近日,46岁正值壮年的张叔完成了下半口的种植手术,术后一周即可进食,这例成功案例的背后,是传统牙科技术的进步——计算机辅助设计/制造(CAD/CAM)微创种植导板技术。
张叔心里有点紧张。他嘴里的最后几颗牙,晃晃悠悠陪了他几年,因为牙周病和糖尿病(二者有双向促进关系)的原因,他的牙齿相继脱落,活动义齿的不稳定,让他生活质量大打折扣,这使他对种牙既渴望又恐惧,怕的就是漫长的等待和数次手术可还是强差人意。在诊室里,张叔对着徐医生大倒苦水。
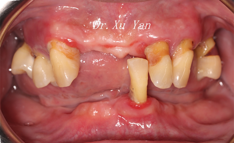
经徐医生检查张叔全口牙槽嵴呈重度吸收,形态呈刃状,存在明显的凹陷性骨吸收。活动义齿基牙颌面磨损严重,基托边缘与组织面不密合,固位及稳定性差。

术前口内咬合照

术前口内下颌照
面对骨头条件并不好的张叔,又考虑到经济因素,当天徐医生就给出治疗方案:
1. 上颌: 拔除松动牙后重新制作活动义齿,改善其固位、稳定性和美观。
2. 下颌:固定修复。微创拔除下颌剩余牙,彻底清创。刃状牙槽骨进行削平修整,在数字化种植导板引导下,不切开翻瓣,于理想位点即刻植入6颗骨水平种植体。当天戴入临时固定修复配件,一周后负重咬物。

术后一周戴牙下颌照
"导板下种牙就像在口腔里搞微创建筑,而术前设计就是我们的精密施工图。"徐医生给张叔秀出电脑上的虚拟手术规划。屏幕上,张叔的颌骨结构清晰可见,神经管走向、骨质密度、窦腔位置都一目了然。“我们现在可以在手术前就避开所有危险区域,精确计算种植体与邻近解剖结构的距离,而且能够预判修复后的美学效果。”

术前种植位点设计
01 从"手感"到"导板":牙科种植的技术革命
"就像给医生配了一副3D眼镜!"徐医生拿着一个透明的树脂导板向张叔解释。这个看似简单的装置上,精准标注了种植体的理想位置、角度和深度,还镶嵌着几个不锈钢金属套管,宛如一个微型施工模板。传统种植手术依赖医生的经验和手感,而种植导板技术通过三维影像数据,实现了种植方案的精准预演。

种植导板
02 毫米级的精度:误差小于头发丝的精准艺术
种植导板技术的精度令人惊叹——误差可控制在1毫米以内,仅相当于几根头发丝的粗细。
"别小看这毫米级的差别,"徐医生解释,"在后牙区,1毫米的偏差可能损伤下颌神经管;在前牙区,细微的角度偏差就会影响最终牙冠的美观效果。"
03 数字化流程:从虚拟到现实的完美转化
种植导板的制作是一个精密的数字化过程:
1.数据采集:通过口腔CT获取颌骨三维数据,光学扫描获取牙列形态。
2. 虚拟设计:在计算机中模拟手术全过程,确定最佳种植方案,术前即可直观下和患者探讨手术方案。

术前三维设计
3. 3D打印:使用医用级树脂材料打印个性化手术导板。
4. 临床实施:导板精准就位,指导手术操作。
04 微创优势:让种植手术更轻松
①手术时间缩短60%以上;
②术后肿胀发生率下降80%;
③患者满意率提高45%。
对于像张叔这样患有糖尿病的患者,快速微创的手术方式显著降低了治疗风险。

术前咬合设计
"这就像从手动驾驶升级到了自动驾驶,"徐医生感慨,"过去我们需要反复测量、预估,手术中时刻保持高度紧张。现在有了种植导板,即使是复杂的种植病例,也能变得可预测和可重复。"
05 适应范围:哪些人更需要种植导板?
①多颗牙缺失及全口无牙颌:确保多个种植体平行就位,指导All-on-4等复杂种植;
②美学区种植:精准控制种植位置和深度,精确的三维位置确保螺丝开孔的方向;
③骨量有限:避开重要解剖结构,精确控制深度及角度,避开下颌神经管、上颌窦等;
④即刻种植:实现精准的拔牙后立即种植;
⑤优化力学分布:合理的受力角度设计,确保后期修复体力学分布合理。

术后一周戴牙咬物
本病例证明,在数字化技术的保驾护航下,种植导板是一种安全、可预测且能极大提升患者满意度的先进治疗方式。 由于种植体位置理想,未来的修复体在美观、清洁维护和受力上都会处于最佳状态,从而降低了机械并发症和生物并发症的风险,有利于种植体的长期稳定和存留,它不仅是一项辅助工具,更代表了一种先进的、以修复和患者为中心的治疗理念。最后,建议大家选择具备数字化设备的正规医疗机构及经过专业培训的医生。