碰到宫颈组织容易弯曲。中医针灸钢针,更有韧性,是我们的主要选择。挂钩制作:1把剪刀、2把止血钳即可完成挂钩制作。剪切1.5cm~2cm钢丝可以做成1cm~1.2cm长挂钩。倒钩端短一点,约占挂钩全长的三分之一,倒钩尖端弯曲钢丝不夹拢,减少倒钩断裂机会。挂钩处钢丝留一小缝隙,不可以交叉,便于节育环固定线圈滑过挂钩挂上。挂钩消毒:碘伏浸泡消毒,或酒精燃烧灭菌。
挂钩制作材料图片

操作步骤描述:宫腔检查镜可完成操作,扩张宫颈至7号扩宫棒,检查镜能轻松通过,避免镜鞘与节育环纵臂在宫颈管形成卡压及筷子效应,影响操作,或卡压摩擦阻力大带出节育环。可用单级电针在宫底扎出小凹坑做标记或作为置入挂钩的隧道(不是必须的)。将挂钩用异物钳直视下送入宫腔,或用中弯钳盲视下送入宫腔,异物钳夹持挂钩将倒钩端插入宫底肌层,越过倒钩。用环尾丝或不可吸收线在节育环顶端打结,形成一个线圈,直径约0.5cm~1cm,结打在线圈旁边,便于夹持操作。将环装回推杆送入宫腔,再夹住节育环固定线圈抵紧宫壁稍旋转就可以将线圈滑进挂钩缺口,挂到挂钩上,可再次向宫底推送挂钩少许,不必夹闭挂钩缺口,重力作用和内膜生长都会阻止线圈脱出,可以用电针电凝挂钩周围组织,进一步防止挂钩脱落。异物钳原位固定节育环,退出宫腔镜,距宫颈外口0.5cm~1cm剪断剩余尾丝。宫颈扩张到9号扩宫棒,冷刀系统异物钳夹持挂钩及线圈也可完成以上操作。
单级电针标记挂钩位置


取胚术后丝线挂钩固定节育环图片及视频


子宫腺肌症内膜息肉切除后丝线挂钩固定曼月乐并电凝图片及视频


异常子宫出血内膜增生节育环尾丝挂钩固定曼月乐图片及视频




挂钩固定注意事项:月经干净3~7天手术,此时内膜最薄,利于挂钩固定到子宫肌层,如果内膜较厚,最好用负压吸引器去除内膜,暴露基底层,挂钩才能放置到位,也避免内膜掀起、出血等影响操作。挂钩尖端能轻松在子宫壁上粘附,然后调整钳的位置,将挂钩插入到宫底肌层。也可以在体外连接好挂钩和节育环,同时送入宫腔,异物钳在宫腔夹持挂钩并插入宫底肌层。术后复查B超节育环距宫底距离可能较大,个别达3cm左右,跟子宫大、宫壁厚、外加挂钩长度及线圈长度之和较大有关,保持这个距离不再延长即为手术成功。
三、小结
1、节育环设计之初就考虑了节育环固定问题,但其巧妙设计不足以保证所有病人的节育环在正常位置,节育环移位、脱落、带环受孕等仍时有发生。
2、宫腔镜下节育环固定方法探索踊跃,在网络平台上有较多医生展示视频,搜索相关文献,发表文章极少,估计3~5年后会有较多文章问世。
3、宫腔镜下节育环固定方法主要有缝合固定、线结扣锚定、联合吉妮环锚定等。传统缝合固定方法操作繁琐,线结扣锚定可靠性较差,联合吉妮环锚定增加了宫腔异物和病人费用。
4、三种简化缝合固定方案避免了推结操作,独创的挂钩固定方案同时避免了宫腔镜下缝合及推结操作,让宫腔镜下节育环固定变得更容易,适合基层医院推广。
5、根据病人具体情况及医生个人擅长选择合适的节育环固定方法,没有任何一种宫腔镜下节育环固定方法是全能的,有必要掌握多种固定方法,以备不时之需。
6、宫腔镜下节育环固定发展趋势应该是减少宫腔内操作,减小异物带入,缩短手术时间,提高手术成功率等。