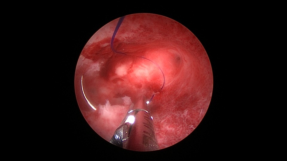
患者39岁,G6P1,顺产1次。2022年5月因输卵管间质部妊娠行宫腹腔镜手术(术前门诊医生诊断宫角妊娠),腹腔镜下行左侧输卵管间质部妊娠套扎开窗取胚术,术中见子宫腺肌症结节明显。2025年3月,严重痛经,皮下注射亮丙瑞林已3个周期,行经第6天,放置曼月乐并固定,拟行缝合固定,宫腔镜下缝合一针,牵拉确认缝合到肌层,推结时缝合处撕裂,拉出曼月乐,立即改为挂钩固定。先将不锈钢挂钩插入宫底肌层,4-0不可吸收线在曼月乐横臂中间套扎形成线圈,将曼月乐置入宫腔,异物钳夹持线圈挂到不锈钢挂钩里,原位固定曼月乐,退出宫腔镜,结束手术。2025年5月复查B超,节育环距宫底3cm,查看图片,线圈较大。节育环距宫底距离跟子宫大小、宫壁厚度、挂钩长度及线圈长度之和有关,保持这个距离不再延长即为手术成功。







