绝经后宫腔积脓取环病例6

张林医生 发布于2026-01-19 08:54 阅读量171

本文由眉山蕴缨妇产医院 张林原创

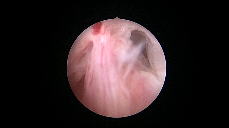
患者55岁,G1P1,顺产1次。安环31年,绝经3年,妇科检查发现宫颈外口息肉,B超宫腔未见分离暗区。子宫前位,宫腔镜见宫颈管下段多发息肉,宫颈内口粘连,宫腔少许淡黄色脓液流出,宫型环位置正常,被镜鞘推挤变形。助手单极电针切除宫颈管息肉时进针过深,引起较多出血,视野不清楚,接手手术,先止血、切除息肉,然后异物钳取出节育环,宫腔无其他异常。病检为宫颈管息肉。


图片发自160App


图片发自160App


图片发自160App


图片发自160App


图片发自160App


图片发自160App


图片发自160App


图片发自160App


图片发自160App
相关疾病: