宫腔镜下节育器固定病例7

张林医生 发布于2026-01-24 09:05 阅读量188

本文由眉山蕴缨妇产医院 张林原创

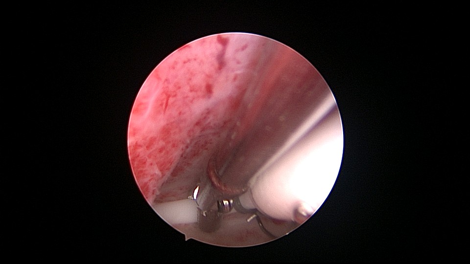
患者53岁,G3P1,顺产1次(产后大出血)。1年前因盆腔器官脱垂行阴道前后壁修补手术,同时行宫腔镜息肉切除手术,病检为增生反应子宫内膜伴出血。2025年2月,绝经2年,阴道出血半天,行宫腔镜检查及诊刮,放置曼月乐并固定,用曼月乐尾丝连接环与不锈钢挂钩,将挂钩插入宫底肌层固定,异物钳原位固定曼月乐,退出宫腔镜,结束手术。2025年4月复查B超曼月乐位置正常,环顶端距宫底1.1cm。病检为子宫内膜增生,不伴非典型增生。


图片发自160App


图片发自160App


图片发自160App


图片发自160App


图片发自160App


图片发自160App
相关疾病: