缺牙不仅是美观问题,更是健康隐患。”作为口腔科医生,我们见证过太多患者因缺牙导致咀嚼困难、面部塌陷甚至肠胃疾病等问题,而种植牙技术的出现,正以“人类第三副牙齿”的姿态,为缺牙者带来持久、稳定、自然的修复方案。
一、牙齿缺失的危害:不仅仅是"少颗牙"
当牙齿缺失后,很多人认为"只要不影响吃饭就没事"。但事实上,缺失牙会导致:
1.邻牙倾斜移位,引发咬合紊乱;
2.对颌牙过度伸长形成咬合创伤;
3.牙槽骨持续吸收导致面容塌陷;
4.咀嚼效率下降影响消化吸收。
临床数据显示:单颗后牙缺失5年后,邻牙移位率高达67%,牙槽骨高度平均吸收3.8mm。

牙齿缺失后,牙槽骨持续吸收,导致面容塌陷
二、什么是种植牙?
种植牙是通过外科手术将种植体植入牙槽骨,替代天然牙根,再在其上安装个性化牙冠的修复方式。其优势在于:
1.不伤邻牙:与传统烤瓷桥不同,种植牙修复无需磨损健康邻牙。2.骨保护作用:刺激牙槽骨,延缓牙槽骨吸收萎缩(研究表明种植区骨流失率明显降低)。
3.媲美真牙:恢复90%以上咀嚼效率,外观与天然牙几乎无异。4.异物感轻:与活动义齿相比,种植牙的异物感明显降低,舒适度大大提高。

三、种植牙的过程
第一步:初诊检查(1-2次就诊)
医生检查口腔情况,了解患者需求,询问患者全身病史,通过影像学资料掌握缺牙区骨质、骨量和神经走向等情况,经评估适合种植手术者,完善血液检查:血常规、凝血功能、肝肾功能、感染标志物等;进一步制定种植治疗方案,选择适合的种植系统,确认下次复诊手术时间。
第二步:种植手术
在经过局麻、消毒、铺巾等一系列准备后,开始种植手术,在牙槽骨上制备一个孔,植入人工牙种植体。常规的单颗牙种植手术时间相对短一些,但假如缺牙区牙槽骨量不足,需附加植骨手术、上颌窦提升等特殊术式的话,时间会相应的延长一些,具体视手术情况而定。
种植手术过程无痛,感觉上类似于拔牙。
第三步:骨结合期(3-6个月)
种植手术后,接下来就是等待骨结合,常规愈合周期是3~6个月,植骨手术一般愈合周期在6~8个月或者更长的时间。此时,是种植体与牙槽骨“长牢”的关键期。
第四步:种植修复取模及佩戴牙冠(2-3次就诊)
在骨结合完成后,接下来进行种植上部结构修复,先进行模型的制取,送加工厂制作种植牙冠(约2周),最后,就可以复诊佩戴牙冠。

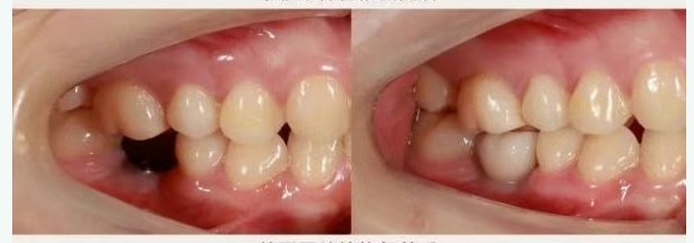
--单颗牙种植修复前后--

--单颗牙种植修复前后--
温馨提示:
种植牙的长期成功=精准植入+科学维护+合理使用。定期复查不仅是检查种植体,更是对整个口腔生态的监测。建议每半年到1年进行一次专业洁治,让您的"第三副牙齿"真正成为终身伴侣。