绝经后宫腔积脓取环病例5
张林医生
发布于2026-01-18 10:01
阅读量60
眉山蕴缨妇产医院
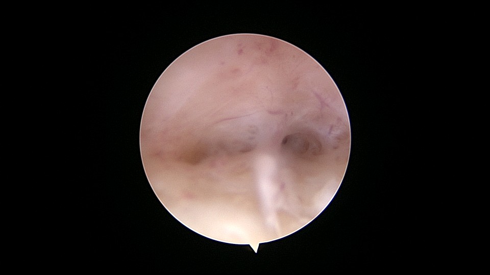
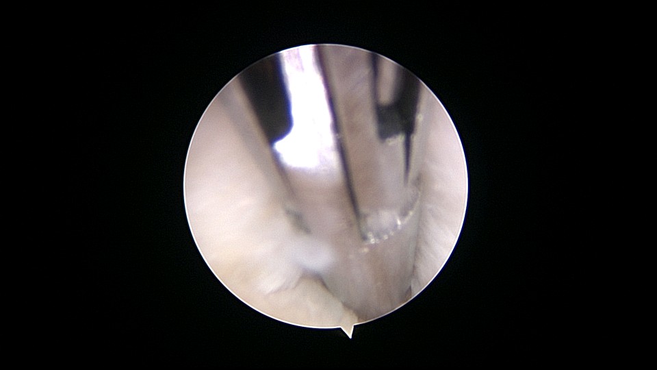
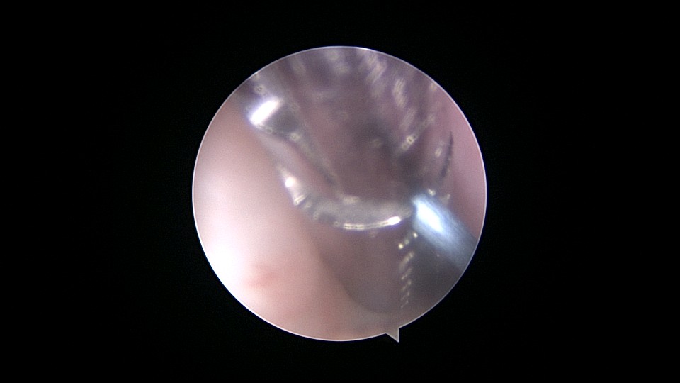
患者56岁,G3P1,顺产1次。安环17年,绝经4年,外院取环失败。术前复查B超子宫前位,宫腔2cm×1.5cm暗区,与节育环重叠。宫腔镜见宫颈管及宫颈内口封闭粘连,宫腔内乳白色脓液漂浮,爱母环两臂嵌顿于两侧宫角,异物钳顺利取出节育环,膨宫液冲洗脓液,宫腔无其他异常。

图片发自160App

图片发自160App

图片发自160App

图片发自160App

图片发自160App

图片发自160App

图片发自160App

图片发自160App