在脑血管疾病的大家族中,脑海绵状血管瘤是一种相对少见但不容忽视的疾病。它通常表现为脑内异常血管团块,因其形似海绵而得名。尽管这种疾病在人群中的发病率并不高,但其潜在的危害却不容小觑。

什么是脑海绵状血管瘤?
脑海绵状血管瘤是一种由异常血管组成的良性病变,这些血管壁薄且缺乏正常的血管结构,容易出血或形成血栓。与动静脉畸形(AVM)等其他脑血管疾病不同,海绵状血管瘤的血管团块内没有动脉成分,因此其血流速度较慢,出血风险相对较低。然而,一旦出血,仍可能对周围脑组织造成严重损害。海绵状血管瘤可以发生在身体的任何部位,但最常见于脑部和脊髓。根据病变的位置和大小,患者的症状和预后也会有所不同。

症状表现
脑海绵状血管瘤的症状表现多样,取决于病变的位置、大小以及是否出血。以下是一些常见的症状:
1.癫痫发作:这是脑海绵状血管瘤最常见的症状之一。由于血管瘤对周围脑组织的压迫或刺激,患者可能会出现癫痫发作,表现为抽搐、意识丧失等。
2.头痛:许多患者会经历反复发作的头痛,这种头痛可能与血管瘤的出血或局部压力增加有关。
3.神经功能障碍:根据血管瘤的位置,患者可能会出现相应的神经功能障碍。例如,位于运动区的血管瘤可能导致肢体无力或麻木;位于语言区的血管瘤可能导致语言障碍。
4.出血:尽管海绵状血管瘤的出血风险相对较低,但一旦出血,可能会导致严重的神经系统症状,如偏瘫、失语、视力丧失等。
许多患者在早期可能没有任何症状,只是偶然做影像学检查发现了病变。
诊断方法
诊断脑海绵状血管瘤主要依靠影像学检查。以下是几种常用的诊断方法:
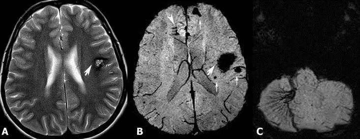
海绵状血管瘤MRI(图源见水印)
2.计算机断层扫描(CT):CT扫描可以显示血管瘤的钙化情况,但不如MRI敏感。对于某些患者,CT可能作为初步筛查工具。

3.脑血管造影(DSA):DSA可以显示血管瘤的血流情况,但对于海绵状血管瘤来说,其诊断价值有限,因为血管瘤内的血流速度较慢。

4.基因检测:对于有家族史的患者,基因检测可以帮助确定是否存在遗传性出血性毛细血管扩张症(HHT)等相关遗传病。
治疗方法
2.手术治疗:对于有症状或反复出血的患者,手术切除是最有效的治疗方法。手术的目标是尽可能完整地切除血管瘤,以防止再次出血和症状恶化。

3.放射治疗:对于某些不适合手术的患者,放射治疗可以作为替代方案。放射治疗的目标是通过放射线破坏血管瘤的血管壁,减少出血风险。

4.药物治疗:药物治疗主要用于控制癫痫发作和其他相关症状。对于有癫痫发作的患者,医生可能会开具抗癫痫药物。
预防措施
2.控制血压:高血压是脑血管疾病的重要危险因素,控制血压可以减少血管瘤出血的风险。
3.健康生活方式:保持健康的生活方式,包括均衡饮食、适量运动、戒烟限酒等,可以有助于整体健康,减少脑血管疾病的发生。
4.避免剧烈运动:对于已知患有脑海绵状血管瘤的患者,避免剧烈运动和头部外伤可以减少出血的风险。