
门诊中接触了很多的子宫肌瘤患者,非常关注的是子宫肌瘤恶变的问题,我想还是写一篇科普来解释下吧。
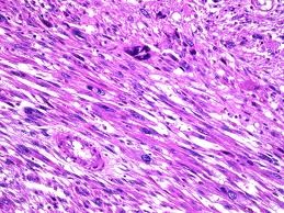
首先,要强调的是,恶变是一个病理诊断,一个外科医生,在将切除的标本送病理检查之前,有的时候是很难鉴别良恶性的。所以,恶变是一个子宫肌瘤的病理诊断。
在临床中,子宫肌瘤是一个常见病,据统计,人群中有10-20%的人有子宫肌瘤,在国外的调查,50岁左右黑人人群子宫肌瘤的发生率甚至高达70%。这说明子宫肌瘤是一个常见病。
在以前的教材中,写子宫肌瘤肉瘤变的发生率在0.5%,但是已经找不到来源了,根据我的临床经验,比例可能是要比这个更低。根据美国的人群统计资料,子宫肉瘤在人群发生率为17.1/100万,而对比子宫肌瘤100,000/100万(按照10%的比例)来算的话,那么子宫肌瘤和子宫肉瘤在人群中的比例就差不多在6000:1。也就是说这是一个罕见现象。
那么在临床过程中什么情况下要考虑有肉瘤变呢?
首先,子宫肉瘤变一般是在年龄比较大的患者上发生,统计过去的平均年龄在48岁,而子宫肌瘤发生相对而言是比较年轻的患者,当然年龄大的患者发生率也会更高。
其次,很多人问,子宫肌瘤生长得快,是否就意味着恶变呢?回答这个问题,其实也需要了解一般情况下子宫肌瘤的生长规律,统计下来,子宫肌瘤平均每年生长约30px,这就意味着有些患者可能一年一点也不长,一些患者生长速度要快得多。生长速度的快慢并没有绝对可以说明肌瘤是否恶变。
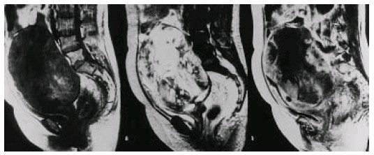
那么现在,我们是否有一个办法可以来了解子宫肌瘤是否有恶变呢?作为一个临床医生,必须要时刻关注着世界上这个领域内的研究进展,2002年,来自日本的研究者做了一项影响业界的研究,文献发表在国际妇科肿瘤杂志上。他们采用了增强延迟显像核磁共振检查的技术,结合血清乳酸脱氢酶(LDH)同工酶3的检查,发现10例子宫肉瘤的患者,在核磁共振60秒增强的图像中,10例患者都可以观察到有延迟增强的影像,而子宫肌瘤良性变性的患者,32例中仅有4例出现延迟增强的表现。10例子宫肉瘤的患者都有LDH和LDH同工酶3的升高。这个研究提示,如果联合采用增强延迟显像核磁共振检查和LDH检测,将会有助于鉴别子宫肉瘤和子宫肌瘤的良性变性。
这个研究的数量还不太大,这样的规律是否可以在更多的人群中得以重现,需要有更多的资料的验证,但是研究对于我们临床已经非常有价值,现在我已经开始采用LDH检测来筛查,必要的时候也会用增强延迟显像核磁共振检查(目前协和无此项专门检测,需要和放射科大夫进行沟通)来进行筛查。
综上所述,子宫肌瘤的恶变是一个罕见现象,如果怀疑恶变的时候,LDH和增强延迟显像MRI检查有助于鉴别良恶性。

