儿童肘内翻畸形俗称“胳膊肘往里拐”,是儿童常见的肘关节畸形,其最常见的病因为肱骨髁上骨折后骨折端复位固定不佳,骨折端畸形愈合引起肘关节内翻畸形,另一部分少见的原因为骨折损伤肱骨远端骨骺,导致肱骨远端骨骺生长发育不对称引起。肘内翻畸形一旦发生很难通过自我塑形自然矫正,不仅影响外观,而且存在很多晚期并发症,如创伤性肘关节炎、肘部肌力发育不平衡、肘关节旋转不稳定等。肘内翻畸形主要手术方式为肱骨髁上外侧闭合楔形截骨,其矫形效果较为可靠,手术操作相对简便,创伤小、恢复快,是目前发展较为成熟的手术方式。
手术时机:
轻度肘内翻应在骨折治疗结束后早期开展保守治疗。4岁以下儿童保守治疗效果最好(主要采用手法按摩+肘关节外翻支具矫形相结合),而4岁以上儿童因骨骼生长发育减慢,保守治疗效果欠佳。手术治疗的时机选择主要依据有:(1)健侧-患侧提携角>15°或肘内翻畸形已影响外观,家长有手术意愿。
(2)肘关节功能恢复良好,因为手术后长时间的内固定会阻碍肘关节的功能训练,但手术时机选择不宜过晚,因为长期肘内翻异常的力线影响下会导致外侧髁膨大、滑车及内侧髁萎缩、尺骨鹰嘴脱位等终身畸形。手术不但可以改善上肢力线、矫正肘内翻畸形,同时通过改变关节面的倾斜度重新进行韧带的力学分布,并可以减轻因为肘关节不稳产生的一系列症状。早期治疗患侧肘关节的功能和形态尚未出现继发性改变,同时截骨断端在术后愈合、塑形能力较强。
典型病例
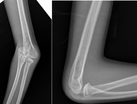
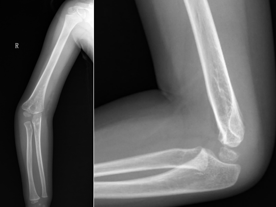
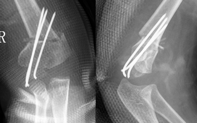
病例1:小明(化名)、男、12岁,8年前因摔伤致“左肱骨髁上骨折”,于外院行手术治疗,手术后逐渐发生左肘内翻畸形。

受伤当时的X线片

手术后X线片


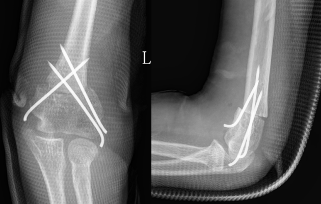
该例患者虽行手术治疗,但从术后X线片上分析其骨折端旋转畸形矫正不充分,残余肱骨远端的内旋畸形,所以术后逐渐发生肘内翻畸形。针对该患者我们实施了手术矫形治疗。


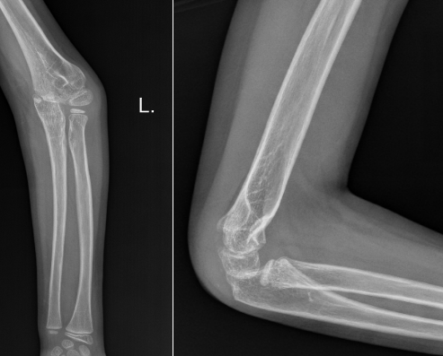
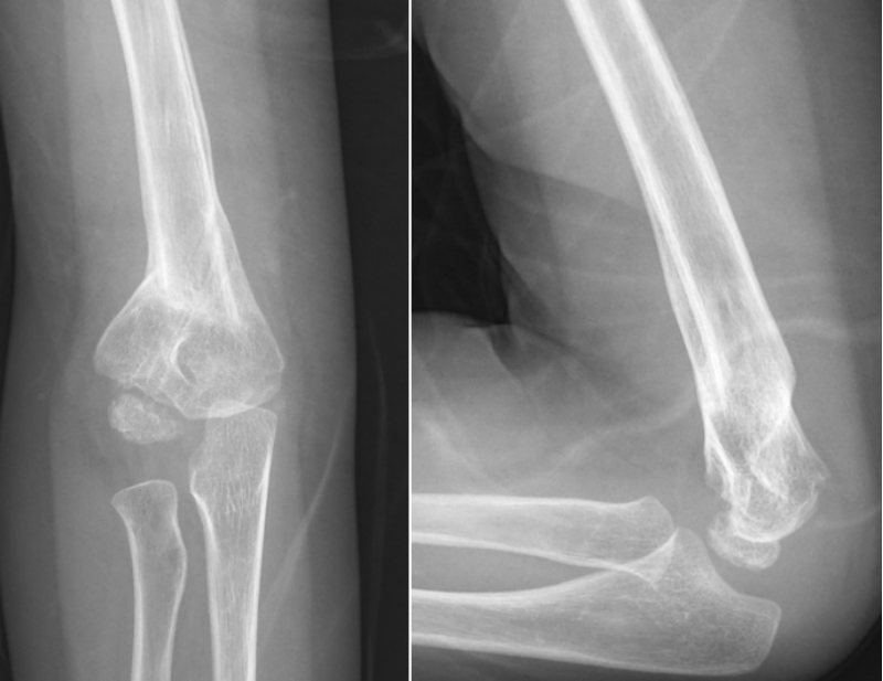
病例2:小红(化名)、女、9岁,3年前因摔伤致“左肱骨髁上骨折”,于当地诊所行手法复位夹板外固定,夹板固定一个月拆除外固定后逐渐发生左肘内翻畸形。

受伤当时的X线片

拆除夹板后的X线片



该例患者初始骨折为尺偏型肱骨髁上骨折,该种类型的骨折发生肘内翻畸形的可能性很大,需要在麻醉下手法复位纠正骨折端的尺偏移位,结合经皮克氏针固定,从而最大程度降低肘内翻畸形的发生率,但是当地诊所只是使用小夹板外固定,该固定不牢靠,骨折端容易再移位,且骨折端的尺偏移位纠正不足,种种原因引起了肘内翻畸形。针对该病例我们选择截骨矫形手术。

术后X线片示肘内翻矫正满意

术后外观照
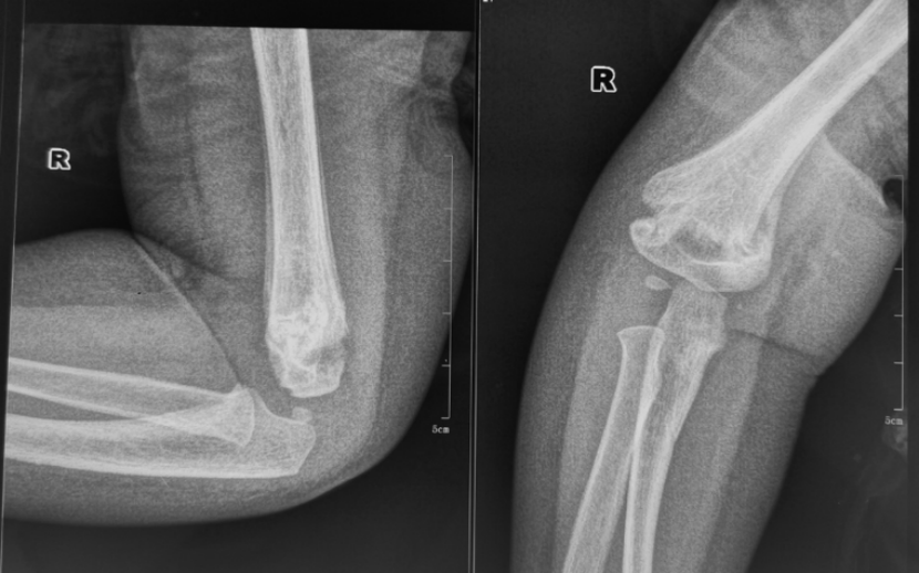
病例3:小玉(化名)、女、4岁,2年前因摔伤致“右肱骨髁上骨折”,于当地医院行手法复位石膏外固定,石膏固定一个月拆除外固定后逐渐发生右肘内翻畸形。

拆除石膏后X线片


该患者的情况跟小红的一样,都是治疗不规范引起的肘内翻畸形。该病例虽然年龄较小,但肘内翻畸形严重,保守治疗2年后未见明显改善,遂于行手术治疗。


术后X线片

取完钢针后随访
儿童肘内翻畸形临床常见,早期正确规范的治疗肱骨髁上骨折可有效预防肘内翻畸形的发生,一旦发生肘内翻畸形,各位家长们也不必太担心,成熟的矫形手术,可帮孩子们恢复正常的肘关节外形及功能。