这是一个经常被子宫肌瘤患者问到的问题。
对新技术的认知也在不停地进步,我只能谈在现有的研究和经验下我个人的体会,也许在未来随着更多案例的积累,更多技术的出现,观点也许会发生变化。所以此观点仅代表2018年12月我的观点。
目前子宫肌瘤的消融治疗的技术包括有高强度聚焦超声、微波、射频,其中高强度聚焦超声治疗里面又包括了超声引导下的高强度聚焦超声(常用的设备有海扶)和核磁共振引导下的高强度聚焦超声(常用的设备有磁波)。有关上述技术的介绍见我之前的科普文章。
《不开刀也可以治疗子宫肌瘤》
《我们是如何不开刀治疗她10cm的肌瘤的》
《子宫肌瘤子宫腺肌症的微波治疗》
《子宫肌瘤子宫腺肌症的射频治疗》
《海扶、磁波、微波、腹腔镜、宫腔镜我到底该选择哪种方案》
对于有生育要求的病人来说,无论采用是开腹、腹腔镜、宫腔镜还是消融治疗,都需要注意1. 要保护子宫内膜的完整性,子宫内膜是胚胎着床的地方,若是伤到了子宫内膜,胚胎着床就会有问题;2. 确保正常的子宫肌层有一定的厚度,不过度损伤正常的肌层。
对于子宫肌瘤要生育的患者,是否在怀孕前需要干预处理,参见我这篇之前写的科普文章。
《答疑:患了子宫肌瘤拟生育是该做什么手术?》

简而言之,大概对于0-2型粘膜下肌瘤因为对怀孕会产生不利的影响,所以在怀孕前要处理;对于3-5型的肌瘤,若是太大超过5cm,倾向于处理;而对于6-8型的肌瘤,若是没有症状,没有超过1年不孕的情况,可以尝试先带瘤妊娠。
0-2型的肌瘤能不能选择做消融治疗?可以,但是对于有生育要求的病人,不首先推荐,因为0-2型肌瘤离子宫内膜很近,在治疗中非常容易损伤到子宫内膜,选择用宫腔镜治疗的方法是最合适的,当然宫腔镜手术也是需要比较高的手术技术,在手术过程中尽可能避免切除过多的子宫内膜,确保子宫内膜的完整性。
对于3-5型的肌瘤,选择消融治疗是可以考虑的,但是是否合适消融,往往需要核磁共振来协助判断。参阅《哪些子宫肌瘤肌腺症的患者适合于磁波治疗》,海扶、射频、微波类似。
在海扶、磁波、微波和射频这4种消融技术上,哪种合适,就我们目前的认识,来做一个分析。
如前所述,在治疗过程中最重要的事情是确保子宫内膜和子宫肌层的完整性,所以消融治疗最重要的事是要知道你消融在哪,其实是和手术刀是一样的,你切多了,就容易有误损伤,就容易出现后续的问题。
在“看得见”的问题上,磁波是最佳的选择,看看这一段视频,大概就会了解到磁波治疗的过程。
核磁共振监测下的治疗有一个超声监测下治疗没有的优势,就是温度监测,核磁共振可以实时显示出治疗区的温度,而当局部组织温度达到65度的时候(视频中颜色变成绿色),而到治疗超过限定范围的时候,可以紧急按下停止键,避免过度的损伤,我们对于未生育子宫肌瘤治疗的原则是宁可残留不要损伤。

