写这篇文章的起因呢,只要是之前在一位病人咨询的时候,建议她做一个MRI检查,这样更方便我们进行评估,在我看来本是很常规的一个建议,对方却回复:子宫肌瘤都要做磁共振,你们是过度医疗吧。然后变挂断了电话,咨询也就不了了之。
的确,在过去我们检查子宫肌瘤,都是做B超的,价格便宜,做起来也相对便捷,更不用去担心辐射的问题(其实磁共振也是没有辐射的)。当然,针对没有症状的子宫肌瘤患者,超声检查仍然是我们推荐的手段,但针对有症状的子宫肌瘤患者,或者有生育要求需要评估子宫肌瘤是否影响的患者,我们是更推荐做一个磁共振检查评估的。
是基于什么理由呢?
我们先来看看目前国内超声检查的情况。
比较常见的是这样的报告,主要就是由超声检查的描述+结论+配图构成,配图会包括在检查中发现的子宫肌瘤的图像,当然在某些地区,超声的报告是没有配图的,只有超声描述和结论。省略掉配图的原因除了本身检查的价格可能无法覆盖掉打印的成本外呢,可能还有一个原因是超声科医生会觉得临床医生只是看一个结论。

其实超声检查, 的确是非常适合妇产科的一个检查手段,通过经阴道的超声,可以清晰直观的显示子宫及附件的情况,但超声的检查获取的是一个动态的过程,仅仅靠文字记录,哪怕加上配图,是无法完整的还原这个检查过程获取的信息量的。举个简单的例子,子宫肌瘤在超声报告内一般会描述为粘膜下、肌壁间、浆膜下3个位置,但实际的临床应用中,我们目前更偏向于使用figo的分型,把子宫肌瘤分为0-8型(如下图,8型为特殊位置肌瘤,图中并未画出)。

FIGO子宫肌瘤分型示意图
可以看到3-5型子宫肌瘤,在超声检查下,都可能会被描述为肌壁间的肌瘤,某些情况下因为超声检查设备的清晰度、检查医生的经验,以及当天的情况等等因素下,2型的子宫肌瘤也会被误认为是肌壁间的肌瘤(我们甚至遇到过国内顶级医院的超声报告写肌壁间肌瘤,实际宫腔镜发现是1型粘膜下肌瘤的情况),这些类型虽然都是“肌壁间肌瘤”,但对于是否引起症状,对后续生育是否有影响,需不需要后续处理,其中的差异是很大的,4型和5型的肌瘤,一般不会引起症状,也不太会影响生育,而2型则大部分会造成症状,并且可能会影响到生育,3型则要看具体的情况。
所以,在面对有症状的子宫肌瘤患者,如果选择做超声评估,我们更倾向于亲自看超声,方便我们完整的获取到我们需要的信息,进而帮助后续的判断和提供处理方案。实际上在国外,超声的检查也通常是由妇产科医生自己进行的。国内则是由超声科完成,妇产科医生也没有时间和精力能够去到现场看超声(通常科室设置不在一个楼层,而且两个科室都是属于人满为患的类型),虽然我们国内超声医生的诊断水平很不错,但仅靠文字描述,而且因为超声检查的任务较重,报告通常比较模板化,很难清晰的得知我们所需要的信息。
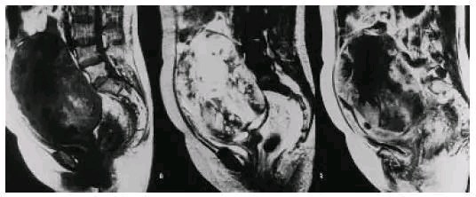
这个时候我们就只有靠MRI(磁共振)检查来帮助了,和超声检查我们只能看到医生的文字描述以及有限的配图外,MRI我们获取的是整个盆腔的数字化资料,可以从不同角度,完整的了解整个子宫以及子宫肌瘤的情况。这样我们就能清楚的知道每个肌瘤都是在什么位置的,究竟是哪个肌瘤引起了临床的症状,这个肌瘤如果后续继续长大,会不会对生育有影响等等问题。

MRI的图像,不仅能从二维平面上直观的显示,还能结合其他的角度清晰的定位,图中红线部分为同一个子宫肌瘤
除了提供肌瘤的位置外,MRI还可以提供给我们很多别的信息,通常一个方向的T2加权序列会给我们提供大概26张甚至更多的图像,足够完整的显示子宫不同层面的情况,以及和周围的肠道、膀胱等组织脏器的关系,并且通过在T2加权下子宫肌瘤和子宫肌层信号的差异,能够初步判断这个子宫肌瘤是否适合我们目前开展的磁波治疗,如果是高信号(表示组织本身含水丰富或者血供丰富),那么做磁波治疗效果可能就不会太高,自然选择其他的方式就会更合适。
对于子宫肌瘤的血供,MRI还能通过注射增强剂的方式,使有血供的地方得到增强显影,就能够了解到子宫肌瘤是否还有血供,没有血供的子宫肌瘤即使不处理也能够自发的坏死萎缩,如果有血供,血供是丰富的,还是一般的,对于后续治疗方式的选择都会有帮助。

左图为T2低信号肌瘤,适合磁波治疗,
右图为T2高信号肌瘤,若是做磁波治疗,可能效果不佳

右图为T2加权平扫,3个红圈分别为3个子宫肌瘤,左图为增强后同一层面图像,其中一个肌瘤的血供低于子宫肌层,另2个肌瘤血供和子宫肌层相当
还有很多人关心的良恶性的问题,通过MRI的检查,也能够辅助判断一个病灶究竟是良心性的子宫肌瘤,还是说可能会是恶性的子宫肉瘤。特别是在遇到子宫肌瘤本身有变性的情况下,通过超声是很难区别其性质的,而借助磁共振,可以侧面的提供一些证据。

子宫肌瘤良性变的时候的增强延迟显像的MRI图像

子宫肉瘤的增强延迟显像的MRI图像
关于子宫肌瘤的治疗,我们目前有不用开刀的磁波治疗,微创的腹腔镜、宫腔镜,控制月经量多的Novasure诺舒治疗等等,这么多的手术方式,都有其适用的对象,所以在术前清晰的了解到患者的具体情况,我们才能更合理的选择治疗方式,从而给患者提供因人而异的治疗方案,这大概也算是针对子宫肌瘤的“精准治疗”
那么如果只考虑腹腔镜这么一种方式,是不是磁共振就没有必要了呢?当然不是的,知道子宫肌瘤的位置,和内膜的关系,才能够更好的设计子宫上的切口,从而使用最合适的切口进行子宫肌瘤的剔除,关于磁共振对于手术的帮助,国外已经有团队通过磁共振进行3d重建然后制定手术方案,我们目前虽然还没有使用到这么直观的技术,但理念以及结果也基本是一致的。

磁共振检查有没有什么缺点呢?
首先是做起来不如超声那么便捷,通常需要预约,等待几天到半月不等。
另外费用上相对于超声检查来说也贵不少,但总体还在可以接受的范围,对于有症状准备选择治疗方式,或者怀孕前评估子宫肌瘤对于生育的影响,我们觉得还是值得的。
当然,如果是无症状的子宫肌瘤临床随访,超声检查是完全足够的,没有必要因为我们说了磁共振多么多么好就去做磁共振,造成不必要的医疗资源浪费也是不好的。