绝经后宫腔积脓取环病例10

张林医生 发布于2026-01-20 08:38 阅读量136

本文由眉山蕴缨妇产医院 张林原创

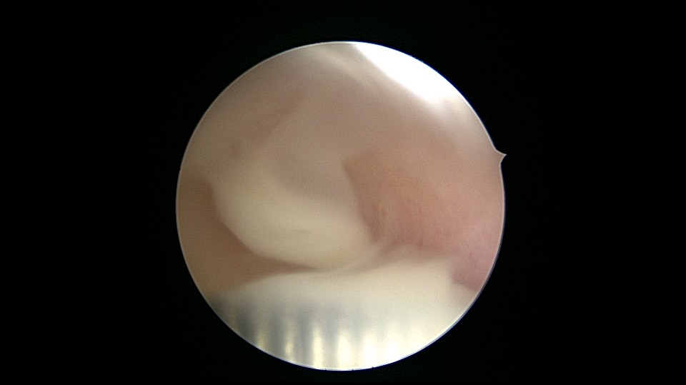
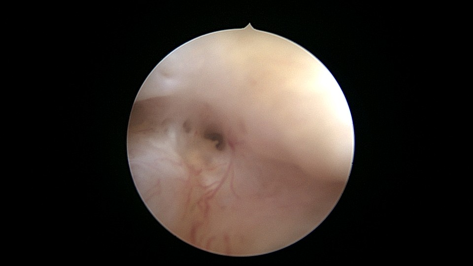
患者55岁,G5P1,顺产1次。安环20年,绝经8年。子宫后位,外阴、阴道及宫颈萎缩,宫深6.5cm,宫颈内口封闭粘连,镜鞘推开粘连,见灰白色脓液,O型环位置正常,异物钳顺利取出节育环,膨宫液冲洗脓液,宫腔无其他异常。


图片发自160App


图片发自160App


图片发自160App


图片发自160App


图片发自160App


图片发自160App
相关疾病: