绝经后宫腔积脓取环病例4
张林医生
发布于2026-01-18 09:46
阅读量82
眉山蕴缨妇产医院
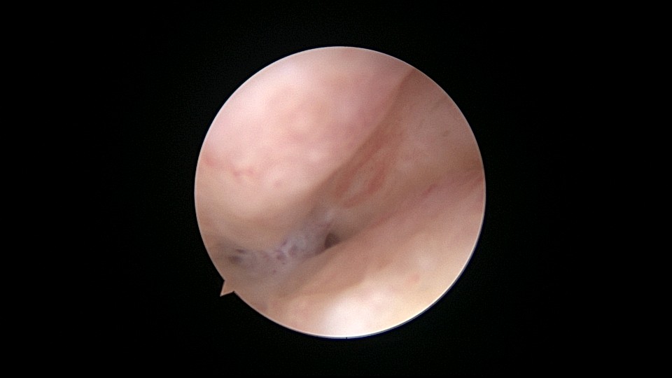
患者66岁,G3P2,顺产2次。安环34年,绝经19年,下腹坠胀不适1个月,B超子宫前位,O型环顶端距宫底0.8cm,宫腔未见暗区。宫腔镜见宫颈管封闭粘连,镜鞘推开粘连带,进入宫腔,见灰黄色稠厚脓液,宫腔后壁附着较厚脓苔,O型环位置正常,异物钳顺利取出,膨宫液冲洗脓液,宫腔无其他异常。

图片发自160App

图片发自160App

图片发自160App

图片发自160App

图片发自160App

图片发自160App

图片发自160App

图片发自160App