牙齿矫正是一项漫长的马拉松式的治疗,持续时间通常是两年半左右,因而在开始牙齿矫正之前,为了获得良好的矫正效果,全面而细致矫正前检查必不可少。这一系列的科普将和大家分享矫正前的各项检查。
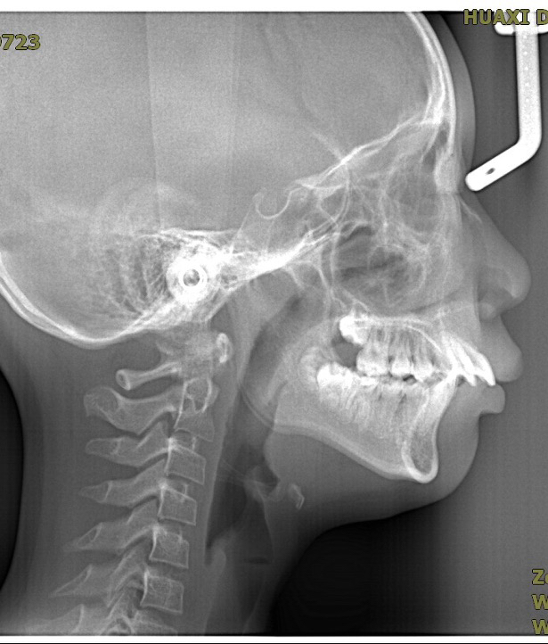
“一叶障目不见泰山”,同理,由于肌肉、脂肪的覆盖,我们很难看清骨骼的情况。因此,我们借助放射线来更好的观察骨骼的情况,有一项特别的放射线检查叫做头颅侧位片(图1)。
我们借助头颅侧位片进行头影测量分析(图2),可以分析上颌骨、下颌骨、牙齿、软组织的情况,这是所有专业正畸医生需要掌握的技能,有利于做出正确的矫正方案。同时,在结束矫正的时候对矫正前后进行头影测量分析(图3),可以分析矫正效果,知其然知其所以然。
当然,头颅侧位片的辐射剂量非常小,使用起来很安全,在矫正前、矫正中、矫正后均可以根据需要进行拍摄。


