刚拔完牙齿,满嘴血丝忍不住想吐?含在嘴里不吞咽下去?
医生总会叮嘱拔牙后其中有一项被特别强调千万不要吐口水!口水不要含在嘴里,一定要吞咽下去,不要张口,咬住棉球呢?那么,到底为什么拔完牙不能吐口水吐了口水又会怎么样呢?
一、为什么拔牙后不能吐口水?
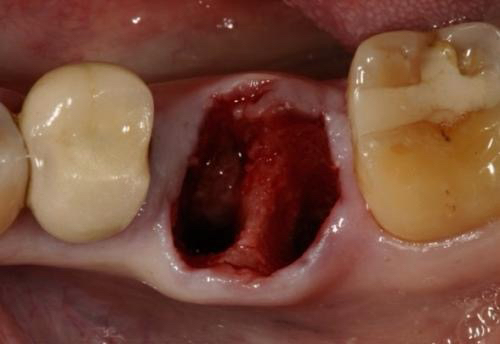
当我们拔牙后会形成拔牙窝洞,半小時後到24小时内会形成一个血凝块宛如嫩豆腐鸭血一样很容易被破坏,血凝块是保护伤口的,也是加速拔牙创伤愈合的。

当我们拔牙当天吐口水、漱口、刷牙,用吸管大力喝饮品时、大力吮吸面条时,会导致口腔内负压产生,很容易将血凝块脱落,从而导致大量出血不容易止住血,没有血凝块的保护拔牙窝洞拔牙伤口会发炎,很容易形成干槽症,产生剧烈疼痛!

换个通俗的说法:拔牙后形成的血凝块是"天然创止血带"
吐口水时的吸吮动作,会像"拔瓶塞"一样扯掉伤口处的血凝块,露出骨头和神经,引发剧痛(干槽症警告!)。失去血凝块保护,食物残渣和细菌直接入侵牙槽骨,可能产生腐败性臭味,感染的风险大大提升。
二、那么拔牙后出血是正常的吗?
拔牙后24小时内:若口水太多,会表现出大量血丝混杂其中容易被误导出血量巨大,所以有口水轻轻咽回去,血不止牙齿是不会痊愈的。
第一天:流血很正常,但大量出血止不住就要回去找️医生复诊查看原因。
第二天:有少量血丝也属正常,拔牙位置不要刷牙,其他的牙齿位置可以正常刷牙,拔牙位置轻轻漱口防止食物残渣堆积其中。
第三天:以不出血为好,若还出血则需注意,一定要用消炎漱口水漱口,并且关注是否全身有其他疾病影响凝血。
三、拔牙后血凝块脱落牙槽骨暴露,呈现出干燥表面没有血凝块的天然屏障,因为口腔内不是一个无菌的环境,使得拔牙窝洞暴露于充满细菌的口腔中,而发生骨壁感染形成的干槽症,各位拔牙的宝宝们要注意啦️,会有哪些表现呢?
出现的时间:是在拔牙后一段时间一般是拔牙后第2-3天后而不是立刻。也就是说拔除智齿后前三天出现疼痛肿胀是拔牙后的正常创伤性反应无需紧张,并且这种疼痛会随着时间的推移慢慢减轻,可观察症状的发展,如果拔牙后第2-3天疼痛加重的情况请及时联系医生。
疼痛的范围不紧紧局限于拔牙的位置:主要是耳朵和太阳穴。如果只局限在拔牙窝,可能只是术后反应。
有部份干槽症会伴有典型的味道:出现恶臭味,有可能是干槽或空虚的拔牙窝,里面有腐败的组织。
止痛药一般没有明显的止痛效果。