
健康路上,理性决策比盲目治疗更重要
体检发现甲状腺结节伴有钙化,穿刺确诊为“甲状腺乳头状癌”,医生却建议“观察”——这看似矛盾的决策让23岁的你不知所措。近期,门诊遇到一位年轻甲状腺癌患者小美,大学刚刚毕业工作第一年体检就发现甲状腺4.7mm结节,伴有钙化,外院活检明确诊断为经典型乳头状癌。对此,医生建议观察,焦虑失眠了3天后,患者决定门诊寻求中西医治疗。

近年来,甲状腺癌已成为中青年女性最常见的恶性肿瘤之一,≤1cm的甲状腺微小癌在体检中的检出率显著上升。本科普将结合最新国内外诊疗指南,为你提供权威、可操作的科普建议,帮助你在这场健康挑战中做出明智决策。

为什么医生会建议“观察”?
甲状腺微小癌的“懒癌”特性
甲状腺乳头状微小癌(≤1cm)通常具有惰性生物学行为,意思是它往往生长缓慢,甚至多年不发生变化。大规模研究数据显示,这种类型的癌症疾病特异性死亡率<1%,远处复发率仅1%-2%。
日本一项长达30年的随访研究证实,符合低危标准的患者中,仅8% 的肿瘤会增大,3.8% 会出现淋巴结转移,无人因观察期间转移死亡。

主动监测的国际共识
目前国际共识推荐:对于低危型甲状腺微小癌,主动监测(Active Surveillance) 是首选策略。这并非消极放任,而是一种积极的、有计划的管理策略。
适合主动监测的条件通常包括:
肿瘤≤1cm(尤其是≤5mm)
未突破甲状腺包膜
无淋巴结转移(B超/CT未见异常淋巴结)
无远处转移
非高危病理亚型

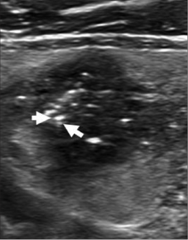
钙化意味着什么?需要担心吗?
你的报告中提到了“伴有钙化”,这是一个需要仔细分析的特征。钙化分为不同类型,其风险程度也不同:
| 钙化类型 | 形态特征 | 危险系数 | 处理建议 |
|---|---|---|---|
| 微小钙化 | 砂砾状/针尖样 | ★★★★★ | 需要警惕,进一步评估 |
| 粗大钙化 | 斑片状/弧形 | ★ | 通常良性,定期随访 |
| 混合钙化 | 微钙化+粗钙化 | ★★★ | 需要进一步评估 |
发现钙化后30天内建议进行的检查包括:
高频超声(>10MHz探头)
弹性成像(评估硬度分级)
CT增强(观察钙化立体分布)

主动监测的具体方案与注意事项
监测频率与内容
主动监测需要有计划的随访,通常建议:
第1-2年:每3-6个月复查一次颈部超声
2年后病情稳定:可延长至每6-12个月复查一次
每次复查:应包括颈部超声和甲状腺功能检查

预警信号与转手术时机
以下情况需要考虑由观察转为手术治疗:
肿瘤直径增大>3mm
出现新发淋巴结转移
肿瘤达到13mm
患者心理焦虑严重,无法继续观察

年轻人的特殊考量:为什么你需要更密切的监测
尽管甲状腺微小癌整体发展缓慢,但年龄是一个重要影响因素。研究显示,20岁年轻人的10年疾病进展率高达48.6%,而70岁老年人仅为3.5%——相差14倍。
这意味着作为23岁的年轻女性,虽然你可以选择主动监测,但需要比老年人更加密切的随访和更谨慎的评估。

中西医整合干预方案
在主动监测期间,采用中西医结合的方法进行调理,可能有助于降低疾病进展风险并改善整体健康状况。
饮食调整建议
碘摄入控制:每日碘摄入量应严格控制在150μg左右(大约相当于1小片海带)
增加抗氧化食物:多摄入富含维生素C和E的食物,如柑橘类水果、坚果、菠菜和胡萝卜
高纤维饮食:每日摄入25-30克膳食纤维,多吃全谷类、豆类和新鲜蔬菜水果
低脂肪饮食:减少饱和脂肪和反式脂肪摄入,脂肪摄入不超过总热量的25%-35%
应避免或限制的食物:
碳酸饮料(磷酸促钙沉积)
虾皮(含钙量=牛奶10倍)
豆腐干(草酸结合钙质)

生活方式调整
规律作息:23点前必须入睡,充足的睡眠有助于维持免疫功能
适度运动:每周进行5次,每次30分钟的快走等中等强度运动
情绪管理:压力和精神紧张会影响甲状腺功能,可通过冥想、瑜伽等方式放松

中医辅助治疗思路
中医认为甲状腺疾病多与肝气郁结、痰瘀互结有关,可从以下方面辅助调理:
中药调理:可根据个人体质,使用疏肝理气、化痰散结的中药
耳穴压豆:研究显示,在“神门”“心”“内分泌”耳穴区域贴磁珠,有助于缓解焦虑、改善睡眠
穴位按摩:可每日按摩太冲、合谷、天突等穴位,帮助疏通经络
需要注意的是,这些中医方法应作为干预手段,同步监测,且应在专业医生指导下进行。

心理调适:与“癌”共存的艺术
发现身体里有“癌”字样的诊断,难免会产生焦虑、恐惧心理。这就需要我们正确认识甲状腺微小癌的特性,并学会与它和平共处:
正确认知:甲状腺微小癌更接近一种“慢性病”而非传统意义上的“癌症”
寻求支持:与家人、朋友或专业心理咨询师分享你的担忧
加入支持群体:可以加入甲状腺癌患者支持群体,分享经验与感受
专注生活:不要因为诊断而打乱正常的生活节奏,继续保持工作和兴趣爱好

何时需要考虑手术治疗?
虽然目前建议观察,但以下情况可能需要重新考虑手术决策:
疾病进展:如前面提到的肿瘤增大>3mm或出现淋巴结转移
心理因素:如果焦虑严重影响生活质量,手术也是一种选择
家族史:如有家族性甲状腺癌或甲状腺癌综合征家族史
个人偏好:经过全面了解后,你可能更倾向于手术切除以“一劳永逸”
结语
对于23岁的年轻人来说,发现甲状腺乳头状微小癌确实是一个令人不安的消息。但幸运的是,这是一种预后极好的疾病,你有充足的时间做出明智的决策。主动监测不等于忽视不管,而是一种更加精细的管理策略。作为年轻患者,你需要更加密切的随访,同时结合中西医学的优势,在生活方式、饮食和心理等方面进行全面调理。最重要的是,与你的医生建立良好的沟通关系,定期随访监测,这样你就可以既不过度治疗,也不错过必要的干预时机。

健康之路漫长,理性决策比盲目治疗更重要!
注:本科普参考了2025年国内外最新甲状腺癌诊疗指南和研究进展,结合临床实践整理而成,仅做科普宣教不做临床指导用。个体情况可能存在差异,如有临床需要请务必在线下专业医生指导下制定个人诊疗方案。