“彭主任,您看看我,每年体检都加钱做乳腺B超,一次没落过。报告单每次都写‘未见明显异常’,我心想这钱花得值。可上个月自己摸着有个小疙瘩,再来查,怎么就……就是癌了呢?”
这句话,我在诊室听过太多遍。说这话的可能是40岁的李姐,也可能是35岁的小张,她们眼眶红红的,手里还攥着那一沓厚厚的、曾经给过她们安全感的B超报告单。

这个问题,问得让人心疼,也问出了无数女性的困惑:我们年年做B超,到底图什么?它究竟能不能保护我们不得癌症?
今天,我就把这个事儿跟您彻底讲清楚。
一、B超不是“免癌金牌”,它是我们请的“花园侦探”
把您的乳腺想象成一座花园。癌细胞不是一夜之间开满全园的杂草,而是从一颗看不见的种子开始,悄悄发芽,慢慢扎根,长成小苗,最后才蔓延开来。这个过程,短则两三年,长则十几年。
那么,乳腺B超是什么?它不是给花园喷洒的“除草剂”(那是预防),也不是能预测“未来哪里会长杂草”的占卜师。它是我们定期请来给花园拍照的“私家侦探”。
这位侦探拿着高频声波这架“高清相机”,定期进来拍一圈,看看花园里有没有已经长出的可疑“杂草”——也就是那些我们手摸不到、但机器能看见的异常结节。
有研究明确指出:乳腺超声的核心价值在于“早期发现”,而非“预防发生”[1]。它能帮我们在“杂草”刚冒头、还没结出恶果的时候,就把它连根拔起。
但请注意关键词:已经长出。侦探再厉害,也只能报告“花园里出现了杂草”,他没法让杂草压根儿不长。
所以,年年B超正常,不等于您的花园永远不会长出杂草。

二、侦探也有“看走眼”的时候
那问题又来了:既然侦探年年都来拍,怎么“杂草”还是漏掉了呢?这就要说到B超的局限性。
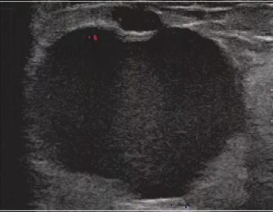
它怕“伪装高手”。 有些早期癌长得特别“面善”,在B超屏幕上边缘光滑,和最常见的良性结节——纤维腺瘤——简直是双胞胎。侦探路过一看:“哟,良民,放行!”结果就错过了。直到它长出了新的可疑特征,或者旁边又冒出了新的“同伙”,才引起警惕。

这名患者彩超结节很光滑,彩超判定为BIRADS2类,但术后病理证实为乳腺癌
它怕“小透明”。 B超对某些类型的癌不敏感,比如那种只在导管内密密麻麻长着微小钙化的原位癌。那些钙化点像针尖一样小,B超的“相机”分辨率不够,拍不清楚。这时候,就得请出另一位侦探——乳腺钼靶,它可是捕捉钙化的专家。所以有时候要“组合出警”,才能不放过坏蛋[2]。

这名患者彩超并未见明显的结节,仅表现为局部回声异常(标记处可见异常回声),彩超BI-RADS分级0类


行钼靶检查提示为异常钙化(见标记处),BI-RADS分级4类,穿刺病理证实为恶性。
它太依赖侦探本人的经验。 手持B超有个“硬伤”,叫“操作者依赖性”。同一个花园,经验丰富的侦探可能每个角落都翻个底朝天;经验不足的,可能一扫而过,漏掉某个犄角旮旯。有专家指出,医生的经验和准确解读是早期诊断的关键[3]。

