
引起口腔黏膜糜烂的常见原因
No.1 误食洗涤剂等有腐蚀性的物质
例如洗涤剂含有硫酸盐、磷酸盐、表面活性剂等,具有强碱性,液体流经途径对口腔黏膜及胃肠道黏膜有化学性烧伤作用,出现红肿、糜烂溃疡,吞咽困难;此外,严重的“误食”还可能造成消化系统、呼吸系统、肝肾功能等多脏器损伤。
No.2进食过烫过硬等食物
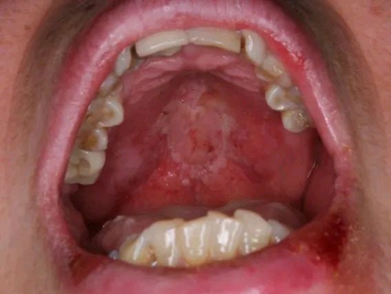
可致口腔黏膜形成血疱,血疱破溃后可形成口腔糜烂。进食火锅类食物引起软腭不规则糜烂面

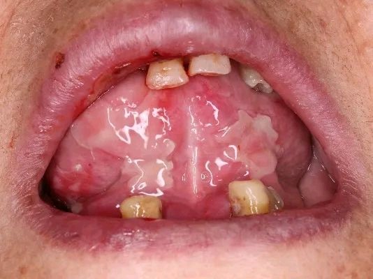
可致口腔黏膜出现大面积糜烂面。加班熬夜后单纯疱疹病毒感染所致的疱疹性口炎

可通过口服、注射、吸入、敷贴或局部涂搽、含漱等途径进入过敏体质者机体内引起的口腔黏膜超敏反应性,可致口腔黏膜出现大面积糜烂,严重者可伴有皮损、眼部、生殖器等病损。常见的药物有解热镇痛药(如阿司匹林)、抗生素类药物(如青霉素)、中成药(如牛黄解毒片)等。因牙痛服药过敏后口腔黏膜出现大面积糜烂

天疱疮、类天疱疮等大疱性自身免疫性疾病,会导致口腔黏膜出现大面积糜烂,严重者也会伴有眼部、面部、头部、背部、外阴、肛周等部位损害。

Part 3各类口腔糜烂如何治疗
对于口腔糜烂的治疗,尤其是病程大于半个月,累及范围较大的病损,治疗重点是尽量寻找可能的诱因及病因,消炎、止痛、促进糜烂愈合、防止继发感染。
① 口腔糜烂出现轻微疼痛,范围较局限者,请勿太过焦虑担心,一般7-10天可自行缓解;若短期内不能自行缓解,应以局部用药为主,可适当选用市面上常见的复方氯己定含漱液、西瓜霜、康复新液、锡类散等;老年患者、消化吸收功能差者,可适量补充B族维生素;若2-4周还不能改善者,则应及时咨询求诊,排查可能的病因,以便针对性治疗。
② 出现口腔黏膜糜烂,短期不能愈合者,应留意糜烂前是否有进食过烫、过硬的食物,亦或感冒发烧、加班熬夜致抵抗力下降等情况,是否有因身体不适服药史,糜烂处是否有起疱,是否伴有其它部位病损(比如眼部、全身各部位皮肤)等,可在就诊时提供给医生。
③ 对于因“误食”所导致的口腔黏膜糜烂,不要自行催吐,以免液体误入肺部造成进一步的并发症;避免大剂量喝水以求稀释中和,会诱发呕吐、促进液体吸收等引起并发症。可服用牛奶、蛋清等中和,减少损伤;保持镇静,即刻联系急救中心获得专业救助,尽可能详细告知医务人员所服液体的种类、所服剂量以及服用的时间和经过。
Part 4如何预防口腔糜烂的发生
口腔糜烂也重在预防,尤其对于过敏体质者,切勿乱用药,特别是消炎药以及一些不明成分的中成药;若怀疑是药物所引起的,应及时停用可能的药物。其次,要加强对洗涤剂等危险物品的管理,可放置在高处或固定位置,并使用安全包装,避免将散装的洗涤剂装入废弃的饮料瓶、塑料袋中,可在洗涤剂的外包装上做好标签。此外,要避免过于粗糙、烫食物对口腔黏膜的不良刺激。另外,也需注意保持好口腔卫生及乐观的精神心理状态,注意作息规律,保证睡眠质量,避免过度劳累,提高免疫力。
Part 5关注老年人特殊群体
之所以特地列出老年群体,是因为浙大二院口腔内科的医生们关注到:老年人口腔问题不仅是家常便饭,而且因“误食”洗涤剂等特殊原因造成的口腔糜烂很多见。然而,他们往往因为各种原因耽误治疗(例如功残疾、阿尔茨海默病、经济压力、缺乏陪伴和沟通等),对疾病认知也格外薄弱,需要社会给予更多关注。

老年患者口腔健康问题主要包括:蛀牙、牙周病、牙髓病、牙齿缺少、各类口腔黏膜疾病、颌面部急慢性感染、良恶性肿瘤等。老年人口腔疾病患病率高,发展速度快、自我修复能力弱,预防老年人口腔疾病的发生、早期治疗对于老年人的身心健康至关重要。我们也希望子女和社会各界能提升对老年人身心健康的关注,让他们有更健康美好的生活。