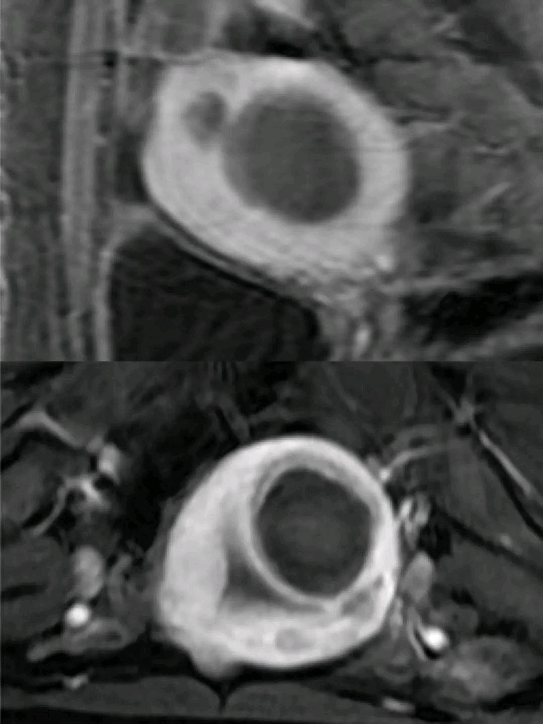
上图是我们一个子宫肌瘤的患者磁波治疗术后复查的MRI图像,这个患者在术后1年左右怀孕,计划分娩的时候问我是否可以顺产,你可以图片里面可以看出来,黑影的坏死部分局限于子宫肌瘤的内部,而周边的子宫内膜和肌层均保留完好,这样的子宫自然分娩没有问题,当然产科一些指征需要剖宫产的另当别论。
孕。虽然消融治疗残留的部分肌瘤有可能会在孕期增大,但是相比于消融前,其增大的幅度要小得多了,当然消融治疗也是有些劣势,譬如有些患者因为消融率不够高,术后症状持续存在,有10-20%再手术的问题。


看看我们下面两个例子,都是海扶治疗以后的问题。

病例1,由北京复兴医院马宁教授提供,患者10cm的肌瘤,2-5型,有生育要求,在海扶治疗后,患者虽然肌瘤坏死了,但是不孕,治疗后宫腔镜检查发现子宫内膜受损(图片上方是子宫内膜,本来应该是红色的,看到的内膜是疤痕化),这就是因为超声聚焦的后场(超过焦点,远方的能量)造成了子宫内膜的破坏,这样的患者再想怀孕,内膜受损以后会比较麻烦。


病例2,是北大人民医院报告的一例海扶术后妊娠期子宫破裂的案例,8cm子宫肌瘤患者,在海扶治疗后20个月怀孕,但是在38周的时候发生子宫破裂。回顾患者的MRI可以看到子宫肌瘤治疗的时候,发现虽然子宫肌瘤治疗比较彻底,但是子宫肌瘤外面正常的子宫肌层也受损了,因为缺乏有效的肌层承受孕期胎儿增大后的压力,发生了妊娠期的子宫破裂。虽然此例母胎都安全,但是妊娠期子宫破裂仍然是一个高风险的事件。
微波治疗在超声监测下,也同样面临海扶一样的问题,我们现在有的时候在做微波有生育要求的时候采用宫腔内建立水循环的方式减少对内膜的损伤,但是仍然会存在着“看不清楚”边界的问题,所以也不是一个最佳的选择若是肌瘤离子宫内膜比较近的时候,治疗肌瘤宁可多留避免过度损伤。未来的发展若是有可能结合核磁共振温控监测和微波是相对比较理想的结果。
那么对比消融治疗和腹腔镜或者开腹手术,目前还没有随机对照研究的结果,这个意义上来说,哪种更优还没有一个结论。从我个人的态度上来说,若是核磁共振评估下来,患者可以实施磁波治疗的,会优先考虑选择磁波治疗,因为一是磁波的损伤相对于腹腔镜要小得多,二是腹腔镜或者开腹都会在子宫上留下一个薄弱的疤痕,而隔空消融肌瘤,肌层的完整性会保留得更好,腹腔镜术后我们往往需要6-12个月的时间可以备孕,而磁波治疗以后大概3个月就可以备孕。虽然消融治疗残留的部分肌瘤有可能会在孕期增大,但是相比于消融前,其增大的幅度要小得多了,当然消融治疗也是有些劣势,譬如有些患者因为消融率不够高,术后症状持续存在,有10-20%再手术的问题。


顺便提到一个动脉栓塞的问题,动脉栓塞也是介入治疗的一种,但是动脉栓塞治疗不适合于有生育要求的患者。一项121例的RCT研究提示:121例患者RCT研究对比肌瘤剔除术vs动脉栓塞。术后6月症状缓解、生活质量以及卵巢功能上相当。40例肌瘤剔除患者和26例UAE患者希望妊娠。随诊两年,肌瘤剔除者妊娠率在妊娠率、活产率上均要高于动脉栓塞者,而流产率较低。
总之来说,在对于有生育要求的子宫肌瘤的病人的选择,现阶段我们大概的优先次序会是:
磁波/宫腔镜>腹腔镜>微波>射频>海扶>动脉栓塞
个人经验仅供参考。希望对子宫肌瘤的患者有帮助。