1、神奇的宫腔镜
宫腔镜将既往难以探索的宫腔内部通过自然腔道非常清晰地展示在我们面前,对妇科医生而言有着发现新大陆般的意义,“小宫腔,大世界”即是对其最完美的诠释。宫腔镜曾被认为是小众手术,以前很多医院不重视,医生也没有学习宫腔镜技术的积极性,普及缓慢。2016年7、8月份调查四川省259家区县级医院,开展宫腔镜106家,4家准备开展,普及率仅41%,现在80%以上的区县级医院都开展了宫腔镜手术。辅助生殖技术的广泛开展极大地推动了宫腔镜技术的普及和发展,医疗市场的困境和激烈竞争也把宫腔镜技术卷入了发展快车道。宫腔镜技术进入门槛低,几乎每个妇科医生都能说几句,但要做好就比较困难,安全问题让很多基层妇科医生对困难宫腔镜手术望而却步。阴式、开腹及腹腔镜手术几乎都是从器官外面(浆膜面)向内操作,而宫腔镜手术却是由子宫内向外操作,从粘膜面开始手术,处理病灶,突破浆膜层就已经穿孔了,是比较严重的并发症。

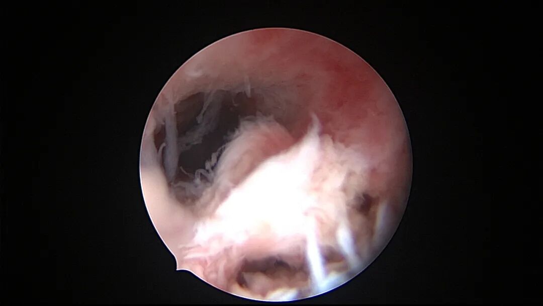
外院取环失败,子宫穿孔,盆腔积血






2、宫腔镜手术术前安全评估
为了宫腔镜手术平稳顺利进行,宫腔镜术前准备及安全评估非常重要,尤其是充分的安全评估能有效减少并发症的发生。阴道情况:萎缩、纵膈、斜膈等可能导致扩阴器置入困难。肥胖病人、高个子病人阴道很深,宫颈可能难以暴露;宫颈情况:绝经后病人宫颈萎缩、狭窄、坚硬,加之穹隆展平,宫颈难以夹持、难以扩张;宫颈管弯曲、宫颈肌瘤、巨大息肉、粘膜皱襞隐窝、巨大纳囊等,可能阻挡宫腔镜进入宫腔;子宫情况:子宫萎缩,宫腔狭小,子宫极度前屈、后屈、侧屈等极端位置常常导致宫腔镜置入困难;既往盆腔手术史:子宫与盆腔器官粘连可能导致子宫极端位置,或者宫深超出预期。近期手术情况:外院取环失败、人流不全、宫腔探查或试图分粘中途放弃等病人,子宫可能存在假道、穿孔或盆腔积血等损伤。这类病人评估重点:前次手术医院级别、既往分娩情况、安环多少年、月经情况、闭经或绝经时间、手术日期、手术时间长短、是否麻醉、术后有无腹痛、有无阴道出血、B超情况、腹部平片、血糖血压等。宫腔镜术前需再次复查B超,手术医生到B超室了解子宫位置、大小、有无损伤、节育环种类及位置、是否嵌顿、盆腔有无积液等细节。
6例外院取环失败,子宫假道






3、宫腔镜手术设备设施准备
宫腔镜器械繁多:检查镜(分体式及一体镜)、操作镜、一次性宫腔镜等;单极、双极、冷刀、切割刀、电针、其他能量来源等;电切、电凝、混切、汽化、旋切等。膨宫泵参数包括压力、流速、流量等设置及膨宫泵位置高度设置,膨宫越好,对内膜损伤越小,膨宫压力根据病灶大小、视野清晰度、手术时间长短、麻醉方式、术者手术熟练程度及病人术中监测情况灵活设置,不是一成不变的,膨宫泵高度平手术床高度为好。尽量选择接近于等渗的膨宫介质:甘露醇、生理盐水、5%葡萄糖水等。冷光源亮度调节:宫腔出血、妊娠子宫脱膜、胚物残留等暗背景吸光,需调亮光源。术前虽然会对各种影响因素有所思考和选择,但涉及因素太多,总有想不到的时候,正是各种要素的奇妙组合和偶遇,让宫腔镜手术既有趣,又捉摸不定,就像开盲盒,有惊喜,个别时候也会有惊吓。宫腔镜器械需保持完好,器械损坏带“病”坚持使用影响手术进度,比如一个小配件的丢失导致镜子无法卡紧,手术过程中术者反复调节旋钮,难以专注于手术,存在安全风险。
宫腔镜损坏:第一张图片上面的外鞘掉了一个卡紧销子,第二张图片内鞘多处压痕,第三张图片镜子断裂




4、宫腔镜手术难度评估
大多数宫腔镜检查或小手术比较简单,属1~2级手术。直径大于2.5cmⅡ型及以上分型粘膜下肌瘤、胚物残留血供丰富或合并动静脉瘘、胎盘粘连胎盘植入、重度宫腔粘连、绝经时间长生殖器官明显萎缩病人(节育环嵌顿、粘膜下肌瘤、息肉等)、子宫极度前屈后屈侧屈等病例,属3~4级手术,手术可能很困难,手术时间较长,容易出现并发症。宫腔镜手术彻底性跟手术难度及手术效果密切相关,宫腔镜手术不彻底常见,比如节育环残留、胚物残留、纵膈残留、粘连残留等,可能引起感染或医疗纠纷。宫腔镜手术过度少见,纵膈切除过度、分粘过度、内膜切除过度易引起出血及穿孔,熟悉子宫局部解剖、B超或腹腔镜监护可避免或减少手术过度。宫腔镜手术失败罕见(资深医生常能找到解决办法):宫颈无法扩张致手术失败、膨宫不良致手术失败或手术不彻底、术中无法找到节育环放弃手术等偶有发生,需与患者及家属充分沟通,择期再做手术,不要在一条道上走到黑。
外院取环失败,宫颈暴露困难,缝合牵拉宫颈,尖刀片切开宫颈前唇,扩宫棒顺利扩开宫颈


