
45岁的李女士近一年来总感觉上腹胀痛、消化不良,自行服用胃药后稍有好转,但停药后又反复发作。在安徽省当地医院的胃镜检查后,医生告诉他胃镜下见到胃黏膜充血、水肿、弥漫性发红,活检结果考虑为胃MALT淋巴瘤可能性大。
带着忐忑与困惑,李女士来到我们医院寻求进一步诊疗。通过这篇文章,我将为大家详细讲解关于胃MALT淋巴瘤的病因、诊断、治疗及预后随访的全面知识。
MALT淋巴瘤全称为黏膜相关淋巴组织淋巴瘤,是一种边缘区低度恶性B细胞淋巴瘤。虽然它可以发生于各种结外器官,但胃是最常见的部位,约占原发性胃恶性淋巴瘤的一半。
正常情况下,胃缺乏固有的黏膜相关淋巴组织,慢性炎症或自身免疫性疾病是胃获得有结构的淋巴组织(即获得性MALT)的形成基础,而这是胃MALT淋巴瘤发生的前提条件。

胃MALT淋巴瘤的发病与幽门螺杆菌(Hp)感染密切相关。正常情况下,胃黏膜表面没有淋巴细胞,但由于感染了Hp,胃黏膜出现炎症后,大量淋巴细胞聚集,在其他因素作用下,良性的淋巴细胞可能变成恶性的淋巴瘤细胞。
在胃MALT淋巴瘤中,Hp检出率高达90%。 这也使得胃MALT淋巴瘤成为目前唯一可通过单纯抗生素治疗获得完全缓解的恶性肿瘤。

胃MALT淋巴瘤起病隐匿,早期症状轻微或没有症状。李叔表现出来的上腹痛、恶心、食欲下降等类似于消化不良的症状是其典型表现。
其他常见症状还包括:
上腹部胀痛或隐痛(最常见)
恶心、呕吐、反酸、嗳气
腹胀、黑便、食欲缺乏
体重下降、消化道出血、贫血
由于初期症状不明显,极易被当作胃炎或消化性溃疡治疗,这也给了肿瘤继续生长的机会。待到发现腹部包块、淋巴结肿大、肝脾肿大时,常常为时已晚。

胃MALT淋巴瘤的诊断需要一个系统化的流程,以下是常用的诊断方法:
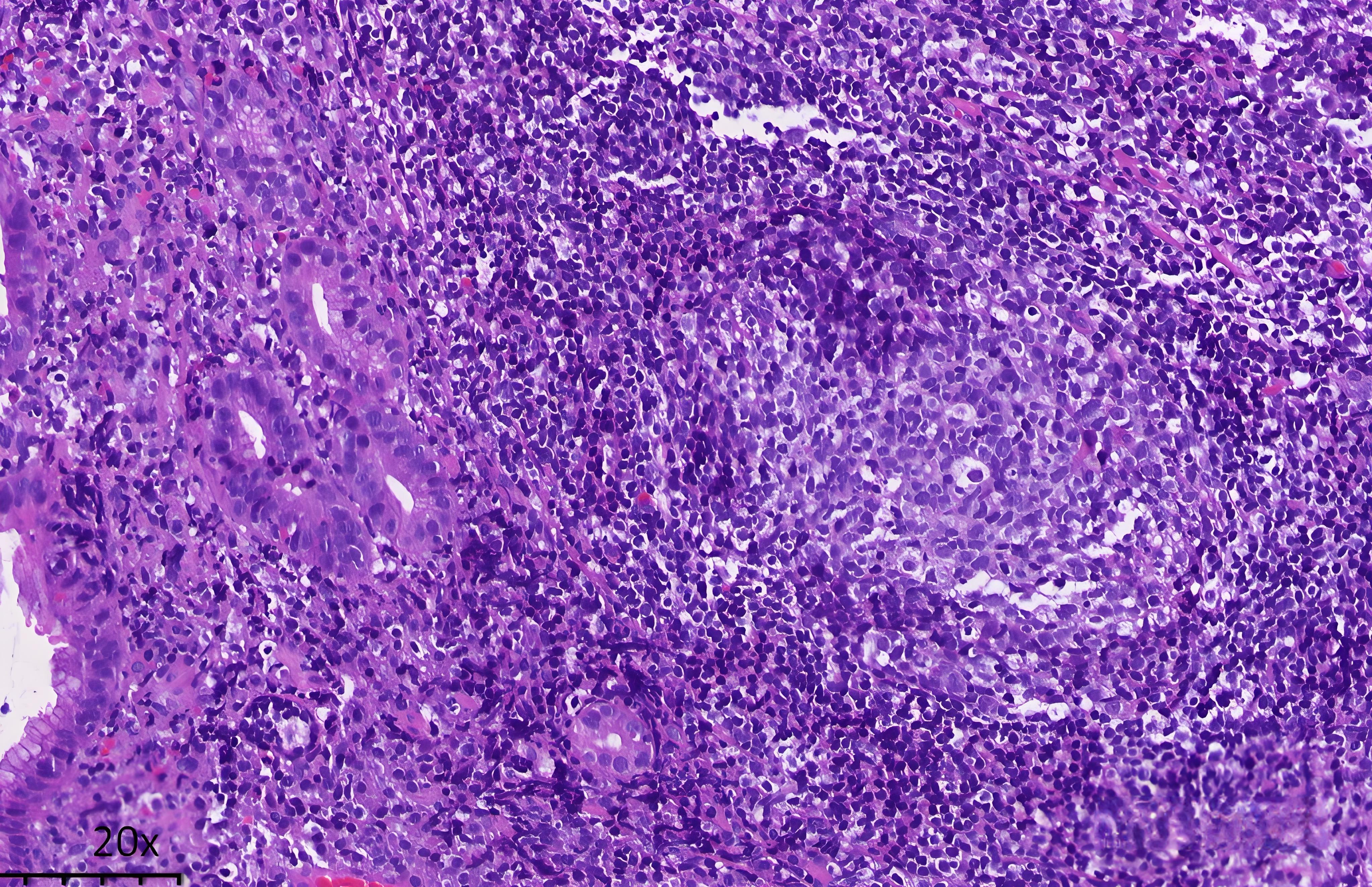
胃镜检查是诊断的第一步,也是关键一步。在胃镜下,胃MALT淋巴瘤可表现为胃黏膜红斑、糜烂和溃疡等。医生会在可疑区域采集组织样本进行活检,这是确诊的依据。
病理检查是诊断的金标准。显微镜下,肿瘤细胞会呈现特征性的"边缘区细胞"增生,并可能形成"淋巴上皮病变"(即淋巴细胞浸润并破坏胃腺体)。

