内镜手术就是通过精密设备和微小通路将人眼视觉、人手操作和冷光源导入到身体里的“黑屋子”,然后对“黑屋子”进行探索和改造的过程。内镜的发展史已有200多年,最初起源于检视生殖系统,采用自然光源观察阴道宫腔。1807年,Bozzini发明日光源宫腔镜,1869年,Pantaleoni做了第一例人体宫腔镜检查,以后逐渐发展出照明系统、膨宫及灌流系统、电视成像系统、动力系统等标准宫腔镜设备。现在内镜分类很细,全身绝大多数器官、关节都可以通过专科内镜进行检查和手术,细致的内镜分类增加了医院购买设备和病人就诊不便的双重成本,其实生殖外科和泌尿科的内镜设备往往可以灵活互用。十多年前,我们就用男性尿道狭窄切割刀对宫腔进行冷切分粘,同时也应急使用宫腔镜处理泌尿科问题,现分享几个病例如下(病人年龄为手术时年龄):
病例1:23岁,人流术后闭经半年,宫腔镜安装尿道切开钩形刀行宫腔冷切分粘,术后自然妊娠,足月分娩。


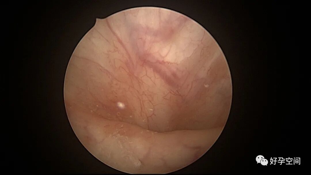
病例2:27岁,剖宫产后留置尿管球囊自发破裂尿潴留,宫腔镜探查膀胱,微型异物钳取出残留膀胱里的橡皮片。


病例3:(病人年龄及取卵个数不详)取卵术后血尿膀胱内血块尿潴留,膀胱灌洗效果不佳,宫腔镜探查膀胱,清除血块,膀胱多处穿刺伤,电凝止血。


病例4:32岁,取卵13枚,取卵术后血尿膀胱内血块尿潴留,膀胱灌洗效果不佳,宫腔镜探查膀胱,清除血块,膀胱底见穿刺伤,电凝止血。



病例5:48岁,开腹子宫全切术后膀胱阴道瘘,阴式膀胱阴道瘘修补,宫腔镜探查阴道穹窿、探查膀胱、输尿管置管。




病例6:67岁,绝经后阴道出血,宫腔镜检查未见异常,尿道外口肉阜,宫腔镜探查尿道及膀胱,未见异常,切除肉阜。




病例7:71岁,绝经后阴道出血,宫腔镜检查未见异常,尿道外口肉阜,宫腔镜探查尿道及膀胱,未见异常,切除肉阜。




应用8:经腹部B超监护做宫腔镜手术时,需充盈膀胱,宫腔镜直视下可快速充盈膀胱,流量每分钟300ml,1.5分钟即可注入450ml,同时可观察膀胱各壁展平程度,比尿管加注射器或吊瓶充盈膀胱优势明显。上面病例中已有图片展示,不再额外添加图片。