5、宫腔镜手术并发症评估
宫腔操作假道发生率较高,穿孔发生率较低,假道和穿孔原因一致,力度大了就穿孔了。假道或穿孔大多发生在门诊取环、人流、清宫等病例,尤其是绝经后取环占比最多。子宫位置特殊、宫颈管狭窄,探针探查、扩宫或取环钩操作时形成假道或穿孔,立即停止操作,经评估后做宫腔镜处理。宫腔操作动作要轻柔,注意子宫收缩节律,不要在子宫收缩时突然进入宫腔。穿孔可能损伤宫底或宫腔前后壁血管,缓慢持续出血导致盆腔积血。穿孔后是否探查盆腔、修补子宫需详细评估病情:血常规、B超、腹部刺激症状、失血体征、后穹隆穿刺等,大多数穿孔不需要手术探查。宫腔镜术中出现难以控制的出血大多发生于靠近子宫动静脉的粘膜下肌瘤、侧壁宫腔粘连、胚物残留合并动静脉瘘及子宫纵膈手术等,直视下电凝止血是最佳办法,球囊压迫止血影响因素太多,包括出血部位、动静脉区别、血管大小、子宫收缩情况、球囊大小、牵拉球囊力度等,效果一言难尽,尽量不采用。腹腔镜下缝合子宫壁、经阴道宫颈侧壁缝合(都不一定能缝到出血血管)、艾丽斯钳钳夹宫颈等方法可压迫止血或明显减少出血。手术越熟练、缩短手术时间、快速完成手术,手术越安全,避免严重水中毒发生。甘露醇或5%葡萄糖膨宫,手术每隔20~30分钟,建议速尿(半衰期为30~60分钟)半支静推;生理盐水膨宫,手术时间持续30~45分钟,速尿半支静推,总时间最好控制在60分钟以内,不要超过90分钟,必要时分次手术。速尿具体使用量及间隔时间根据膨宫介质、膨宫压力、手术难易及时间长短、创面及血管暴露情况、病人生命体征、麻醉情况等决定。
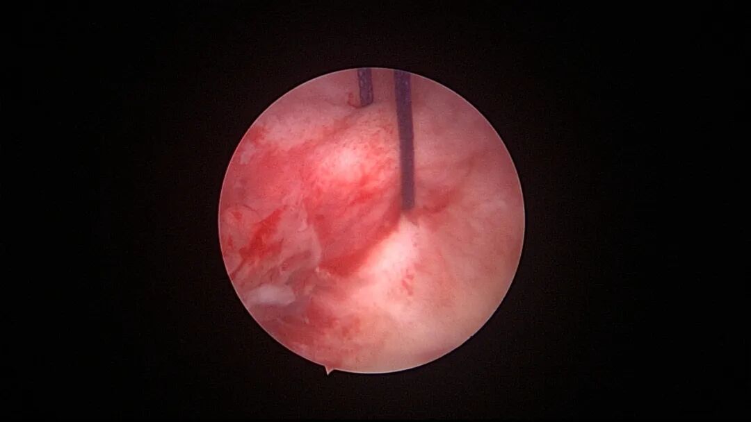
外院取环失败,子宫从切口憩室处穿孔



6、减少内膜损伤及输卵管开口周围损伤
个体化选择手术器械,减少内膜损伤及内膜丢失:冷刀优于能量器械,双极优于单级,电针优于电切环。能量器械设置最低有效能量,少用电凝。尽量避免探查宫深及扩宫操作,宫腔镜直视下进入宫腔,必要时采用阴道内镜方式进入,保持宫颈管及宫腔原始状态显露在宫腔镜下,不破坏病灶,便于准确诊断,精准手术。非要扩宫时,选择尖头扩宫棒,方便操作。宫颈外口狭窄或封闭时,可用尖刀片切开宫颈外口,必要时缝合牵拉宫颈再做切开,切口术后可不缝合。输卵管开口是精子和胚胎运行的重要关口,形态多样,开口周围颜色比内膜颜色浅(未被损伤的输卵管开口美兰不着色),粘膜平滑而薄,呈放射状。宫腔镜手术不要损伤输卵管开口,开口周围息肉、粘连等病变可以用微型剪、异物钳或电针处理,尽量不用电切环。宫腔镜微创理念牢记心中:手术要有助于生殖、有助于恢复月经、有助于减少粘连复发。术中保存完整手术资料,除了拍照,必要时开启摄像功能,录制手术视频,利于术后复盘手术过程,作为分析、学习、讨论、反思、提高等资料备用。
扩宫选择尖头扩宫棒


外院取环失败,宫颈外口封闭,尖刀片切开宫颈


电切环分粘塑形可能会导致内膜丢失过多



尽量保护输卵管开口周围内膜不受损伤,术中仅显露出左侧输卵管开口。该患者术后自然妊娠,34+周剖宫产分娩