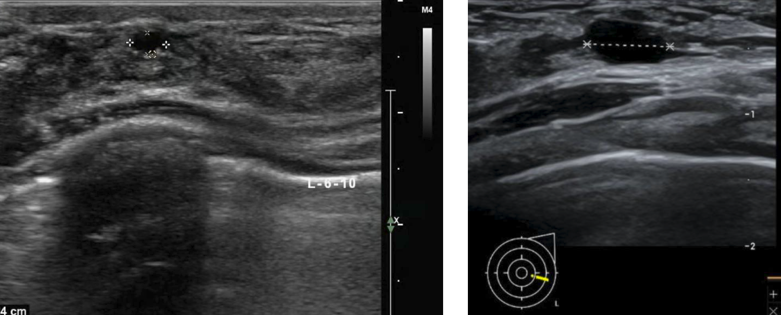
这名患者年年体检,左图为1年前结节情况,超声分级BIRADS3类,右图为今年彩超,结节增大明显,仍旧判定为BIRADS3类,建议患者手术,手术后证实为乳腺原位癌。
所以,年年B超“干净”,可能确实是当时没长杂草,也可能是长了,但被侦探当成了良民,或者藏在了视觉盲区。
三、侦探的立功时刻
故事讲到这儿,是不是觉得有点灰心?别急,真正的反转来了。
虽然B超不能预防癌症的发生,但最新、最重磅的证据表明,用好B超,可以实实在在地“预防”晚期癌!
就在2026年,国际顶级医学期刊 《柳叶刀》 刊登了一项来自日本、跟踪了17年的重磅研究。研究发现,用“B超+钼靶”联合筛查的女性,发生晚期乳腺癌(肿瘤≥2厘米和/或淋巴结转移)的风险,比只做钼靶的女性降低了17%![4]
这意味着什么?这意味着,B超这位侦探,通过更早、更准地揪出“早期杂草”,成功地阻止了它们蔓延成灾、毁掉整座花园! 虽然没能阻止杂草的出现(得癌),但它有效阻止了灾情的扩大(得晚期癌)。
另一项研究也指出,在咱们亚洲女性(普遍乳腺致密)中,B超作为首选筛查方法,能检出高达78%的0-Ⅰ期癌[5]。发现一个早期癌,就等于避免了一个晚期癌的悲剧。
四、什么样的“异常”值得警惕?
作为乳甲外科专科医生,我每天都拿着B超报告“破案”。下面这三种情况,是我们重点盯防的“可疑分子”。您不需要学会看报告,但需要知道,什么样的变化需要我们警惕。
第一,那个突然冒出来的“新邻居”。 就像文章开头的情况:多年复查一直稳定,突然在乳腺里冒出一个全新的结节。这种“新面孔”必须高度重视。临床病理经常证实,这是新发的乳腺癌。
第二,那个“长得太快”的结节。 有医院曾报道一个案例:一位58岁的女士,与一个5毫米的乳腺结节“和平共处”了20年。结果入秋后开始每天服用阿胶、蜂王浆等补品,不到一个月,结节长到了18毫米,边界不清、血流丰富,存在活跃增生甚至恶变风险[6]。如果您的结节在短期内明显增大,别犹豫,一定要让专业细致的医生评估,并进行触诊。
第三,那个“变了模样”的结节。 以下影像学特征常提示恶性可能:形态变得不规则,边缘呈“毛刺状”;内部出现微小钙化;血流突然丰富;纵横比异常。良性的“老邻居”如果突然“整容”变了样,必须警惕。
另外还有一种叫“叶状肿瘤”的结节,它和纤维腺瘤是“近亲”,但脾气更暴躁。它也会快速长大,B超下常表现为分叶状、内部有囊腔、血流丰富。虽然大部分是良性,但有交界性和恶性的可能,需要完整切除才能确诊[7]。
请您记住三条“侦探警报”:新发的结节、长大的结节、变样的结节。
五、给您一个清晰的行动指南

回到最初的问题:年年做B超,怎么还得癌?
答案是:B超不能保证您的花园不长杂草,但它能保证在杂草刚冒头时就发现它,避免整座花园被毁。
我给您的行动指南很简单:
第一,找个好“侦探”。 去正规医院,找经验丰富的乳腺超声医生做检查。把您的花园交给靠谱的人。
第二,保管好“档案”。 每次的B超报告单和图像都留好。这是您花园的“历史照片”,新旧对比最能发现问题。
第三,自己也是“巡园人”。 每月月经结束后3-7天,给自己做一次简单的触诊。熟悉自己的一草一木,才能第一时间发现“新长出的杂草”。
第四,科学组合筛查。 40岁以上女性,建议每年一次乳腺彩超或钼靶;高危人群可提前到35岁,必要时联合钼靶或核磁。
科学的筛查,不是为了确保永不受伤,而是为了在风雨来临时,我们有足够的底气和智慧,从容应对。
参考文献
[1] 山东省肿瘤医院. 乳腺癌早期筛查:早发现、早干预,为健康筑起“防护墙”[EB/OL]. (2026-01-21).
[2] 华中师范大学医院. 乳腺结节不要怕,要“爱”不要“癌”——带你读懂乳腺结节[EB/OL]. (2024-10-22).
[3] 江西省肿瘤医院. 精准彩超检查,有助早期诊断乳腺癌[EB/OL]. (2024-03-19).
[4] Harada-Shoji N, et al. Cumulative incidence of advanced breast cancer in women aged 40-49 years in the Japan Strategic Anti-cancer Randomised Trial (J-START) of adjunctive ultrasonography: a prespecified secondary analysis[J]. Lancet, 2026, 407(10530):784-793.
[5] 科学网. 超声如何发现乳腺的“隐藏危机”[EB/OL]. (2025-08-25).
[6] 郑州人民医院. 连吃1个月,结节猛长3倍!这些“养生食物”竟是结节“加速器”[EB/OL]. (2026-01-03).
[7] 董晓燕, 薛晓红, 王萍, 等. 乳腺叶状肿瘤的超声特征与病理结果对比分析[J]. 中国介入影像与治疗学, 2011, 8(5):394-397.