一、概况
1、子宫输卵管造影诊断的原则
认识正常(及变异),发现异常;结合临床,综合分析。“认识正常,发现异常”就是要求我们应用输卵管解剖学、生理学、病理学的基础知识,判断是正常结构(或变异),还是病理影像,并通过影像特点解释其形态学病理意义。“结合临床,综合分析”就是将X线所见密切结合临床病史、症状、体征及其它各种检查结果,综合分析。
2、摄片时相:正常情况下摄4-6张片,随诊断需要可增加摄片。
(1)、第1张为盆腔平片:在注入造影剂前摄片;
(2)、第2张为子宫颈管和子宫相:在造影剂充满子宫颈管和子宫腔时摄片;
(3)、第3-5张为输卵管相:在输卵管全程充盈造影剂及造影剂溢出伞端至盆腔时摄片;
(4)、最后1张为弥散相:水性造影剂拔造影管后20分钟摄片,油性造影剂是24小时摄片。
3、输卵管分段

4、正常宫颈管及变异:子宫颈管的变异很大,子宫颈管的形状分为(a) 圆柱形、(b)漏斗形、(c) 球形、(d) 梨形、(e)纺锤形五型。
圆柱形宫颈

漏斗形宫颈

球形宫颈

梨形宫颈

纺锤形宫颈

宫颈管狭窄

宫颈管收缩带

宫颈管扩张变异

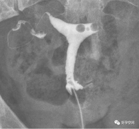
5、正常输卵管走行:正常的输卵管是从子宫角的尖端起,呈自然流线形,输卵管走行不固定,两侧输卵管不一定对称,输卵管活动度很大,走行分四型:(1)上行,和宫体连接呈缠绕状,在子宫底两侧弯弯曲曲上行,壶腹部远段和伞部向下屈曲。(2)反向走行,一侧上行,另一侧下行。(3)下行,和宫体连接呈缠绕状,在子宫两侧弯弯曲曲下行,壶腹部远段和伞部向上屈曲。(4)水平走行,在宫底水平向两侧呈伸展状。
双侧输卵管上行

双侧输卵管反向走行(一侧上行,对侧下行)

双侧输卵管下行

双侧输卵管水平走行

6、正常宫角:正常宫角有尖形、绞窄形、钝形和圆钝形四种形态。
尖形宫角

绞窄形宫角

钝形宫角

圆钝形宫角

7、输卵管功能评估
输卵管粘膜正常收缩

输卵管粘膜正常舒张

输卵管积水,输卵管柔软自然,粘膜清晰

输卵管积水,串珠样改变,功能丧失

输卵管积水,输卵管像风干的腊肠,粘膜近消失,功能丧失

输卵管阻塞,走行僵硬
,功能丧失

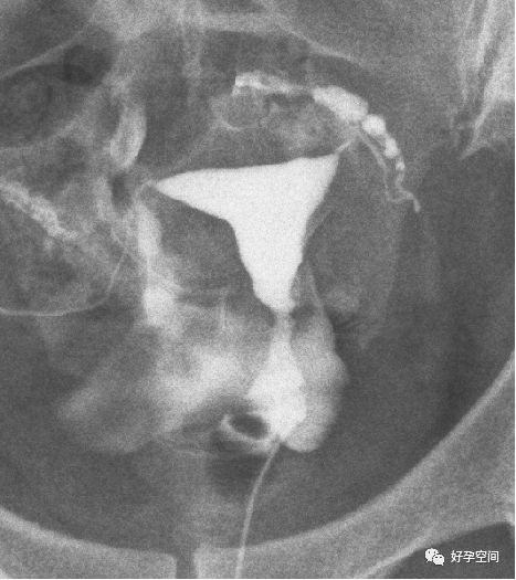
二、子宫输卵管造影正常
盆腔平片

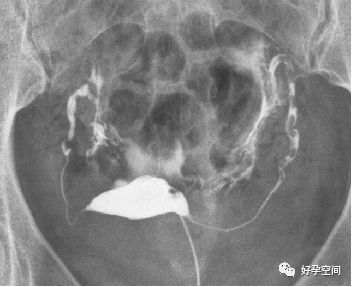
子宫相

输卵管相

弥散相,延迟5分钟摄片,双侧输卵管内可见较多造影剂

弥散相,延迟10分钟摄片,双侧输卵管内可见少量造影剂

弥散相,延迟20分钟摄片,双侧输卵管内基本没有造影剂残留

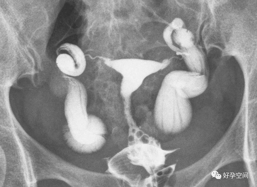
三、子宫输卵管造影通而不畅
1、轻度通而不畅



弥散相,延迟20分钟摄片,双侧输卵管内见较多造影剂残留影

2、中度通而不畅



右侧输卵管伞部粘连,左侧输卵管壶腹部扭曲


弥散相,双侧输卵管内见造影剂残留影,盆腔内片状造影剂聚集(提示盆腔粘连)

3、重度通而不畅




输卵管走行僵硬,形态固定,没有变化,伞端粘连,少许造影剂溢出

弥散相,双侧输卵管内见较多造影剂残留影

四、其他
1、盆腔粘连

弥散相,盆腔内片状造影剂聚集影

2、碘油残留
平片,盆腔内可见片状、点状及不规则形高密度影

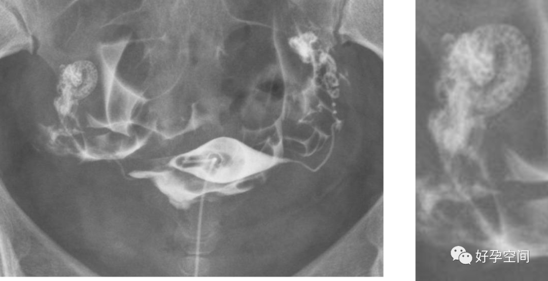
3、骨斑点症
骨盆诸骨均可见多发小圆形高密度影

4、骶髂关节炎
双侧骶髂关节周围骨质密度增高

5、盆腔陈旧性结核钙化灶
盆腔内见多个片状及点状高密度钙化影

6、子宫肌瘤钙化
盆腔内见类圆形蛋壳样高密度影

7、畸胎瘤钙化
盆腔内见牙齿状高密度钙化影

作者简介
冯长征,妇科生殖医学博士,放射科主任医师
张林,妇产科主任医师