超过50%的试管患者曾自然怀孕,瘢痕憩室是继发性不孕的主要原因之一
根据全国以及广东省生殖中心的数据统计显示,过去几年进行试管婴儿助孕的患者中,超过50%的患者属于继发性不孕,也就是说,她们曾经怀过孩子,甚至成功分娩。这些曾经当过妈妈的患者,是怎么走上试管助孕之路的呢?
除了因为年龄增长导致的生育力下降以外,以往的孕产经历也会影响后续的备孕和生育。根据中华医学会在2019年发布的数据显示,瘢痕憩室作为剖宫产术的远期并发症,在我国的发生率为19.4%~88.0%不等,并且随着检查手段及对疾病认识的提高,临床的实际发生率更高,现已成为继发性不孕的主要原因之一。

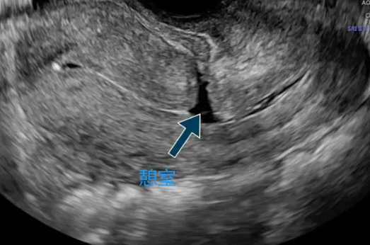
▲B超下瘢痕憩室
二孩妈妈备孕数年无果
来自东莞的周女士早在2018年就已经是两个可爱孩子的母亲,后来她希望和丈夫再要一个孩子,凑成五口之家,谁曾想,这一次备孕,一备就是五年。已经35岁的周女士心里开始犯嘀咕了:前面两个孩子都怀的很快,怎么这个老三,迟迟不见踪影?
去年9月,怀揣着三孩梦的周女士夫妻二人来到深圳恒生医院生殖医学科,敲开了邓伟芬主任诊室的门。邓伟芬主任经过一番的细致问诊,初步判断周女士五年备孕无果的原因主要是子宫切口憩室(即瘢痕憩室,指剖宫产术后子宫切口愈合不良,子宫瘢痕处肌层变薄,形成一与宫腔相通的凹陷或腔隙,患者多无明显的临床症状,有症状者仅约6.9%,主要表现为异常阴道流血、继发性不孕、慢性盆腔痛、经期腹痛等)、反复宫腔积液、子宫内膜炎,使得胚胎难以在宫腔内着床受孕。

原来,周女士第一个宝宝便因为胎膜早破剖腹产分娩一女,5年后的第二胎也是通过剖腹产进行分娩。虽然周女士日常并未感受到腹部疼痛、不适等问题,但实际上周女士的子宫早已“伤痕累累”,瘢痕憩室形成的沟壑也让子宫内膜长期处于炎症状态,反复产生宫腔积液。这样的宫腔环境无法成为胚胎生根发芽的温室。除此之外,周女士还曾因自然流产后宫腔有组织残留而进行清宫术,对于子宫内膜的健康也会造成一定的影响。
盲目手术,欲速不达
周女士告诉邓主任,她已经备孕了5年,希望可以做一个瘢痕憩室修复手术,然后做试管快点怀上,不想再等了。但是邓主任对周女士的宫腔情况进行综合分析后,认为她的情况难以通过修复手术获得理想的效果,虽然手术可以在短时间内让宫腔看起来“不再伤痕累累”,积水也可以通过抽吸排净,但手术的伤口很可能会产生新的瘢痕憩室,宫腔积液也随即卷土重来。所以,手术治疗看似直接解决了病灶,但往往出现复发,欲速则不达。而且,根据不同方式的修复术,术后修养时间不等,大部分需要避孕1~2年方可继续备孕。
小科普 修复术的短板
(1)子宫疤痕憩室的位置对手术效果影响较大
(2)瘢痕憩室血运较差,对合后愈合不良,形成新的憩室
(3)术后避孕时间长,一般建议避孕1~2年
(4)切口感染会导致愈合不良
因此,邓主任建议周女士先进行促排卵,配成胚胎后进行子宫内膜的治疗。12月,周女士进行拮抗剂方案促排,配得4个胚胎,因宫腔积液进行全胚冷冻。
磨刀不误砍柴工,保守治疗送东风
邓主任告诉周女士,现在万事俱备,只欠东风,而这一阵东风,需要周女士全心全意来配合和坚持才能等到,那就是至少为期3个月的中西医结合内膜管理,通过中医调理、西医消炎等治疗方法,在不开刀、不手术的情况下保守治疗瘢痕憩室、宫腔积液和子宫内膜炎。这些治疗本身并不复杂、痛苦,最大的难度在于需要患者坚持、不间断地完成。家住东莞的周女士在仔细了解了邓主任的治疗方案后,毅然决然地决定要进行中西医结合治疗。随后的三个月里,周女士每周往返莞深3次,在恒生医院进行针灸、超声导药、宫腔灌注等治疗。
今年3月,周女士的内膜治疗获得了良好的效果,宫腔积液消失、子宫内膜发育良好,邓伟芬主任为其移植一枚解冻囊胚,可惜这个囊胚没能着床。邓伟芬主任安慰周女士:“胚胎移植的着床率向来都不是百分之百的,现在你的宫腔情况比之前好了很多,受孕的机会非常大,我们再试一次,一定可以的!”
一个月后,周女士进行第二次冻融移植,序贯移植2枚冷冻胚胎,功夫不负有心人,这一次周女士成功怀孕了。孕后,邓主任针对周女士的健康条件进行了黄体支持、抗凝、调节免疫平衡等保胎治疗,如今周女士已NT毕业,平稳度过早孕期。

保守的治疗,创新的实践
邓伟芬主任凭借近30年的生殖医学经验,对有试管生育需求的女性提倡中西医保守治疗方法,尽量减少患者的损伤,最大化保护患者的子宫内膜和卵巢储备功能,这也是邓主任团队看诊不孕症的最大宗旨。
2013年起邓伟芬团队在与享受国务院政府特殊津贴的孙伟教授和原海军总医院妇产科主任王蔼明教授及武汉大学人民医院生殖中心主任医师杨菁教授共同精心研究下,经过十余年的临床实践,逐渐形成了一套行之有效的中西医结合治疗异常子宫内膜的方法。2020年,恒生成立异常子宫内膜中西医门诊,研究最大化的保护子宫内膜生育功能的宫腔镜手术技能及围手术期精细化管理方法,同时通过中西医结合的子宫内膜管理手段,有效提高异常子宫内膜患者的妊娠率和抱婴回家率。
邓伟芬主任团队关于《手术与保守治疗子宫疤痕憩室合并宫腔积液的IVF-ET临床结局的对比性研究》获得同行的认可,特色治疗及研究结果已在2019年中华医学会第十五次全国生殖医学学术会议进行专题汇报。