通过CD20、CD5、CD10、CD23等标记物可以确认其B细胞来源,并与其他类型的小B细胞淋巴瘤进行鉴别-7。胃MALT淋巴瘤通常表现为CD20阳性、CD5阴性、CD10阴性、CD23阴性。
IgH基因重排检测是判断B细胞是否具有"单克隆性"的重要工具。重复活检能将IgH基因重排的检出率从约70%显著提升至90%以上,有效降低漏诊风险。

胃镜超声:判断肿瘤浸润深度,了解胃周淋巴结转移情况
CT检查:评估胃周淋巴结和远处器官情况

胃MALT淋巴瘤的治疗策略需根据Hp感染状态、临床分期以及是否存在不良的遗传学异常来制定。
对于Hp阳性的早期(ⅠE期)患者,根除Hp是无可争议的一线治疗。 治疗方案通常为包含质子泵抑制剂、铋剂和两种抗生素的"四联疗法",疗程一般为14天。
数据显示,根除Hp后,60%-80%的早期、低级别胃MALT淋巴瘤患者可获得完全缓解。 李叔就是接受了这种治疗方案,3个月后复查胃镜,胃内病灶消退,内镜多点活检也提示肿瘤消失。
对于Hp阴性,或根除Hp后肿瘤未消退的患者,放射治疗是有效的选择。 胃MALT淋巴瘤对放疗极为敏感-3。
近年来的重大进展是超低剂量放疗。美国MD Anderson癌症中心的研究显示,对于筛选后的患者,采用4 Gy/2次的超低剂量方案,完全缓解率可达83%,且毒性反应轻微。 这标志着胃MALT淋巴瘤的放疗进入了"低毒高效"的新阶段。

利妥昔单抗:作为一种靶向CD20的单克隆抗体,可用于部分需要系统治疗的患者
化疗:常用于晚期、广泛播散或转化侵袭性淋巴瘤的患者。传统的CHOP方案(环磷酰胺、阿霉素、长春新碱及泼尼松)是常用选择
手术治疗:如今已非首选,主要用于处理并发症(如穿孔、梗阻、急性出血)或诊断性切除
中医辨证论治可与现代医学治疗形成良好互补。临床可根据患者具体情况,采用辛开苦降、解毒散结的治则,使用半夏泻心汤等中药方剂加减。
中西医结合治疗的优势在于:
减轻西药副作用
增强机体免疫力
改善整体症状
提高生活质量

胃MALT淋巴瘤整体预后良好。 对于Hp阳性的早期患者,通过规范的根除Hp治疗,5年总体生存率可超过90%。 该病具有惰性的临床过程,扩散缓慢,对放疗敏感,局部治疗可获得长期无瘤生存-7。
长期、规律的随访至关重要。建议如下:
疗效评估:
根除Hp治疗结束后4-8周,复查确认Hp是否根除
在根除Hp治疗后3个月、6个月、12个月甚至更长时间定期复查胃镜和病理活检,评估淋巴瘤消退情况
监测复发与第二肿瘤:
即使达到完全缓解,仍需坚持随访,监测肿瘤复发
胃MALT淋巴瘤患者发生异时性胃癌的风险略有增加,因此定期胃镜监测也包含对这一风险的筛查
分子水平监测:
对达到病理完全缓解的患者,如初始IgH基因重排阳性,建议监测至2年,观察其转阴情况

由于Hp感染与胃MALT淋巴瘤密切相关,预防Hp感染是重要的预防措施:
使用公筷:是目前预防Hp最有效的方法
养成良好的卫生习惯:饭前便后勤洗手
餐具定期高温消毒:Hp不耐热,高温消毒可有效杀灭
避免口对口喂食:特别是婴幼儿喂养
饮食规律:按时吃饭,三餐规律,少食多餐
多食富含维生素C和多酚类的蔬菜水果:如番茄、蔓越莓、蓝莓、苹果等,可增进免疫力
富含维生素A的食物:如蛋黄、动物肝脏、胡萝卜等,有助于维持上皮组织正常结构
适当体育锻炼:增强体质,提高机体免疫力

胃MALT淋巴瘤虽然名字听起来可怕,但它其实是一种预后相对较好的淋巴瘤。通过规范的诊断和个体化治疗,大多数患者可以获得长期生存甚至临床治愈。关键在于早发现、早诊断、规范治疗和定期随访。
如果您或您的家人有类似的胃部不适症状,特别是常规治疗效果不佳时,建议及时就医,进行胃镜检查,明确诊断。一旦确诊为胃MALT淋巴瘤,也不要过度恐慌,与医生充分沟通,制定合适的治疗方案,并坚持定期随访,才能获得最佳的治疗效果。
本文基于最新诊疗指南和临床研究撰写,旨在提供科普信息,不能替代专业医疗建议。具体诊疗请遵从你的线下主诊医师指导。