儿童户外活动明显增加,意外伤害也随之增加。近期我院小儿骨科陆续收到很多在户外玩耍时不慎摔伤手肘的小孩。
典型病例:
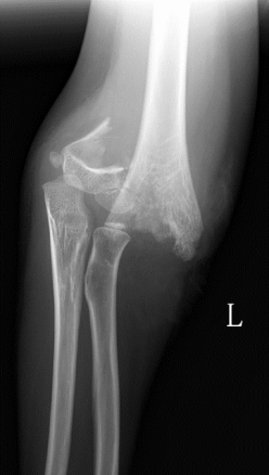
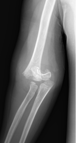
1、小红(化名):女、6岁、吊单杠时不慎摔伤致左肘部肿痛、畸形、活动受限2小时就诊我院。(下图为患儿术前X线片及CT检查)



此种类型的骨折称为肱骨髁上骨折,在完善相关辅助检查后予行麻醉下平乐郭氏手法正骨经皮钢针内固定治疗,术后患儿恢复良好,手术部位只有几个小针眼。(下图为患儿术后X线片)


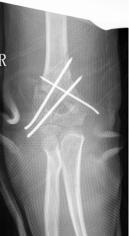
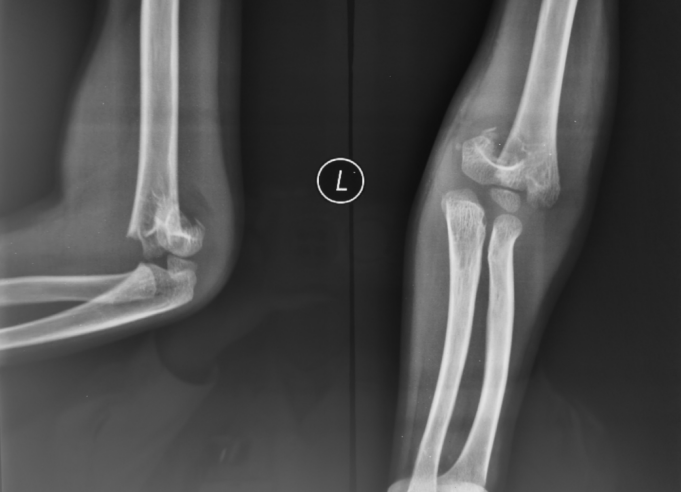
2、小雨(化名):女、8岁、在小区游乐场吊单杠时不慎摔伤致右肘部肿痛、畸形、活动受限1小时就诊我院。(下图为患儿术前X线片)


麻醉下手法整复经皮钢针内固定,术后患儿恢复良好。(下图为患儿术后X线片)


3、小林(化名):男、4岁、在家里从双层床上摔下致左肘部肿痛、畸形、活动受限4小时就诊我院。(下图为患儿术前X线片)


麻醉下手法整复经皮钢针内固定,术后患儿恢复良好。(下图为患儿术后X线片)


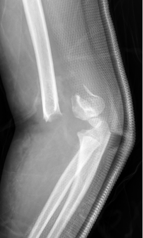
4、小黄(化名):男、6岁、在家里从椅子上摔下致右肘部肿痛、畸形、活动受限3小时就诊我院。(下图为患儿术前X线片)


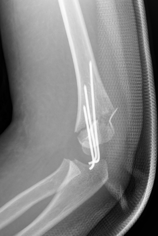
麻醉下手法整复经皮钢针内固定,术后患儿恢复良好。(下图为患儿术后X线片)


肱骨髁上骨折是儿童期常见的肘关节骨折,占所有肘部骨折的58%,肱骨髁上骨折最常见的晚期并发症就是“肘内翻”畸形,俗称“胳膊肘往里拐”。肘内翻畸形严重影响儿童的身心健康,其原因:1、是由于肱骨髁上骨折后进行不正规的保守治疗;2、骨折后损伤肱骨远端骨骺血管,导致骨骺生长发育不对称引起。由于儿童活动好动的天性,骨折复位石膏外固定的过程中,容易出现骨折移位的现象,或者肘部肿胀消退后,外固定松动而未及时调整也容易导致骨折复位丢失,从而导致肘内翻畸形的发生。
典型病例:
小玉(化名):女、9岁、3年前吊单杠时不慎摔伤致左肱骨髁上骨折,在当地医院行保守治疗。(下图为患儿X线片)

受伤当时X线片

手法复位后X线片

伤后一月后X线片


受伤后3年明显肘内翻畸形