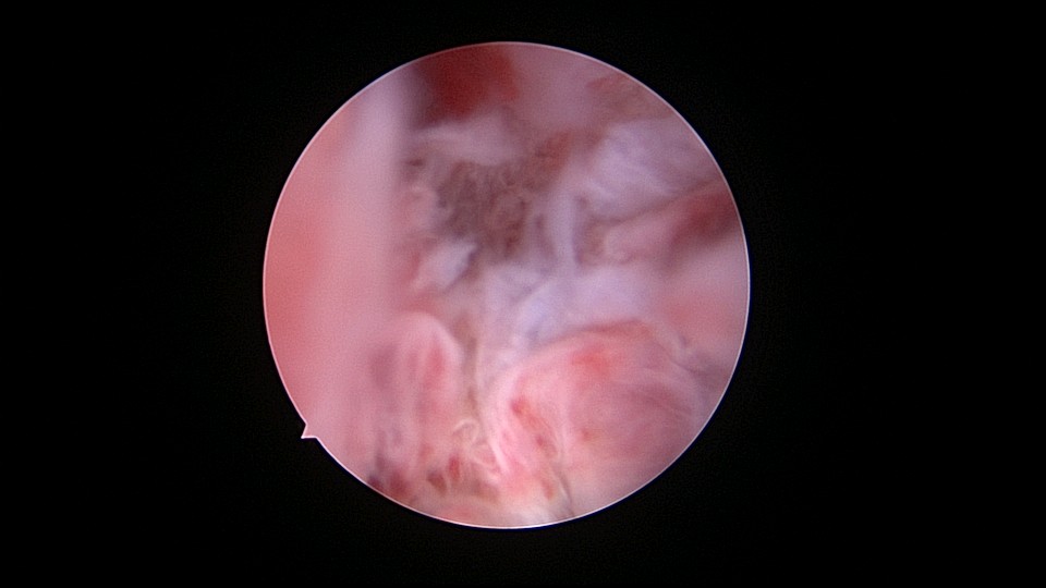
患者69岁,G2P1,顺产1次。产后曾安环1次,后自然脱落,再次安环距今40年,绝经20+年。外院取环失败(没有进入宫腔)。B超子宫后位,宫内O型环距宫底0.3cm,宫腔积液(按以往经验,考虑宫腔积脓),另见宫内稍强回声1.1cm*0.8cm。子宫极度后倾后屈位,宫颈管狭小坚硬,扩张困难,宫腔镜难以进入。宫腔镜直视下充盈膀胱,B超监护下异物钳指示宫腔方向,宫腔镜艰难进入宫腔,见灰白色脓液涌出,O型环位置正常,宫腔后壁占位包块位于节育环圈内,约1.5cm*1.5cm*1cm,异物钳顺利取出节育环。单极电针切除占位包块,但包块直径大于宫颈内口直径,异物钳多次尝试取出,均失败,不得已用单极电针切开宫颈内口左侧狭窄处,异物钳缓慢牵拉取出标本,膨宫液冲洗宫腔脓液,宫腔无其他异常。包块病检为内膜息肉。








