宫腔镜下节育器固定病例6

张林医生 发布于2026-01-23 18:39 阅读量168

本文由眉山蕴缨妇产医院 张林原创

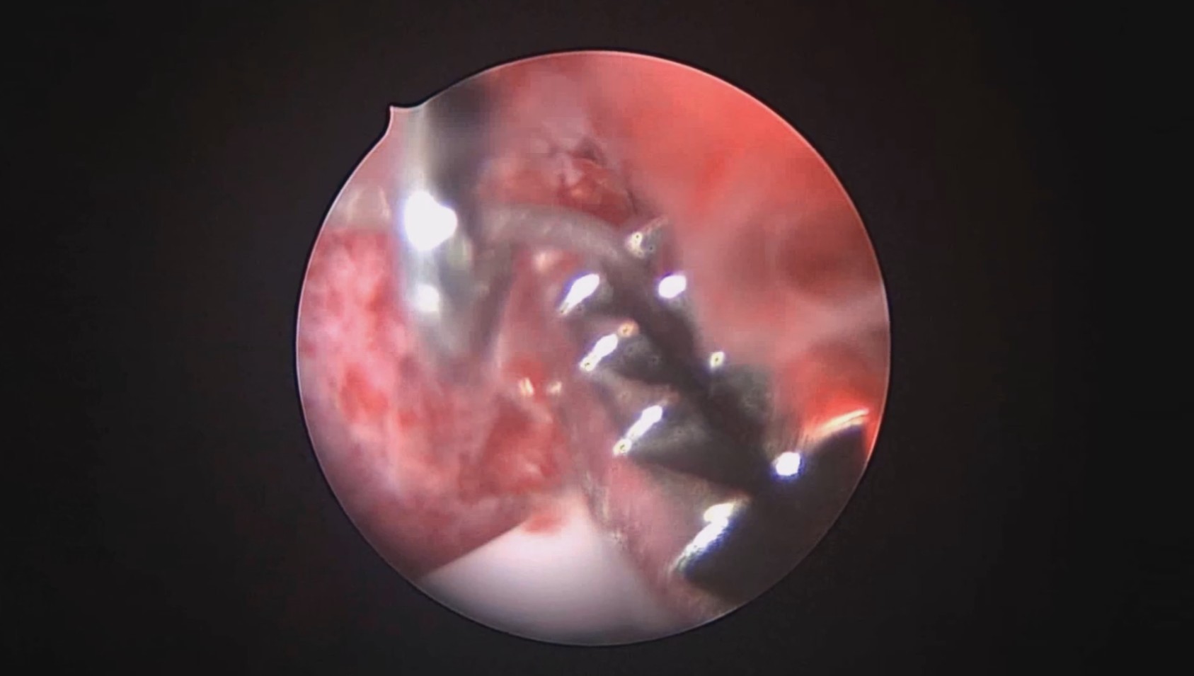
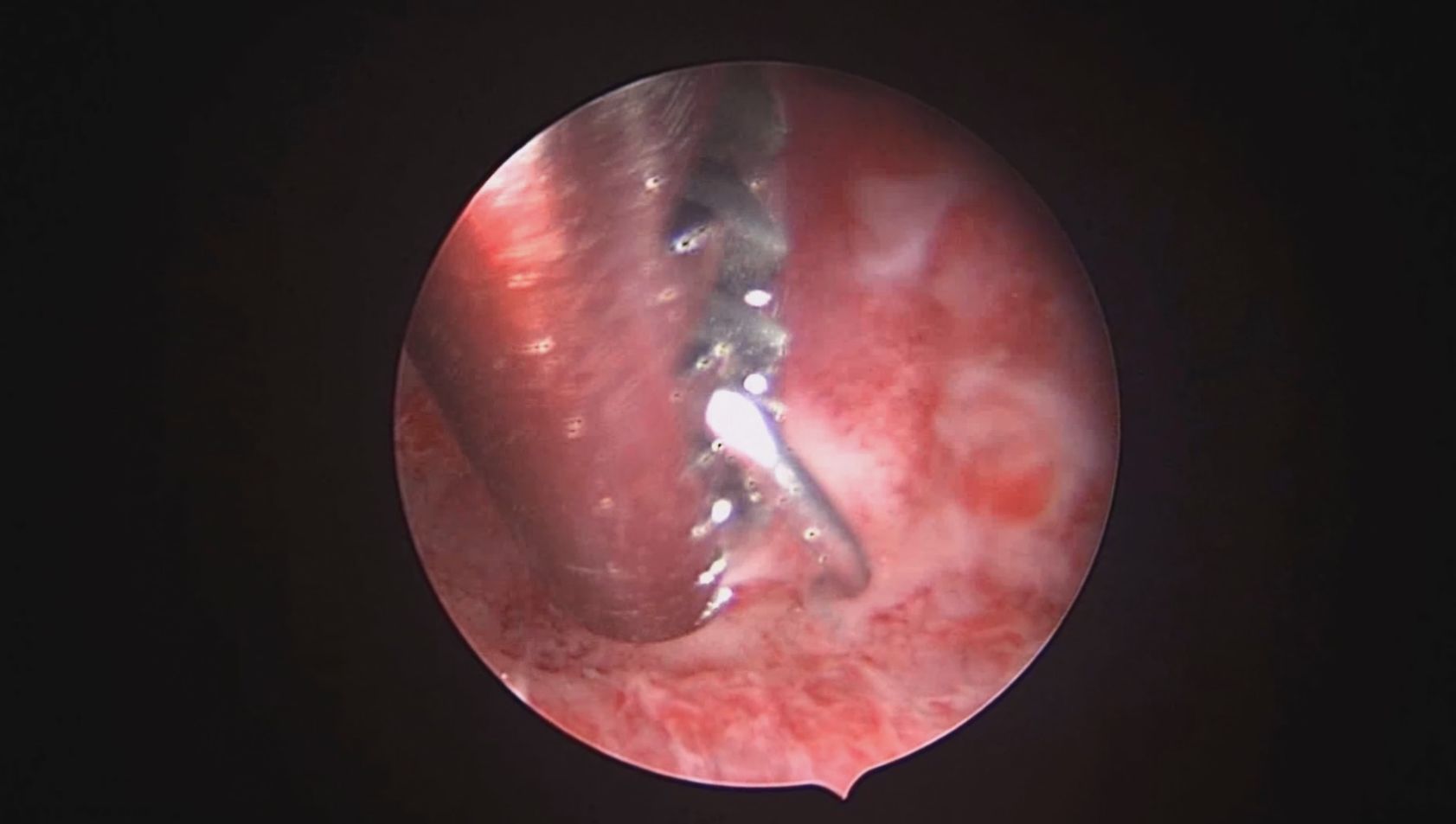
患者41岁,G4P2,顺产2次。因异常子宫出血于2023年12月在外院行宫腔镜检查,取内膜病检为增生晚期及分泌早期宫内膜组织,另见宫内膜息肉,术后药物治疗效果不佳,月经周期不规律。本次阴道不规则流血10+天,量多就诊。宫腔镜下尝试线结扣宫底锚定曼月乐,将结推人宫底肌层很困难,最后采用不锈钢挂钩固定。用曼月乐尾丝连接环与不锈钢挂钩,将挂钩插入宫底肌层,异物钳原位固定曼月乐,退出宫腔镜,结束手术。术后患者未回院复查节育环位置。


图片发自160App


图片发自160App


图片发自160App


图片发自160App


图片发自160App


图片发自160App
相关疾病: