走投无路50岁王哥“扛不住”了
“有了这次经历,以后别那么拼了,照顾好自己!”在病房,王主任一边给做完手术不久的王哥(化名)检查恢复状况,一边跟他说。
王哥,今年50岁,从年轻时一直走南闯北做生意,扛起了一个家庭的重任。 然而大约半年前,王哥右肩莫名肿起来,摸上去软软的,虽然不痛,但是右手臂有些麻木的感觉。王哥想着估计是劳累多年肩膀肿了,买了几副膏药贴贴,便没在意。然而随着时间过去,右肩肿得越来越大,手臂手指发麻的情况也越来越严重,甚至无法握住吃饭的筷子,于是他来到当地医院。

绝望之际,王哥抱着最后一丝希望找到了王主任医师。
面对愁眉苦脸的王哥,了解过他的寻医经历并看过各项检查单后,王主任医师意识到这确实是一块“硬骨头”。
手术风险大在哪里?
一方面,王哥右肩这个肿瘤包裹从腋窝通往右上肢的血管、神经,稍有不慎就可能造成术中大出血或是伤到神经,那整个右手臂就面临瘫痪甚至坏死的风险;
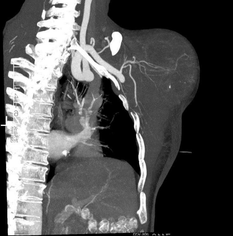
另一方面,手术前需要更清晰的影像资料来制定手术方案,但王哥每次做磁共振等检查时,都会不由自主地浑身发抖(心理障碍导致),没有办法完成磁共振检查,影像学上根本无法清晰呈现他目前整个右肩关节肿瘤的情况。同时,肿瘤也破坏了肩胛骨的关节盂,侵犯了肱骨近端周围的所有肌腱韧带,就算切除了肿瘤,如何重建一个稳定的肩关节,也是很大的困难。
虽然难度大,但手术不得不做。因为目前虽然不能明确王哥右肩肿瘤的性质,但即使是良性,肿瘤也在不断长大,而且对神经压迫严重,再下去王哥右臂和右手就“废”了。
“我真的没办法了,我跑遍医院了。”年轻时再吃苦都没流过泪的王哥,想到自己才50岁就可能得了“不治之症”,泪如雨下。 “你别着急,我们一起想办法。”

放射科刘主任带领放射科团队凭借丰富的经验,为王哥尽可能拍到了部分清晰的磁共振影像,为精准制定手术方案奠定了基础。随后,骨科、血管外科、放射科专家团队联合为王哥进行了手术。先堵住那些给肿瘤“输血”的血管,降低术中大出血风险;在肿瘤包裹的最主要动脉血管里植入支架,放置阻断球囊,防止发生大出血,对右手臂的主要动脉进行保护;再剥离、完整切除这个排球大小的肿瘤。 由于肿瘤侵犯了肩关节囊的所有肌肉肩袖组织,王主任将肱骨连同周围的肿瘤组织完整切除,然后用反肩人工假体对王哥的肩关节进行了重建。同时手术室、麻醉科、输血科也对手术的安全顺利完成进行了全力保障。
手术后第二天,王哥右手臂麻木无力的感觉就明显改善,而且肿胀也明显消退。后续他恢复较好,顺利出院!