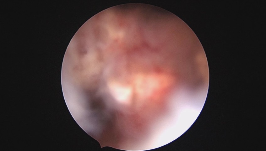
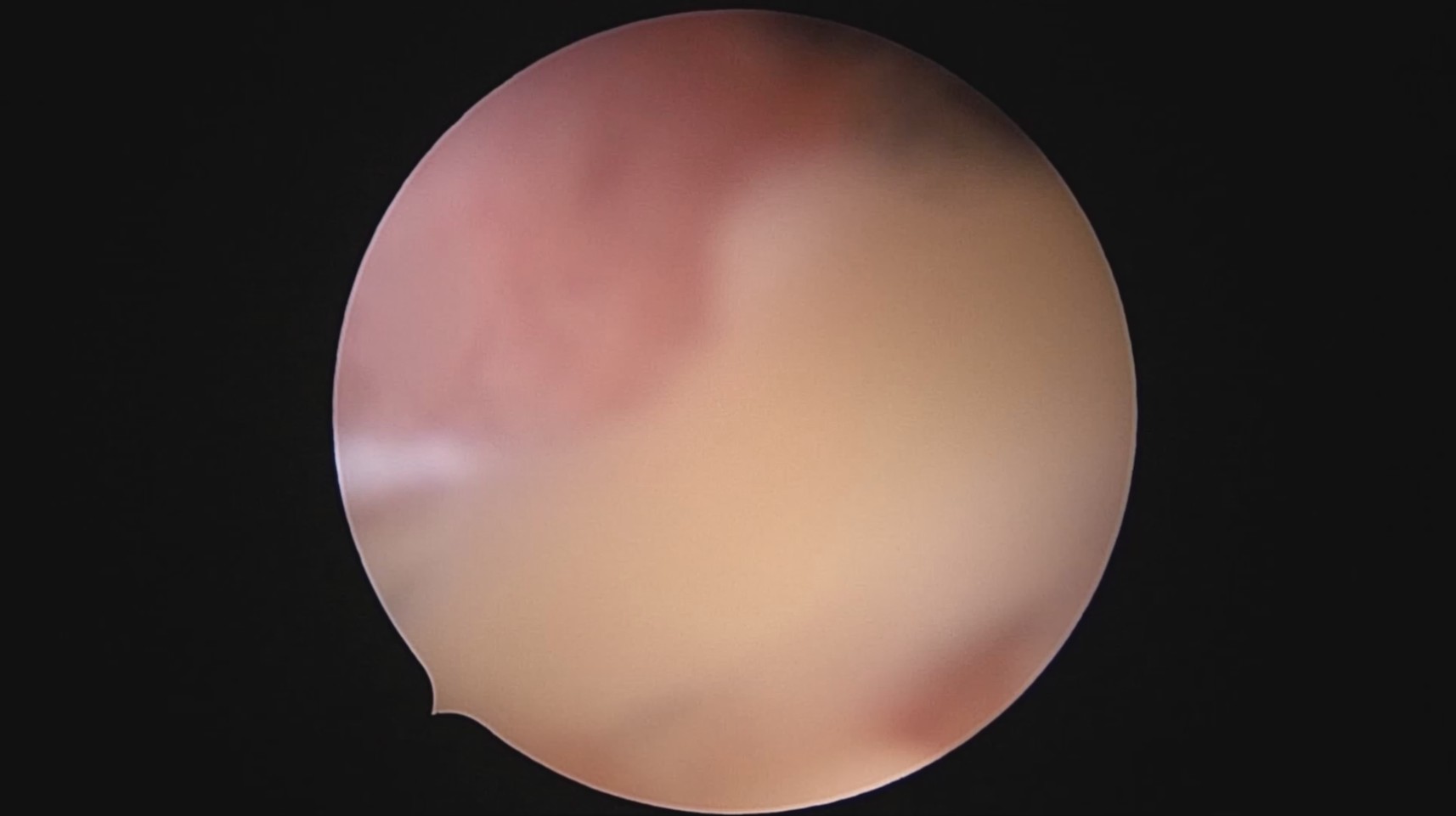
患者28岁,G7P3,顺产3次,完全纵膈子宫,单宫颈。2015年、2018年顺产,2019年左侧宫腔计划外妊娠行宫腔镜取胚及左侧宫腔放置γ环(推测既往妊娠左侧宫腔妊娠可能性大)。2023年4月带环受孕(应该为右侧宫腔妊娠),2023年12月足月阴道分娩,分娩时试图取出左侧宫腔内节育器,因操作困难,取环失败。2024年2月顺产后67天,要求取出宫内节育器,左手臂放置皮埋避孕棒。B超提示环距宫底1.1cm,环两翼分别距子宫前壁浆膜面0.4cm,距子宫后壁浆膜面0.3cm。宫腔镜术中膨宫困难,见宫颈管及宫腔少许淡黄色脓液流出,γ环逆时针旋转约80度,两臂指向左侧宫腔前后壁(2019年放置环时亦如此,因单侧宫腔前后径大于横径所致)。异物钳取出节育环,左右侧宫腔均见散在黄色机化组织,未取病检。







