【基本信息】女,43岁
【发病原因】病因不明
【临床诊断】胃癌、胃结肠瘘、贫血、低蛋白血症
【治疗方案】姑息性远端胃大部切除术、横结肠部分切除术(近端造口,远端封闭)、胃空肠吻合(Roux- -en-Y)、空肠-十二指肠侧侧吻合术
【治疗结果】病情平稳
【病案重点】
姑息性远端胃大部切除术、横结肠部分切除术(近端造口,远端封闭)、胃空肠吻合(Roux- -en-Y)、空肠-十二指肠侧侧吻合术
主诉:间断腹不适1年,加重伴呕吐、腹泻1个月
现病史:自诉1年前无明显诱因出现上腹部疼痛,为间歇性隐痛,无明显放射性疼痛,疼痛尚可耐受,故一直未予特殊治疗,未到医院检查过,半月前开始出现出现恶心、呕吐,呕吐物为棕黑色浑浊样液体,伴粪臭味;同时开始出现腹泻,约4~ 5次/日,最多达20次/日,性状与呕吐物类似,偶有排出未消化食物,为求治疗遂来我院就诊,近半年来体重下降约10 kg。
既往史:无特殊病史
查体
T:36℃,P:70次/分,R:20次/分,BP:120/70mmHg。慢性消耗病容,贫血貌,心肺查体未见异常。腹平,全腹软,未触及异常包块。上腹部深压痛阳性,无肌紧张、反跳痛,余腹无压痛。肠鸣音4次/分,振水音阴性。
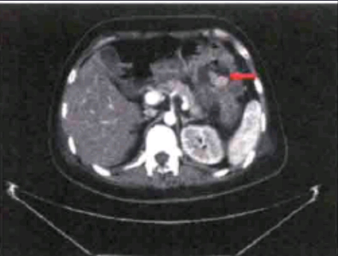
辅助检查:腹部增强CT示:左上腹腔内结构紊乱,可见团状含气软组织密度影,增强后呈不均匀强化,边界不清,局部与胃体部分界不清, 似与横结肠及降结肠相通,病灶周围可见游离的气体影,相邻脂肪间隙模糊(图箭头所示为疑似的胃结肠瘘)。


初步诊断:腹痛、腹泻查因
诊断依据:中年女性患者,因间断腹不适1年,加重伴呕吐、腹泻1个月入院,查体:慢性消耗病容,贫血貌,心肺查体未见异常。腹平,全腹软,未触及异常包块。上腹部深压痛阳性,无肌紧张、反跳痛,余腹无压痛。肠鸣音4次/分,振水音阴性。
鉴别诊断
急性胆囊炎:一般出现上腹部疼痛或者是右上腹的疼痛,呈阵发性绞痛,进食油腻食物或者饮酒之后发作, B超可予以鉴别。
消化性溃疡一般会出现规律性的疼痛,表现为上腹部或者剑突下的疼痛,胃镜可予以鉴别。
诊治经过
入院后为明确诊断,完善相关检查:血常规: WBC 10.10x 10*/L, Hb 50gL;白蛋白22g/L; 其余大致正常。腹部增强CT示:左上腹腔内结构紊乱,可见团状含气软组织密度影,增强后呈不均匀强化,边界不清,局部与胃体部分界不清, 似与横结肠及降结肠相通,病灶周围可见游离的气体影,相邻脂肪间隙模糊(图箭头所示为疑似的胃结肠瘘)。上消化道造影提示:胃体部大弯侧不规则龛影、造影剂进人横结肠,考虑占位病变、并胃-结肠瘘形成可能大。结肠造影显示:考虑占位病变降结肠近脾曲管腔狭窄、可疑充盈缺损,造影剂未通过并梗阻性表现可能大。胃镜检查:胃体小弯侧偏前壁巨大深溃疡,见污秽苔,透过瘘管可见横结肠内粪便,周围黏膜明显充血水肿,组织易出血。病理结果考虑胃体小弯侧胃黏膜腺癌浸润。考虑该例患者肿瘤分期晚,可能难以达到根治性切除,术前营养状况及基础条件差,入院时血常规、血生化示血红蛋白42g/L、白蛋白22 g/L,存在重度贫血及低蛋白血症;术前输注同型红细胞10 U,血红蛋白上升至106g/L,同时经过术前积极的全肠外营养支持治疗后营养状况有所好转,白蛋白35 g/L,患者诊断胃癌明确,有手术指征,未见明显手术禁忌症,遂行了姑息性远端胃大部切除术、横结肠部分切除术(近端造口,远端封闭)、胃空肠吻合(Roux- -en-Y)、空肠-十二指肠侧侧吻合术。术中探查见胃体前壁近大弯侧可触及约8 cm质硬肿物,肿物侵及横结肠并形成胃结肠瘘。胃周及后腹膜可触及多枚质硬肿大淋巴结,部分融合固定,切除病灶后行胃空肠吻合( Roux- -en-Y)。病理提示胃壁全层低分化腺癌浸润,脉管内见癌栓,术后第一天进流质饮食,逐步过渡半流质,术后一周出院。
诊断结果:胃癌;胃结肠瘘;贫血;低蛋白血症
【分析总结】
本例患者出现腹痛合并腹泻、粪性呕吐及体重下降等症状,通过腹部增强CT、消化道造影、钡灌肠、胃镜及病理检查等,确诊为胃癌,并合并结肠瘘,恶性肿瘤相关胃结肠瘘临床上较为少见,其中只有30%患者存在典型的临床表现:腹泻、粪性呕吐(部分患者可呕吐含有未消化食物的粪便)及体重减轻。实验室及体格检查可见患者存在电解质失衡及重度营养不良,偶见恶病质。钡灌肠结合胃镜及结肠镜检查是最可靠的诊断方式。然而本例患者治疗的难点在于手术时机及手术方式的选择,通过消化道造影、钡灌肠、胃镜等检查,明确了患者病情及病灶来源,而对原发肿瘤病灶来源的判定,为我们后续治疗方案的制定提供依据。