千频阿玛仕以其优越性能、先进的技术和个性化的治疗方案,成为屈光医生信赖的选择,为屈光手术领域的领航者之一。应用阿玛仕手术平台的个性精英领航者们,充分理解患者需求,为患者量身定制个性化屈光手术方案,助力重现高清视力,实现视觉质量新突破。
准分子激光治疗性角膜切削术(Phototherapeutic Keratectomy,PTK)用于角膜前1/3厚度病变的治疗,应用阿玛仕PTK-CAM模块医生可根据病灶位置、深度及面积等个性化定制切削模型,精准匹配节省角膜组织。本期个性精英领航案例邀请深圳深东爱尔眼科医院臧晶院长、赵畅主任分享应用千频阿玛仕联合PTK治疗性角膜手术模块,帮助角膜变性患者改善眼部外观,重拾自信的精彩案例。
01
基本信息
患者女性,34岁,民宿老板
✦ 主诉
右眼弱视,黑眼球变白导致不敢和别人对视,多年求医无门,期望改善眼部外观
✦ 既往史
• 双眼先天性白内障
• 6岁在外院行双眼白内障摘除术
• 19岁在外院行右眼二次白内障摘除和前房型人工晶体植入术,左眼行后房型人工晶体植入术
• 右眼“黑眼球变白”7年
• 到我院行右眼前房型人工晶体取出术和后房型人工晶体植入术,术后1年
角膜混浊原因分析
• 既往多次内眼手术导致的角膜内皮细胞丢失
• 角膜内皮到人工晶体的距离过近(<1.5mm)
• 晶体襻与角膜内皮接触
• 其他不确定性因素,如多年前眼部外伤史、炎症等
术前检查
内皮细胞计数

裂隙灯图像

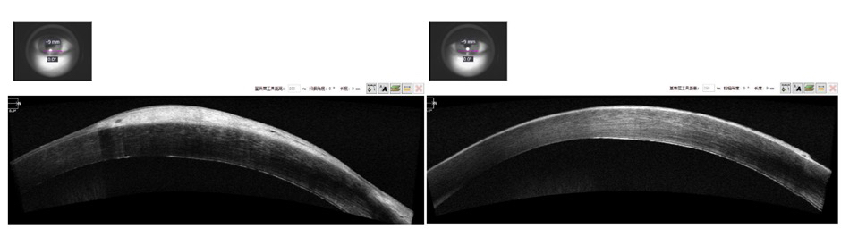
前节OCT

基础检查

地形图

手术方案
表麻下角膜刮刀刮除上皮,再行PTK手术,激光治疗中显微镜观察病变部位虹膜纹理至相对清晰,停止激光切削。
参数设计

术后效果
术后4天角膜上皮完全愈合,摘除绷带镜后观察患者角膜透明性明显提高,患者满意度高。
裸眼视力(术前VS术后2月)

地形图(术后)

✦ 前表面曲率图(术前VS术后)

✦ 裂隙灯图像(术前VS术后)

✦ OCT检查(术前VS术后)

05
案例小结
阿玛仕PTK是治疗角膜变性的一种安全性高、有效性强的手术方式;
阿玛仕PTK治疗有效减少疤痕密度和不规则散光,屈光中性的切削设计,避免远视漂移,提高患者术后视力;
阿玛仕ITEC智能化热效应控制技术和SPT智能脉冲等优势,可保障切削安全性、提高切削表面光滑性,术后恢复更迅速。
个性精英领航者

臧晶
深圳深东爱尔眼科医院
主任医师、教授、研究生导师,爱尔眼科医院集团深圳特区副总院长,深圳深东爱尔眼科医院院长。首席眼科专家,广东省岭南名医,广东药科大学附属第一医院眼科学科带头人。1984年从事眼科工作至今30余年,2001年美国梅奥Mayo clinic中心访问学者。多次主持广东省及广州市卫生/科技多项科研项目,撰写论文50余篇,著作(合著)1篇,获得各类科技进步奖10项,并曾获得突出贡献的中青年专家称号殊荣。广东省医师协会眼科分会前副主任委员、广东省中西医结合学会眼科专业委员会副主任委员、广东省眼健康协会屈光手术专业委员会主任委员、深圳市医师协会眼科分会屈光学组组长等。
个性精英领航者

赵畅
深圳深东爱尔眼科医院
副主任医师 / 眼科学博士,毕业于中山大学中山眼科中心,屈光专科博士,从事眼科临床及科研工作11年,在近视的防控及治疗方面具有丰富的临床经验。德国蔡司ZEISS全飞秒激光手术认证医师,德国阿玛仕臻选个性化手术认证医师,德国阿玛仕Smart全激光手术认证医师。参与编写眼科专著1本,发表SCI期刊论文数篇。深圳市医师协会眼科医师分会屈光专业组秘书。
医生寄语
阿玛仕PTK模块是利用准分子激光切削角膜组织,改善角膜的透明性和不规则性的一种手术方式,可根据病灶位置、深度及面积等自定义切削形态,屈光中性的非球面切削算法可有效避免术后远视漂移。应用千频阿玛仕的PTK治疗性角膜手术模块有精确度高、安全性好、操作简单、不良反应小和术后恢复快的优势!
目前,PTK手术已广泛应用于治疗多种角膜浅层病变,如:角膜变性、角膜营养不良、角膜瘢痕、复发性角膜上皮糜烂以及角膜上皮植入等,成功结果的关键取决于正确的案例选择。